Skip to main content

TPPP2 Antibody - BSA Free

Novus Biologicals, part of Bio-Techne | Catalog # NBP1-88430

Novus Biologicals, part of Bio-Techne
Catalog #
Availability
Size / Price
Qty
Loading...
NBP1-88430
NBP1-88430-25ul

Key Product Details

Validated by

Orthogonal Validation

Species Reactivity

Human

Applications

Immunohistochemistry, Immunohistochemistry-Paraffin, Western Blot

Label

Unconjugated

Antibody Source

Polyclonal Rabbit IgG

Format

BSA Free

Concentration

Concentrations vary lot to lot. See vial label for concentration. If unlisted please contact technical services.

Product Specifications

Immunogen

This antibody was developed against Recombinant Protein corresponding to amino acids: TFHRFAAFGESSSSGTEMNNKNFSKLCKDCGIMDGKTVTSTDVDIVFSKVKAKNARTITFQQFKEAVKELGQKRFKGKSPDEVLENIYGLMEGKDPATTGATKATTVGAVDRLTDTSKYTGTHKERFDESGKGKGIAGREEMT

Reactivity Notes

Immunogen displays the following percentage of sequence identity for non-tested species: Mouse (85%), Rat (88%)

Clonality

Polyclonal

Host

Rabbit

Isotype

IgG

Description

Novus Biologicals Rabbit TPPP2 Antibody - BSA Free (NBP1-88430) is a polyclonal antibody validated for use in IHC and WB. All Novus Biologicals antibodies are covered by our 100% guarantee.

Scientific Data Images for TPPP2 Antibody - BSA Free

Immunohistochemistry-Paraffin: TPPP2 Antibody [NBP1-88430]

Immunohistochemistry-Paraffin: TPPP2 Antibody [NBP1-88430]

Immunohistochemistry-Paraffin: TPPP2 Antibody [NBP1-88430] - Staining in human testis and prostate tissues using anti-TPPP2 antibody. Corresponding TPPP2 RNA-seq data are presented for the same tissues.
Immunohistochemistry-Paraffin: TPPP2 Antibody [NBP1-88430]

Immunohistochemistry-Paraffin: TPPP2 Antibody [NBP1-88430]

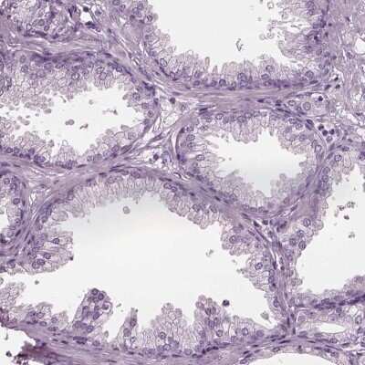
Immunohistochemistry-Paraffin: TPPP2 Antibody [NBP1-88430] - Staining of human prostate shows low expression as expected.
Immunohistochemistry-Paraffin: TPPP2 Antibody [NBP1-88430]

Immunohistochemistry-Paraffin: TPPP2 Antibody [NBP1-88430]

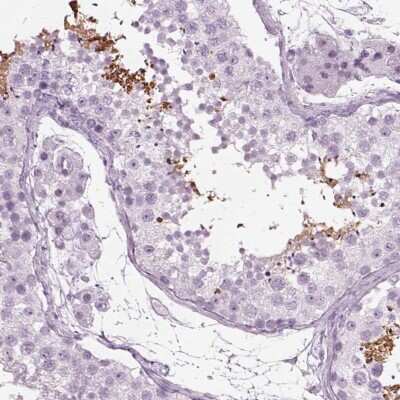
Immunohistochemistry-Paraffin: TPPP2 Antibody [NBP1-88430] - Staining of human testis shows high expression.

Applications for TPPP2 Antibody - BSA Free

Application
Recommended Usage

Immunohistochemistry

1:50 - 1:200

Immunohistochemistry-Paraffin

1:50 - 1:200

Western Blot

0.04-0.4 ug/ml
Application Notes
For IHC-Paraffin, HIER pH 6 retrieval is recommended.

Formulation, Preparation, and Storage

Purification

Immunogen affinity purified

Formulation

PBS (pH 7.2) and 40% Glycerol

Format

BSA Free

Preservative

0.02% Sodium Azide

Concentration

Concentrations vary lot to lot. See vial label for concentration. If unlisted please contact technical services.

Shipping

The product is shipped with polar packs. Upon receipt, store it immediately at the temperature recommended below.

Stability & Storage

Store at 4C short term. Aliquot and store at -20C long term. Avoid freeze-thaw cycles.

Background: TPPP2

TPPP2 may bind tubulin but has no microtubule bundling activity

Alternate Names

C14orf8, chromosome 14 open reading frame 8, P18, p25beta, Protein p25-beta, TPPP/p18, tubulin polymerization-promoting protein family member 2

Gene Symbol

TPPP2

Additional TPPP2 Products

Product Documents for TPPP2 Antibody - BSA Free

Certificate of Analysis

To download a Certificate of Analysis, please enter a lot number in the search box below.

Product Specific Notices for TPPP2 Antibody - BSA Free

This product is for research use only and is not approved for use in humans or in clinical diagnosis. Primary Antibodies are guaranteed for 1 year from date of receipt.

Loading...
Loading...
Loading...
Loading...