Skip to main content

TOR/mTOR [p Ser2448] Antibody

Novus Biologicals, part of Bio-Techne | Catalog # NBP3-13144

Novus Biologicals, part of Bio-Techne
Catalog #
Availability
Size / Price
Qty
Loading...
NBP3-13144

Key Product Details

Validated by

Biological Validation

Species Reactivity

Validated:

Human, Mouse, Rat

Predicted:

Sheep (100%). Backed by our 100% Guarantee.

Applications

Immunocytochemistry/ Immunofluorescence, Immunohistochemistry, Immunohistochemistry-Paraffin, Western Blot

Label

Unconjugated

Antibody Source

Polyclonal Rabbit IgG

Concentration

Concentrations vary lot to lot. See vial label for concentration. If unlisted please contact technical services.

Product Specifications

Immunogen

Carrier-protein conjugated synthetic peptide surrounding phospho Ser2448 of human TOR/mTOR. The exact sequence is proprietary.

Modification

p Ser2448

Clonality

Polyclonal

Host

Rabbit

Isotype

IgG

Theoretical MW

289 kDa.
Disclaimer note: The observed molecular weight of the protein may vary from the listed predicted molecular weight due to post translational modifications, post translation cleavages, relative charges, and other experimental factors.

Description

Centrifuge briefly prior to opening.

Scientific Data Images for TOR/mTOR [p Ser2448] Antibody

Western Blot: TOR/mTOR [p Ser2448] Antibody [NBP3-13144]

Western Blot: TOR/mTOR [p Ser2448] Antibody [NBP3-13144]

Western Blot: TOR/mTOR [p Ser2448] Antibody [NBP3-13144] - Untreated (-) and treated (+) 293T whole cell extracts (50 ug) were separated by 5% SDS-PAGE, and the membrane was blotted with TOR/mTOR (phospho Ser2448) antibody (NBP3-13144) diluted at 1:1000. The HRP-conjugated anti-rabbit IgG antibody (NBP2-19301) was used to detect the primary antibody.
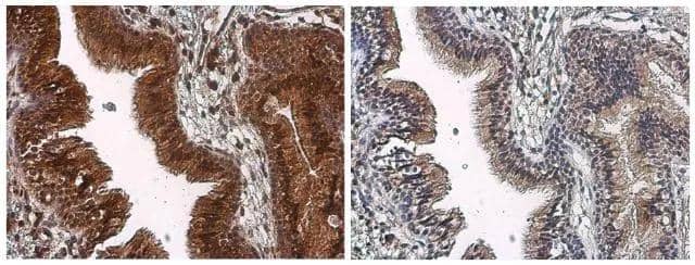
Immunohistochemistry-Paraffin: TOR/mTOR [p Ser2448] Antibody [NBP3-13144]

Immunohistochemistry-Paraffin: TOR/mTOR [p Ser2448] Antibody [NBP3-13144]

Immunohistochemistry-Paraffin: TOR/mTOR [p Ser2448] Antibody [NBP3-13144] - TOR/mTOR (phospho Ser2448) antibody detects TOR/mTOR (phospho Ser2448) protein at cytoplasm by immunohistochemical analysis in the presence of control peptide (left) or antigen-specific peptide (right). Sample: Paraffin-embedded human lung cancer. TOR/mTOR (phospho Ser2448) stained by TOR/mTOR (phospho Ser2448) antibody (NBP3-13144) diluted at 1:500. Antigen Retrieval: Citrate buffer, pH 6.0, 15 min
Western Blot: TOR/mTOR [p Ser2448] Antibody [NBP3-13144]

Western Blot: TOR/mTOR [p Ser2448] Antibody [NBP3-13144]

Western Blot: TOR/mTOR [p Ser2448] Antibody [NBP3-13144] - Untreated (-) and treated (+) 293T whole cell extracts (60 ug) were separated by 5% SDS-PAGE, and the membrane was blotted with TOR/mTOR (phospho Ser2448) antibody (NBP3-13144) diluted at 1:1000.

Applications for TOR/mTOR [p Ser2448] Antibody

Application
Recommended Usage

Immunocytochemistry/ Immunofluorescence

Assay dependent

Immunohistochemistry

1:100-1:1000

Immunohistochemistry-Paraffin

1:100-1:1000

Western Blot

1:500-1:3000

Formulation, Preparation, and Storage

Purification

Antigen Affinity-purified

Formulation

PBS, 1% BSA, 20% Glycerol

Preservative

0.025% Proclin 300

Concentration

Concentrations vary lot to lot. See vial label for concentration. If unlisted please contact technical services.

Shipping

The product is shipped with polar packs. Upon receipt, store it immediately at the temperature recommended below.

Stability & Storage

Store at 4C short term. Aliquot and store at -20C long term. Avoid freeze-thaw cycles.

Background: TOR

The mammalian target of rapamycin (mTOR) is a serine/threonine protein kinase which helps to mediate many cellular processes. Specifically, mTOR is invloved in the cellular responses to stresses such as DNA damage and nutrient deprivation. This protein acts as the target for the cell-cycle arrest and immunosuppressive effects of the FKBP12-rapamycin complex, making mTOR antibodies useful tools for a number of important research areas.

Long Name

Mammalian Target of Rapamycin

Alternate Names

FRAP1, FRAP2, MTOR, RAFT1

Gene Symbol

MTOR

Additional TOR Products

Product Documents for TOR/mTOR [p Ser2448] Antibody

Certificate of Analysis

To download a Certificate of Analysis, please enter a lot number in the search box below.

Product Specific Notices for TOR/mTOR [p Ser2448] Antibody

This product is for research use only and is not approved for use in humans or in clinical diagnosis. Primary Antibodies are guaranteed for 1 year from date of receipt.

Loading...
Loading...
Loading...
Loading...