Skip to main content

TRAF-6 Antibody - BSA Free

Novus Biologicals, part of Bio-Techne | Catalog # NBP1-33357

Novus Biologicals, part of Bio-Techne
Catalog #
Availability
Size / Price
Qty
Loading...
NBP1-33357

Key Product Details

Species Reactivity

Validated:

Human, Mouse, Rat

Predicted:

Bovine (90%), Porcine (90%), Rhesus Macaque (97%). Backed by our 100% Guarantee.

Applications

Immunohistochemistry, Immunohistochemistry-Paraffin, Western Blot, Immunocytochemistry/ Immunofluorescence, Immunoprecipitation

Label

Unconjugated

Antibody Source

Polyclonal Rabbit IgG

Format

BSA Free

Concentration

Concentrations vary lot to lot. See vial label for concentration. If unlisted please contact technical services.

Product Specifications

Immunogen

Recombinant protein encompassing a sequence within the center region of human TRAF-6. The exact sequence is proprietary.

Localization

Cytoplasm

Clonality

Polyclonal

Host

Rabbit

Isotype

IgG

Theoretical MW

60 kDa.
Disclaimer note: The observed molecular weight of the protein may vary from the listed predicted molecular weight due to post translational modifications, post translation cleavages, relative charges, and other experimental factors.

Scientific Data Images for TRAF-6 Antibody - BSA Free

Immunohistochemistry-Paraffin: TRAF-6 Antibody [NBP1-33357]

Immunohistochemistry-Paraffin: TRAF-6 Antibody [NBP1-33357]

Immunohistochemistry-Paraffin: TRAF-6 Antibody [NBP1-33357] - Rat brain.TRAF6 antibody [N2C2], Internal diluted at 1:500. Antigen Retrieval: Citrate buffer, pH 6.0, 15 min.
Immunohistochemistry-Paraffin: TRAF-6 Antibody [NBP1-33357]

Immunohistochemistry-Paraffin: TRAF-6 Antibody [NBP1-33357]

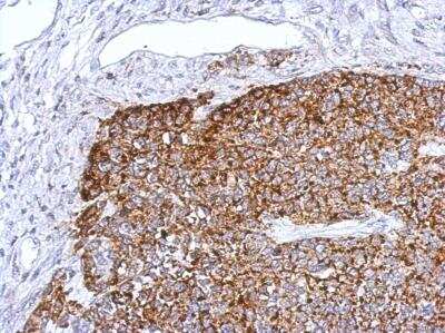
Immunohistochemistry-Paraffin: TRAF-6 Antibody [NBP1-33357] - 59T xenograft, using TRAF6 antibody at 1:500 dilution. Antigen Retrieval: Trilogy™ (EDTA based, pH 8.0) buffer, 15min.
Immunohistochemistry-Paraffin: TRAF-6 Antibody [NBP1-33357]

Immunohistochemistry-Paraffin: TRAF-6 Antibody [NBP1-33357]

Immunohistochemistry-Paraffin: TRAF-6 Antibody [NBP1-33357] - Mouse lung. TRAF6 antibody [N2C2], Internal diluted at 1:500. Antigen Retrieval: Citrate buffer, pH 6.0, 15 min.

Applications for TRAF-6 Antibody - BSA Free

Application
Recommended Usage

Immunocytochemistry/ Immunofluorescence

1:100-1:1000

Immunohistochemistry

1:100-1:1000

Immunohistochemistry-Paraffin

1:100-1:1000

Immunoprecipitation

1:100-1:500

Western Blot

1:500-1:3000

Formulation, Preparation, and Storage

Purification

Antigen Affinity-purified

Formulation

PBS, 20% Glycerol

Format

BSA Free

Preservative

0.025% Proclin 300

Concentration

Concentrations vary lot to lot. See vial label for concentration. If unlisted please contact technical services.

Shipping

The product is shipped with polar packs. Upon receipt, store it immediately at the temperature recommended below.

Stability & Storage

Aliquot and store at -20C or -80C. Avoid freeze-thaw cycles.

Background: TRAF-6

TRAFs (Tumor necrosis factor receptor-associated factors) are cytoplasmic adaptor proteins that associate with tumor necrosis factor receptors (TNFR), thus mediating tumor necrosis factor (TNF) induced signaling. The TRAF family consists of six members (TRAF1-6).1-3 TRAF proteins play an important role in regulating cellular death and cellular response to stress by mediating stimulation of AP-1 family through activation of MAP kinases, including JNK/SAPKs, ERKs and p38s.4 They are also involved in the regulation of inflammatory and anti-apoptotic responses through activation of the transcription factors of NF-kB.5 TRAF6 possesses several binding motifs in CD40, TRANCE-R and IRAK suggesting a crucial role in TRANCE-R signaling. It is involved in the activation of the anti-apoptotic serine/threonine kinase Akt/PKB through TRANCE-R.6 Due to its specific receptor-binding TRAF-C domain, TRAF6 is the only member of the TRAF family that also participates in signal transduction of the interlukin-1 receptor (IL-1R)/Toll-like receptor (TLR) superfamily.1,7,8 TRAF6 plays a crucial role in adaptive immunity, innate immunity, bone homeostasis, perinatal and postnatal survival, and cytokine signaling.9 Suitable for use in Western Blot, Immunoprecipitation. Other applications not tested. Reacts with the human and mouse TRAF6 proteins. On Western blots, it identifies a band at ~55kD and a band at ~60kD. The two bands may represent the two reported forms of this protein (522 and 530 amino acids). Reactivity has been confirmed with human Hela, HEK293, Jurkat, and mouse NIH3T3 cell lysates.Signals from the IL-1 receptor (IL-1R)/Toll-like receptor (TLR) and TNF receptor (TNFR) superfamilies are critical for regulating the function of antigen-presenting cells. Signals transduced by these molecules lead to increased expression and activation of transcription factors such as NF-kB. TNF receptor-associated factor 6 (TRAF6) is unique in that it is a signaling adapter molecule common to both families. TRAF6 is important in cytokine production, dendritic cell (DC) maturation, and the T cell stimulatory capacity of DCs in response to TLR and CD40 ligands. It can be activated in the IL-1R/TLR signaling pathway by IL-1 receptor-associated kinase 1 (IRAK-1) or by other TLR adaptor molecules such as TRIF. Also, it has been shown that TRAF6 can interact directly with TNFR family members CD40 and RANK.

Long Name

TNF Receptor-Associated Factor 6

Alternate Names

TRAF6

Gene Symbol

TRAF6

Additional TRAF-6 Products

Product Documents for TRAF-6 Antibody - BSA Free

Certificate of Analysis

To download a Certificate of Analysis, please enter a lot number in the search box below.

Product Specific Notices for TRAF-6 Antibody - BSA Free

This product is for research use only and is not approved for use in humans or in clinical diagnosis. Primary Antibodies are guaranteed for 1 year from date of receipt.

Loading...
Loading...
Loading...
Loading...