Skip to main content

TRAF-2 Antibody - BSA Free

Novus Biologicals, part of Bio-Techne | Catalog # NBP1-86914

Novus Biologicals, part of Bio-Techne
Catalog #
Availability
Size / Price
Qty
Loading...
NBP1-86914
NBP1-86914-25ul

Key Product Details

Validated by

Independent Antibodies

Species Reactivity

Validated:

Human

Cited:

Human

Applications

Immunohistochemistry, Immunohistochemistry-Paraffin, Western Blot, Immunocytochemistry/ Immunofluorescence

Label

Unconjugated

Antibody Source

Polyclonal Rabbit IgG

Format

BSA Free

Concentration

Concentrations vary lot to lot. See vial label for concentration. If unlisted please contact technical services.

Product Specifications

Immunogen

This antibody was developed against Recombinant Protein corresponding to amino acids: QDHVKTCGKCRVPCRFHAIGCLETVEGEKQQEHEVQWLREHLAMLLSSVLEAKPLLGDQSHAGSELLQRCESLEKKTATFENIVCVLNREVERVAMTAEACSRQHRLDQDKIEALSSKVQQLERSIGLKDLAMADLEQKVLEME

Clonality

Polyclonal

Host

Rabbit

Isotype

IgG

Theoretical MW

56 kDa.
Disclaimer note: The observed molecular weight of the protein may vary from the listed predicted molecular weight due to post translational modifications, post translation cleavages, relative charges, and other experimental factors.

Description

Novus Biologicals Rabbit TRAF-2 Antibody - BSA Free (NBP1-86914) is a polyclonal antibody validated for use in IHC, WB and ICC/IF. Anti-TRAF-2 Antibody: Cited in 1 publication. All Novus Biologicals antibodies are covered by our 100% guarantee.

Scientific Data Images for TRAF-2 Antibody - BSA Free

Immunocytochemistry/ Immunofluorescence: TRAF-2 Antibody [NBP1-86914]

Immunocytochemistry/ Immunofluorescence: TRAF-2 Antibody [NBP1-86914]

Immunocytochemistry/Immunofluorescence: TRAF-2 Antibody [NBP1-86914] - Immunofluorescent staining of human cell line U-251 MG shows localization to cytosol.
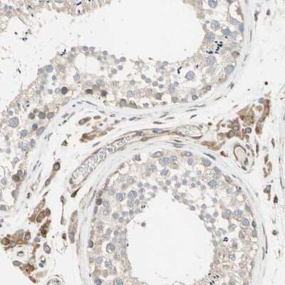
Immunohistochemistry-Paraffin: TRAF-2 Antibody [NBP1-86914]

Immunohistochemistry-Paraffin: TRAF-2 Antibody [NBP1-86914]

Immunohistochemistry-Paraffin: TRAF-2 Antibody [NBP1-86914] - Staining of human testis shows cytoplasmic positivity in cells in seminiferous ducts and Leydig cells.
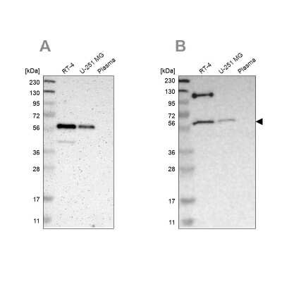
Western Blot: TRAF-2 Antibody [NBP1-86914]

Western Blot: TRAF-2 Antibody [NBP1-86914]

Western Blot: TRAF-2 Antibody [NBP1-86914] - Analysis using Anti-TRAF2 antibody NBP1-86914 (A) shows similar pattern to independent antibody NBP1-86913 (B).

Applications for TRAF-2 Antibody - BSA Free

Application
Recommended Usage

Immunocytochemistry/ Immunofluorescence

0.25-2 ug/ml

Immunohistochemistry

1:20 - 1:50

Immunohistochemistry-Paraffin

1:20-1:50

Western Blot

0.04-0.4 ug/ml
Application Notes
For IHC-Paraffin, HIER pH 6 retrieval is recommended. Immunocytochemistry/Immunofluorescence Fixation Permeabilization: Use PFA/Triton X-100.

Formulation, Preparation, and Storage

Purification

Immunogen affinity purified

Formulation

PBS (pH 7.2) and 40% Glycerol

Format

BSA Free

Preservative

0.02% Sodium Azide

Concentration

Concentrations vary lot to lot. See vial label for concentration. If unlisted please contact technical services.

Shipping

The product is shipped with polar packs. Upon receipt, store it immediately at the temperature recommended below.

Stability & Storage

Store at 4C short term. Aliquot and store at -20C long term. Avoid freeze-thaw cycles.

Background: TRAF-2

The TRAF (TNF receptor-associated factor) family is a group of adapter proteins (TRAFs 1-6) that link a wide variety of cell surface receptors to diverse signaling cascades leading to the activation of NF-kB and mitogen-activated protein kinases (reviewed in Chung et al, 2002). TRAFs are major signal transducers for both the TNF and IL- 1/TLR receptor superfamilies and collectively play important functions in both adaptive and innate immunity. The carboxy-terminal region of TRAFs is required for self-association and interaction with receptor cytoplasmic domains following ligand-induced oligomerization. TRAFs interact with a variety of proteins that regulate receptor-induced cell death or survival, and TRAF-mediated signaling can promote cell survival or interfere with death receptor-induced apoptosis. TRAF2 is typically described as a 501 amino acid (aa) protein, GenBank no. NP_066961.2. However, various TRAF2 isoforms have been described. Therefore the molecular weight of TRAF2 detected by Western blot may vary depending on isoforms expressed.

Long Name

TNF Receptor-Associated Factor 2

Alternate Names

TRAF2, TRAP3

Entrez Gene IDs

7186 (Human)

Gene Symbol

TRAF2

UniProt

Additional TRAF-2 Products

Product Documents for TRAF-2 Antibody - BSA Free

Certificate of Analysis

To download a Certificate of Analysis, please enter a lot number in the search box below.

Product Specific Notices for TRAF-2 Antibody - BSA Free

This product is for research use only and is not approved for use in humans or in clinical diagnosis. Primary Antibodies are guaranteed for 1 year from date of receipt.

Loading...
Loading...
Loading...
Loading...