Skip to main content

TRAIP Antibody (OTI2D4) - Azide and BSA Free

Novus Biologicals, part of Bio-Techne | Catalog # NBP2-74580

Novus Biologicals, part of Bio-Techne
Catalog #
Availability
Size / Price
Qty
Loading...
NBP2-74580

Key Product Details

Species Reactivity

Human

Applications

Immunohistochemistry, Immunohistochemistry-Paraffin, Western Blot, Flow Cytometry, CyTOF-ready

Label

Unconjugated

Antibody Source

Monoclonal Mouse IgG1 Clone # OTI2D4

Format

Azide and BSA Free

Concentration

LYOPH mg/ml

Product Specifications

Immunogen

Human recombinant protein fragment corresponding to amino acids 67-313 of human TRAIP (NP_005870) produced in E.coli.

Clonality

Monoclonal

Host

Mouse

Isotype

IgG1

Theoretical MW

53.1 kDa.
Disclaimer note: The observed molecular weight of the protein may vary from the listed predicted molecular weight due to post translational modifications, post translation cleavages, relative charges, and other experimental factors.

Description

Novus Biologicals Mouse TRAIP Antibody (OTI2D4) - Azide and BSA Free (NBP2-03822) is a monoclonal antibody validated for use in IHC, WB and Flow. All Novus Biologicals antibodies are covered by our 100% guarantee.

Scientific Data Images for TRAIP Antibody (OTI2D4) - Azide and BSA Free

Western Blot: TRAIP Antibody (OTI2D4)Azide and BSA Free [NBP2-74580]

Western Blot: TRAIP Antibody (OTI2D4)Azide and BSA Free [NBP2-74580]

Western Blot: TRAIP Antibody (OTI2D4) - Azide and BSA Free [NBP2-74580] - HEK293T cells were transfected with the pCMV6-ENTRY control (Left lane) or pCMV6-ENTRY TRAIP (Right lane) cDNA for 48 hrs and lysed. Equivalent amounts of cell lysates (5 ug per lane) were separated by SDS-PAGE and immunoblotted with anti-TRAIP.
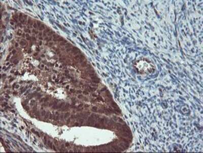
Immunohistochemistry: TRAIP Antibody (OTI2D4) - Azide and BSA Free [NBP2-74580]

Immunohistochemistry: TRAIP Antibody (OTI2D4) - Azide and BSA Free [NBP2-74580]

Immunohistochemistry: TRAIP Antibody (OTI2D4) - Azide and BSA Free [NBP2-74580] - Staining of paraffin-embedded Human Kidney tissue using anti-TRAIP mouse monoclonal antibody.
Flow Cytometry: TRAIP Antibody (OTI2D4) - Azide and BSA Free [NBP2-74580]

Flow Cytometry: TRAIP Antibody (OTI2D4) - Azide and BSA Free [NBP2-74580]

Flow Cytometry: TRAIP Antibody (OTI2D4) - Azide and BSA Free [NBP2-74580] - HEK293T cells transfected with either overexpression plasmid (Red) or empty vector control plasmid (Blue) were immunostaining by anti-TRAIP antibody, and then analyzed by flow cytometry.

Applications for TRAIP Antibody (OTI2D4) - Azide and BSA Free

Application
Recommended Usage

Flow Cytometry

1:100

Immunohistochemistry

1:150

Western Blot

1:2000

Formulation, Preparation, and Storage

Purification

Immunogen affinity purified

Reconstitution

we recommend adding 100uL distilled water to a final antibody concentration of about 1 mg/mL. To use this carrier-free antibody for conjugation experiment, we strongly recommend performing another round of desalting process.

Formulation

Lyophilized from PBS (pH 7.3) with 8% Trehalose

Format

Azide and BSA Free

Preservative

No Preservative

Concentration

LYOPH mg/ml

Shipping

The product is shipped with polar packs. Upon receipt, store it immediately at the temperature recommended below.

Stability & Storage

Store at -20C. Avoid freeze-thaw cycles.

Background: TRAIP

The TNF receptor-associated factor (TRAF) family is a group of cytoplasmic adapter proteins that link a wide variety of cell surface receptors including the TNF and IL-1 receptor (TRNFR and IL-1R) superfamily to diverse signaling cascades involved in differentiation, proliferation, activation and apoptosis. TRIP (TRAF-interacting protein) was identified in 1997 as a component of receptor-TRAF signaling complexes (Lee, 1997). TRIP (also known as TRAIP) has been shown to associate with TRNFR2 or CD30 signaling complexes through its interaction with TRAF proteins and inhibit TRAF2-mediated NF-kB activation (Lee, 1997; Regamey et al, 2003). The recruitment of different TRAFs and TRAF associated proteins like TRIP to receptor complexes can help regulate and provide specificity to the intracellular signals triggered by the cell surface receptors.

Alternate Names

RNF206TRIPRING finger protein 206, TRAF interacting protein, TRAF-interacting protein

Gene Symbol

TRAIP

Additional TRAIP Products

Product Documents for TRAIP Antibody (OTI2D4) - Azide and BSA Free

Certificate of Analysis

To download a Certificate of Analysis, please enter a lot number in the search box below.

Product Specific Notices for TRAIP Antibody (OTI2D4) - Azide and BSA Free

This product is for research use only and is not approved for use in humans or in clinical diagnosis. Primary Antibodies are guaranteed for 1 year from date of receipt.

Loading...
Loading...
Loading...
Loading...
Loading...
Loading...