Transglutaminase 5 Antibody - BSA Free
Novus Biologicals, part of Bio-Techne | Catalog # NBP2-94524
Key Product Details
Species Reactivity
Validated:
Human, Mouse, Rat
Cited:
Human, Mouse
Applications
Validated:
Immunohistochemistry, Immunohistochemistry-Paraffin, Western Blot
Cited:
Immunohistochemistry-Paraffin, Western Blot
Label
Unconjugated
Antibody Source
Polyclonal Rabbit IgG
Format
BSA Free
Concentration
Please see the vial label for concentration. If unlisted please contact technical services.
Product Specifications
Immunogen
Recombinant fusion protein containing a sequence corresponding to amino acids 461-720 of human TGM5 (NP_963925.2). LQKLKARSFHGSQRGAELQPSRPTSLSQDSPRSLHTPSLRPSDVVQVSLKFKLLDPPNMGQDICFVLLALNMSSQFKDLKVNLSAQSLLHDGSPLSPFWQDTAFITLSPKEAKTYPCKISYSQYSQYLSTDKLIRISALGEEKSSPEKILVNKIITLSYPSITINVLGAAVVNQPLSIQVIFSNPLSEQVEDCVLTVEGSGLFKKQQKVFLGVLKPQHQASIILETVPFKSGQRQIQANMRSNKFKDIKGYRNVYVDFAL
Clonality
Polyclonal
Host
Rabbit
Isotype
IgG
Scientific Data Images for Transglutaminase 5 Antibody - BSA Free
Western Blot: Transglutaminase 5 Antibody - BSA Free [Transglutaminase 5] -
Western Blot: Transglutaminase 5 Antibody - BSA Free [Transglutaminase 5] - Western blot analysis of lysates from wild type (WT) and 293T cells transfected with Transglutaminase 5 using Transglutaminase 5 Rabbit pAb at 1:7000 dilution.Secondary antibody: HRP Goat Anti-Rabbit IgG (H+L) at 1:10000 dilution.
Lysates/proteins: 25ug per lane.
Blocking buffer: 3% nonfat dry milk in TBST.
Detection: ECL Basic Kit .
Exposure time: 60s.
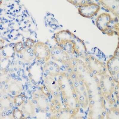
Immunohistochemistry-Paraffin: Transglutaminase 5 Antibody - BSA Free [NBP2-94524]
Immunohistochemistry-Paraffin: Transglutaminase 5 Antibody [NBP2-94524] - Paraffin-embedded rat kidney using Transglutaminase 5 .Immunohistochemistry-Paraffin: Transglutaminase 5 Antibody - BSA Free [NBP2-94524]
Immunohistochemistry-Paraffin: Transglutaminase 5 Antibody [NBP2-94524] - Paraffin-embedded human colon using Transglutaminase 5 .Applications for Transglutaminase 5 Antibody - BSA Free
Application
Recommended Usage
Immunohistochemistry
1:50-1:200
Western Blot
1:2000 - 1:8000
Formulation, Preparation, and Storage
Purification
Affinity purified
Formulation
PBS (pH 7.3), 50% glycerol
Format
BSA Free
Preservative
0.02% Sodium Azide
Concentration
Please see the vial label for concentration. If unlisted please contact technical services.
Shipping
The product is shipped with polar packs. Upon receipt, store it immediately at the temperature recommended below.
Stability & Storage
Store at -20C. Avoid freeze-thaw cycles.
Background: Transglutaminase 5/TGM5
Long Name
Transglutaminase 5
Alternate Names
PSS2, TGASE5, TGASEX, TGM5
Gene Symbol
TGM5
Additional Transglutaminase 5/TGM5 Products
Product Documents for Transglutaminase 5 Antibody - BSA Free
Product Specific Notices for Transglutaminase 5 Antibody - BSA Free
This product is for research use only and is not approved for use in humans or in clinical diagnosis. Primary Antibodies are guaranteed for 1 year from date of receipt.
Loading...
Loading...
Loading...
Loading...