Skip to main content

TRMT61B Antibody - BSA Free

Novus Biologicals, part of Bio-Techne | Catalog # NBP1-83641

Novus Biologicals, part of Bio-Techne
Catalog #
Availability
Size / Price
Qty
Loading...
NBP1-83641
NBP1-83641-25ul

Key Product Details

Validated by

Independent Antibodies

Species Reactivity

Human

Applications

Immunohistochemistry, Immunohistochemistry-Paraffin

Label

Unconjugated

Antibody Source

Polyclonal Rabbit IgG

Format

BSA Free

Concentration

Concentrations vary lot to lot. See vial label for concentration. If unlisted please contact technical services.

Product Specifications

Immunogen

This antibody was developed against Recombinant Protein corresponding to amino acids: KRGTAITFPKDINMILSMMDINPGDTVLEAGSGSGGMSLFLSKAVGSQGRVISFEVRKDHHDLAKKNYKHWRDSWKLSHVEEWPDNVDFIHKDISGATEDIKSLTFDAVALDMLN

Clonality

Polyclonal

Host

Rabbit

Isotype

IgG

Description

Novus Biologicals Rabbit TRMT61B Antibody - BSA Free (NBP1-83641) is a polyclonal antibody validated for use in IHC. All Novus Biologicals antibodies are covered by our 100% guarantee.

Scientific Data Images for TRMT61B Antibody - BSA Free

TRMT61B Antibody Immunohistochemistry-Paraffin: TRMT61B Antibody Antibody [NBP1-83641]

Immunohistochemistry-Paraffin: TRMT61B Antibody Antibody [NBP1-83641]

Staining of human cerebral cortex, duodenum, kidney and liver using NBP1-83641 (A) shows similar protein distribution across tissues to independent antibody NBP1-83640 (B).
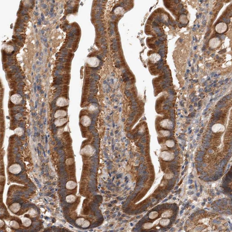
TRMT61B Antibody - BSA Free Immunohistochemistry-Paraffin: TRMT61B Antibody - BSA Free [NBP1-83641]

Immunohistochemistry-Paraffin: TRMT61B Antibody - BSA Free [NBP1-83641]

Staining of human duodenum shows strong granular cytoplasmic positivity in glandular cells.
TRMT61B Antibody - BSA Free Western Blot: TRMT61B Antibody - BSA Free [NBP1-83641]

Western Blot: TRMT61B Antibody - BSA Free [NBP1-83641]

Analysis in control (vector only transfected HEK293T lysate) and TRMT61B over-expression lysate (Co-expressed with a C-terminal myc-DDK tag (3.1 kDa) in mammalian HEK293T cells).

Applications for TRMT61B Antibody - BSA Free

Application
Recommended Usage

Immunohistochemistry

1:20 - 1:50

Immunohistochemistry-Paraffin

1:20 - 1:50
Application Notes
For IHC-Paraffin, HIER pH 6 retrieval is recommended.

Formulation, Preparation, and Storage

Purification

Affinity purified

Formulation

PBS (pH 7.2) and 40% Glycerol

Format

BSA Free

Preservative

0.02% Sodium Azide

Concentration

Concentrations vary lot to lot. See vial label for concentration. If unlisted please contact technical services.

Shipping

The product is shipped with polar packs. Upon receipt, store it immediately at the temperature recommended below.

Stability & Storage

Store at 4C short term. Aliquot and store at -20C long term. Avoid freeze-thaw cycles.

Background: TRMT61B

Alternate Names

DKFZp564I2178, EC 2.1.1.36, FLJ20628, potential tRNA (adenine-N(1)-)-methyltransferase catalytic subunit TRMT61B, tRNA methyltransferase 61 homolog B (S. cerevisiae)

Gene Symbol

TRMT61B

Additional TRMT61B Products

Product Documents for TRMT61B Antibody - BSA Free

Certificate of Analysis

To download a Certificate of Analysis, please enter a lot number in the search box below.

Product Specific Notices for TRMT61B Antibody - BSA Free

This product is for research use only and is not approved for use in humans or in clinical diagnosis. Primary Antibodies are guaranteed for 1 year from date of receipt.

Loading...
Loading...
Loading...
Loading...