Skip to main content

Transglutaminase 5 Antibody - BSA Free

Novus Biologicals, part of Bio-Techne | Catalog # NBP3-45256

Novus Biologicals, part of Bio-Techne
Catalog #
Availability
Size / Price
Qty
Loading...
NBP3-45256

Key Product Details

Species Reactivity

Human, Mouse, Rat

Applications

ELISA, Immunohistochemistry, Western Blot

Label

Unconjugated

Antibody Source

Polyclonal Rabbit IgG

Format

BSA Free

Concentration

Please see the vial label for concentration. If unlisted please contact technical services.

Product Specifications

Immunogen

transglutaminase 5. (Uniprot# O43548)

Clonality

Polyclonal

Host

Rabbit

Isotype

IgG

Theoretical MW

80 kDa.
Disclaimer note: The observed molecular weight of the protein may vary from the listed predicted molecular weight due to post translational modifications, post translation cleavages, relative charges, and other experimental factors.

Description

Novus Biologicals Rabbit Transglutaminase 5 Antibody - BSA Free (NBP3-45256) is a polyclonal antibody validated for use in IHC, WB and ELISA. All Novus Biologicals antibodies are covered by our 100% guarantee.

Scientific Data Images for Transglutaminase 5 Antibody - BSA Free

Transglutaminase 5 Antibody - BSA Free

Western Blot: Transglutaminase 5 Antibody - BSA Free [NBP3-45256] -

Western Blot: Transglutaminase 5 Antibody - BSA Free [NBP3-45256] - Mouse skin tissue were subjected to SDS PAGE followed by western blot with ( Transglutaminase 5 Antibody) at dilution of 1:1000
Transglutaminase 5 Antibody - BSA Free

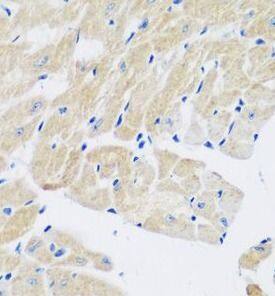
Immunohistochemistry: Transglutaminase 5 Antibody - BSA Free [NBP3-45256] -

Immunohistochemistry: Transglutaminase 5 Antibody - BSA Free [NBP3-45256] - Immunohistochemistry of paraffin-embedded mouse heart tissue slide using ( Transglutaminase 5 Antibody) at dilution of 1:50

Applications for Transglutaminase 5 Antibody - BSA Free

Application
Recommended Usage

Immunohistochemistry

1:50 - 1:200

Western Blot

1:500 - 1:2000

Formulation, Preparation, and Storage

Purification

Immunogen affinity purified

Formulation

PBS, 50% Glycerol, pH (7.3)

Format

BSA Free

Preservative

0.02% Sodium Azide

Concentration

Please see the vial label for concentration. If unlisted please contact technical services.

Shipping

The product is shipped with polar packs. Upon receipt, store it immediately at the temperature recommended below.

Stability & Storage

Store at -20C. Avoid freeze-thaw cycles.

Background: Transglutaminase 5/TGM5

Tissue transglutaminase is an enzyme which catalyzes the cross linking of proteins and the conjugation of polyamines to proteins. While the primary structure of transglutaminases is not conserved, they all have the same amino acid sequence at their active sites and their activity is calcium dependent. Transglutaminase 5 contributes to the formation of the cornified cell envelope of keratinocytes.

Long Name

Transglutaminase 5

Alternate Names

PSS2, TGASE5, TGASEX, TGM5

Gene Symbol

TGM5

Additional Transglutaminase 5/TGM5 Products

Product Documents for Transglutaminase 5 Antibody - BSA Free

Certificate of Analysis

To download a Certificate of Analysis, please enter a lot number in the search box below.

Product Specific Notices for Transglutaminase 5 Antibody - BSA Free

This product is for research use only and is not approved for use in humans or in clinical diagnosis. Primary Antibodies are guaranteed for 1 year from date of receipt.

Loading...
Loading...
Loading...
Loading...