Skip to main content

TRIB1 Antibody (OTI8C8)

Novus Biologicals, part of Bio-Techne | Catalog # NBP2-46205

Novus Biologicals, part of Bio-Techne
Catalog #
Availability
Size / Price
Qty
Loading...
NBP2-46205

Key Product Details

Species Reactivity

Human, Mouse, Rat

Applications

Immunohistochemistry, Immunohistochemistry-Paraffin, Western Blot

Label

Unconjugated

Antibody Source

Monoclonal Mouse IgG1 Clone # OTI8C8

Concentration

1 mg/ml

Product Specifications

Immunogen

Full length human recombinant protein of human TRIB1 (NP_079471) produced in HEK293T cell.

Reactivity Notes

Please note that this antibody is reactive to Mouse and derived from the same host, Mouse. Mouse-On-Mouse blocking reagent may be needed for IHC and ICC experiments to reduce high background signal. You can find these reagents under catalog numbers PK-2200-NB and MP-2400-NB. Please contact Technical Support if you have any questions.

Clonality

Monoclonal

Host

Mouse

Isotype

IgG1

Description

Novus Biologicals Mouse TRIB1 Antibody (OTI8C8) (NBP2-46205) is a monoclonal antibody validated for use in IHC and WB. All Novus Biologicals antibodies are covered by our 100% guarantee.

Scientific Data Images for TRIB1 Antibody (OTI8C8)

Western Blot: TRIB1 Antibody (OTI8C8) [NBP2-46205]

Western Blot: TRIB1 Antibody (OTI8C8) [NBP2-46205]

Western Blot: TRIB1 Antibody (8C8) [NBP2-46205] - Analysis of HEK293T cells were transfected with the pCMV6-ENTRY control (Left lane) or pCMV6-ENTRY TRIB1.
Immunohistochemistry: TRIB1 Antibody (OTI8C8) [NBP2-46205]

Immunohistochemistry: TRIB1 Antibody (OTI8C8) [NBP2-46205]

Immunohistochemistry: TRIB1 Antibody (8C8) [NBP2-46205] - Analysis of Human lung tissue. (Heat-induced epitope retrieval by 1 mM EDTA in 10mM Tris, pH8.5, 120C for 3min)
Immunohistochemistry: TRIB1 Antibody (OTI8C8) [NBP2-46205]

Immunohistochemistry: TRIB1 Antibody (OTI8C8) [NBP2-46205]

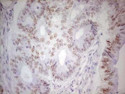
Immunohistochemistry: TRIB1 Antibody (8C8) [NBP2-46205] - Analysis of Adenocarcinoma of Human colon tissue. (Heat-induced epitope retrieval by 1 mM EDTA in 10mM Tris, pH8.5, 120C for 3min)

Applications for TRIB1 Antibody (OTI8C8)

Application
Recommended Usage

Immunohistochemistry

1:150

Western Blot

1:2000

Formulation, Preparation, and Storage

Purification

Immunogen affinity purified

Formulation

PBS (pH 7.3), 1.0% BSA and 50% Glycerol

Preservative

0.02% Sodium Azide

Concentration

1 mg/ml

Shipping

The product is shipped with polar packs. Upon receipt, store it immediately at the temperature recommended below.

Stability & Storage

Store at -20C. Avoid freeze-thaw cycles.

Background: TRIB1

Interacts with MAPK kinases and regulates activation of MAP kinases. May not display kinase activity

Alternate Names

C8FWG-protein-coupled receptor induced protein, GIG-2, GIG2G-protein-coupled receptor-induced protein 2, G-protein-coupled receptor-induced gene 2 protein, SKIP1, TRB-1, TRB1phosphoprotein regulated by mitogenic pathways, tribbles homolog 1, tribbles homolog 1 (Drosophila), tribbles-like protein 1

Gene Symbol

TRIB1

Additional TRIB1 Products

Product Documents for TRIB1 Antibody (OTI8C8)

Certificate of Analysis

To download a Certificate of Analysis, please enter a lot number in the search box below.

Product Specific Notices for TRIB1 Antibody (OTI8C8)

This product is for research use only and is not approved for use in humans or in clinical diagnosis. Primary Antibodies are guaranteed for 1 year from date of receipt.

Loading...
Loading...
Loading...
Loading...