Skip to main content

TREX2 Antibody - BSA Free

Novus Biologicals, part of Bio-Techne | Catalog # NBP1-76978

Novus Biologicals, part of Bio-Techne
Catalog #
Availability
Size / Price
Qty
Loading...
NBP1-76978
NBP1-76978-0.025mg
Conjugate
Catalog #

Key Product Details

Species Reactivity

Validated:

Human, Mouse, Rat

Cited:

Human

Applications

Validated:

Immunohistochemistry, Immunohistochemistry-Paraffin, Western Blot, ELISA, Immunocytochemistry/ Immunofluorescence

Cited:

Western Blot

Label

Unconjugated

Antibody Source

Polyclonal Rabbit IgG

Format

BSA Free

Concentration

1 mg/ml

Product Specifications

Immunogen

Antibody was raised against a 15 amino acid synthetic peptide near the carboxy terminus of human TREX2. The immunogen is located within the last 50 amino acids of TREX2. Amino Acid Squence: IEPMYLPPDDPSLEA

Specificity

This TREX2 antibody will not cross-react with the related protein TREX1.

Clonality

Polyclonal

Host

Rabbit

Isotype

IgG

Scientific Data Images for TREX2 Antibody - BSA Free

Western Blot: TREX2 AntibodyBSA Free [NBP1-76978]

Western Blot: TREX2 AntibodyBSA Free [NBP1-76978]

Western Blot: TREX2 Antibody [NBP1-76978] - Rat liver tissue lysate with TREX2 antibody at 2.5 ug/ml.
TREX2 Antibody - BSA Free

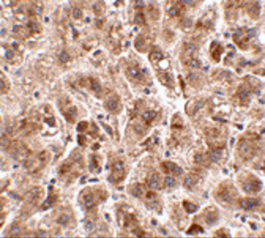
Immunohistochemistry: TREX2 Antibody - BSA Free [NBP1-76978] -

Immunohistochemistry: TREX2 Antibody - BSA Free [NBP1-76978] - Immunohistochemistry of TREX2 in human liver tissue with TREX2 antibody at 2.5 ug/mL.
TREX2 Antibody - BSA Free

Immunocytochemistry/ Immunofluorescence: TREX2 Antibody - BSA Free [NBP1-76978] -

Immunocytochemistry/ Immunofluorescence: TREX2 Antibody - BSA Free [NBP1-76978] - Immunofluorescence of TREX2 in Human Liver cells with TREX2 antibody at 20 ug/mL.

Applications for TREX2 Antibody - BSA Free

Application
Recommended Usage

ELISA

1:100-1:2000

Immunocytochemistry/ Immunofluorescence

20 ug/ml

Immunohistochemistry

2.5 ug/ml

Immunohistochemistry-Paraffin

2.5 ug/ml

Western Blot

2.5 ug/ml

Formulation, Preparation, and Storage

Purification

Peptide affinity purified

Formulation

PBS

Format

BSA Free

Preservative

0.02% Sodium Azide

Concentration

1 mg/ml

Shipping

The product is shipped with polar packs. Upon receipt, store it immediately at the temperature recommended below.

Stability & Storage

Store at 4C.

Background: TREX2

TREX2 is one of two major human 3' to 5' exonucleases which are required for checkpoint signaling after DNA damage. While the related protein TREX1 is required for ATR expression and mutations in this gene result in Aicardi-Goutieres syndrome, chilblain lupus, and Cree encephalitis, less is known about TREX2. Like TREX1, TREX2 is ubiquitously expressed in all tissues examined. X-ray crystallography studies of TREX2-single strand DNA complexes revealed that TREX2 binds DNA as a dimer and may act to displace the second DNA strand, suggesting that TREX2 unzips and denatures double stranded DNA and feed the substrate DNA strand into the TREX2 active site. At least two isoforms of TREX2 are known to exist. This TREX2 antibody will not cross-react with the related protein TREX1.

Alternate Names

3'-5' exonuclease TREX2, EC 3.1.11.2, three prime repair exonuclease 2,3'-5' exonuclease TREX2 long form

Gene Symbol

TREX2

UniProt

Additional TREX2 Products

Product Documents for TREX2 Antibody - BSA Free

Certificate of Analysis

To download a Certificate of Analysis, please enter a lot number in the search box below.

Product Specific Notices for TREX2 Antibody - BSA Free

This product is for research use only and is not approved for use in humans or in clinical diagnosis. Primary Antibodies are guaranteed for 1 year from date of receipt.

Loading...
Loading...
Loading...
Loading...