Skip to main content

TRANCE/TNFSF11/RANK L Antibody (12A668) - BSA Free

Novus Biologicals, part of Bio-Techne | Catalog # NB100-56512

Novus Biologicals, part of Bio-Techne

Key Product Details

Species Reactivity

Validated:

Human, Mouse, Rat

Cited:

Human, Mouse, Rat, Guinea Pig

Applications

Validated:

Immunohistochemistry, Immunohistochemistry-Paraffin, Western Blot, ELISA, Immunoassay, Flow (Cell Surface), Immunocytochemistry/ Immunofluorescence, Chromatin Immunoprecipitation (ChIP)

Cited:

Immunohistochemistry, Immunohistochemistry-Paraffin, Western Blot, ELISA, Flow (Cell Surface), Immunocytochemistry/ Immunofluorescence, Chemotaxis, IF/IHC

Label

Unconjugated

Antibody Source

Monoclonal Mouse IgG1 kappa Clone # 12A668

Format

BSA Free

Concentration

1.0 mg/ml

Product Specifications

Immunogen

A bacterially expressed fusion protein containing amino acid residues 1-317 of mouse TRANCE/TNFSF11/RANK L was used as immunogen.

Clonality

Monoclonal

Host

Mouse

Isotype

IgG1 kappa

Theoretical MW

35 kDa.
Disclaimer note: The observed molecular weight of the protein may vary from the listed predicted molecular weight due to post translational modifications, post translation cleavages, relative charges, and other experimental factors.

Description

Novus Biologicals Mouse TRANCE/TNFSF11/RANK L Antibody (12A668) - BSA Free (NB100-56512) is a monoclonal antibody validated for use in IHC, WB, ELISA, ICC/IF and ChIP. Anti-TRANCE/TNFSF11/RANK L Antibody: Cited in 37 publications. All Novus Biologicals antibodies are covered by our 100% guarantee.

Scientific Data Images for TRANCE/TNFSF11/RANK L Antibody (12A668) - BSA Free

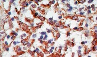
Immunohistochemistry: TRANCE/TNFSF11/RANK L Antibody (12A668) - BSA Free [NB100-56512]

Immunohistochemistry: TRANCE/TNFSF11/RANK L Antibody (12A668) - BSA Free [NB100-56512]

TRANCE-TNFSF11-RANK-L-Antibody-12A668-Immunohistochemistry-NB100-56512-img0019.jpg
Western Blot: TRANCE/TNFSF11/RANK L Antibody (12A668)BSA Free [NB100-56512]

Western Blot: TRANCE/TNFSF11/RANK L Antibody (12A668)BSA Free [NB100-56512]

Western Blot: TRANCE/TNFSF11/RANK L Antibody (12A668) [NB100-56512] - Analysis using Azide Free version of NB100-56512. Human lymph node lysate (35ug per lane, RIPA buffer). Band detected at ~35kDa and ~28kDa. (Expected MW of 35.5kDa according to NP_003692.1 and of 27.7kDa according to NP_143026.1)
Immunocytochemistry/ Immunofluorescence: TRANCE/TNFSF11/RANK L Antibody (12A668) - BSA Free [NB100-56512]

Immunocytochemistry/ Immunofluorescence: TRANCE/TNFSF11/RANK L Antibody (12A668) - BSA Free [NB100-56512]

Immunocytochemistry/Immunofluorescence: TRANCE/TNFSF11/RANK L Antibody (12A668) [NB100-56512] - TRANCE was detected in immersion fixed mouse splenocytes using anti-human/mouse/rat mouse monoclonal antibody (Catalog # NB100-56512) for 1 hour at room temperature. Cells were stained using NL557 (red) fluorescent anti-mouse secondary antibodies (Catalog # NL007) and counterstained with DAPI (blue).

Applications for TRANCE/TNFSF11/RANK L Antibody (12A668) - BSA Free

Application
Recommended Usage

Chromatin Immunoprecipitation (ChIP)

1:10-1:500

ELISA

reported in scientific literature (PMID 15935726)

Immunocytochemistry/ Immunofluorescence

20 ug/ml

Immunohistochemistry

1:10-1:500

Immunohistochemistry-Paraffin

5 ug/ml

Western Blot

0.5-2 ug/ml

Formulation, Preparation, and Storage

Purification

Protein G purified

Formulation

PBS

Format

BSA Free

Preservative

0.02% Sodium Azide

Concentration

1.0 mg/ml

Shipping

The product is shipped with polar packs. Upon receipt, store it immediately at the temperature recommended below.

Stability & Storage

Store at 4C short term. Aliquot and store at -20C long term. Avoid freeze-thaw cycles.

Background: TRANCE/TNFSF11/RANK L

TRANCE/OPGL/RANKL/ODF is a recently identified member of tumor necrosis factor family. TRANCE (TNF-related activation-induced cytokine receptor) or RANKL {receptor activator of NF-kB (RANK) ligand} has been implicated in interactions between T cells and dendritic cells. RANK ligand (RANKL/TRANCE) binds to RANK on dendritic cells, upregulates the expression of anti-apoptotic protein BcL-XL suggesting a role in dendritic cell survival. TRANCE/RANKL is also important in T and B-cell maturation. As OPGL/ODF (Osteoprotegerin Ligand/Osteoclast differentiation factor), the same protein can both activate mature osteoclasts and mediate osteoclastogenesis. OPGL/TRANCE deficient mice show severe osteoporesis and complete absence of osteoclasts as a result of lack of osteogenesis.

Long Name

TNF-related Activation-induced Cytokine

Alternate Names

CD254, ODF, OPGL, RANK L, RANKL, TNFSF11

Entrez Gene IDs

21943 (Mouse)

Gene Symbol

TNFSF11

UniProt

Additional TRANCE/TNFSF11/RANK L Products

Product Documents for TRANCE/TNFSF11/RANK L Antibody (12A668) - BSA Free

Certificate of Analysis

To download a Certificate of Analysis, please enter a lot number in the search box below.

Product Specific Notices for TRANCE/TNFSF11/RANK L Antibody (12A668) - BSA Free

This product is for research use only and is not approved for use in humans or in clinical diagnosis. Primary Antibodies are guaranteed for 1 year from date of receipt.

Loading...
Loading...
Loading...
Loading...
Loading...
Loading...