Skip to main content

TORC1 Antibody

Novus Biologicals, part of Bio-Techne | Catalog # NB100-2352

Novus Biologicals, part of Bio-Techne
Catalog #
Availability
Size / Price
Qty
Loading...
NB100-2352

Key Product Details

Validated by

Independent Antibodies, Biological Validation

Species Reactivity

Validated:

Human, Mouse

Predicted:

Rat (100%). Backed by our 100% Guarantee.

Applications

Immunohistochemistry, Immunohistochemistry-Paraffin, Immunoprecipitation, Western Blot

Label

Unconjugated

Antibody Source

Polyclonal Rabbit IgG

Concentration

0.2 mg/ml

Product Specifications

Immunogen

The immunogen recognized by this antibody maps to a region between residue 600 and the C-terminus (residue 634) of human Transducer of Regulated cAMP Response element-binding protein 1 using the numbering given in entry NP_056136.1 (GeneID 23373 ).

Clonality

Polyclonal

Host

Rabbit

Isotype

IgG

Description

Novus Biologicals Rabbit TORC1 Antibody (NB100-2352) is a polyclonal antibody validated for use in IHC, WB and IP. All Novus Biologicals antibodies are covered by our 100% guarantee.

Scientific Data Images for TORC1 Antibody

Western Blot: TORC1 Antibody [NB100-2352]

Western Blot: TORC1 Antibody [NB100-2352]

Western Blot: TORC1 Antibody [NB100-2352] - Detection of human TORC1 by western blot. Samples: Whole cell lysate (50 ug) from HeLa and HEK293T cells prepared using NETN lysis buffer. Antibody: Affinity purified rabbit anti-TORC1 antibody NB100-2352 used for WB at 0.1 ug/ml. Detection: Chemiluminescence with an exposure time of 30 seconds.
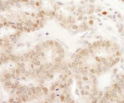
Immunohistochemistry: TORC1 Antibody [NB100-2352]

Immunohistochemistry: TORC1 Antibody [NB100-2352]

Immunohistochemistry: TORC1 Antibody [NB100-2352] - Detection of human TORC1 by immunohistochemistry. Sample: FFPE section of human prostate carcinoma. Antibody: Affinity purified rabbit anti-TORC1 used at a dilution of 1:200 (1ug/ml). Detection: DAB
Western Blot: TORC1 Antibody [NB100-2352]

Western Blot: TORC1 Antibody [NB100-2352]

Western Blot: TORC1 Antibody [NB100-2352] - Detection of Human and Mouse TORC1 on HeLa whole cell lysate using NB100-2352. TORC1 was also immunoprecipitated by another rabbit anti-TORC1 antibody and NB100-2351.

Applications for TORC1 Antibody

Application
Recommended Usage

Immunohistochemistry

1:100-1:500

Immunohistochemistry-Paraffin

1:100-1:500

Immunoprecipitation

2-5 ug/mg lysate
Application Notes
Epitope retrieval with Tris-EDTA pH 9.0 is recommended for FFPE tissue sections.

Formulation, Preparation, and Storage

Purification

Immunogen affinity purified

Formulation

TBS and 0.1% BSA

Preservative

0.09% Sodium Azide

Concentration

0.2 mg/ml

Shipping

The product is shipped with polar packs. Upon receipt, store it immediately at the temperature recommended below.

Stability & Storage

Store at 4C. Do not freeze.

Background: TORC1

MECT1 (also known as MucoEpidermoid Carcinoma Translocated 1) is a nuclear protein that functions as a transcriptional coactivator for CREB1, which activates transcription through both consensus and variant cAMP response element (CRE) sites. MECT1 does not appear to modulate CREB1 DNA-binding activity but enhances the interaction of CREB1 with TAF4/TAFII-130. MECT1 translocates with MAML2 (MasterMind-Like Protein 2) to yield a fusion oncogene: t(11;19) (q21;p13). This translocation occurs in mucoepidermoid carcinomas, benign Warthin tumors and clear cell hidradenomas. The novel fusion product that results disrupts the Notch signaling pathway. The fusion protein consists of the N-terminus of MECT1 joined to the C-terminus of MAML2. The reciprocal fusion protein consisting of the N-terminus of MAML2 joined to the C-terminus of MECT1 has been detected in a small number of mucoepidermoid carcinomas. Multiple isoforms have been reported for the MECT1 protein.

Long Name

Transducer of Regulated CREB protein 1

Alternate Names

CRTC1, MECT1, WAMTP1

Entrez Gene IDs

23373 (Human); 382056 (Mouse)

Gene Symbol

CRTC1

Additional TORC1 Products

Product Documents for TORC1 Antibody

Certificate of Analysis

To download a Certificate of Analysis, please enter a lot number in the search box below.

Product Specific Notices for TORC1 Antibody

This product is for research use only and is not approved for use in humans or in clinical diagnosis. Primary Antibodies are guaranteed for 1 year from date of receipt.

Loading...
Loading...
Loading...
Loading...