TOM1 Antibody - BSA Free
Novus Biologicals, part of Bio-Techne | Catalog # NBP1-86170
Key Product Details
Species Reactivity
Validated:
Human
Predicted:
Mouse (90%). Backed by our 100% Guarantee.
Applications
Immunohistochemistry, Immunohistochemistry-Paraffin, Western Blot
Label
Unconjugated
Antibody Source
Polyclonal Rabbit IgG
Format
BSA Free
Concentration
Concentrations vary lot to lot. See vial label for concentration. If unlisted please contact technical services.
Product Specifications
Immunogen
This antibody was developed against a recombinant protein corresponding to the amino acids: LSGDTPIAPTPEQIGKLRSELEMVSGNVRVMSEMLTELVPTQAEPADLELLQELNRTCRAMQQRVLELIPQIANEQLTEELLIVNDNLNNVFLRHERFERFRTGQTTKAPSEAEPAADLIDMGPDPAATGNLSSQLAGMNLGSSSVRAGLQSLEASGRLEDEFDMFALTRGSSLADQ
Reactivity Notes
Immunogen displays the following percentage of sequence identity for non-tested species: Rat (89%)
Clonality
Polyclonal
Host
Rabbit
Isotype
IgG
Scientific Data Images for TOM1 Antibody - BSA Free
Western Blot: TOM1 Antibody [NBP1-86170]
Western Blot: TOM1 Antibody [NBP1-86170] - Lane 1: Marker [kDa] 207, 110, 79, 49, 32, 25, 17. Lane 2: Human cell line RT-4. Lane 3: Human cell line EFO-21. Lane 4: Human cell line A-431. Lane 5: Human liver tissue. Lane 6: Human tonsil tissueImmunohistochemistry-Paraffin: TOM1 Antibody [NBP1-86170]
Immunohistochemistry-Paraffin: TOM1 Antibody [NBP1-86170] - Staining of human cerebral cortex shows strong cytoplasmic positivity in neurons.Immunohistochemistry-Paraffin: TOM1 Antibody [NBP1-86170]
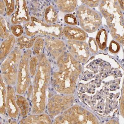
Immunohistochemistry-Paraffin: TOM1 Antibody [NBP1-86170] - Staining of human kidney shows moderate cytoplasmic positivity in cells in tubules.Applications for TOM1 Antibody - BSA Free
Application
Recommended Usage
Immunohistochemistry
1:50 - 1:200
Immunohistochemistry-Paraffin
1:50 - 1:200
Western Blot
0.04-0.4 ug/ml
Application Notes
For IHC-Paraffin, HIER pH 6 retrieval is recommended.
Formulation, Preparation, and Storage
Purification
Affinity purified
Formulation
PBS (pH 7.2) and 40% Glycerol
Format
BSA Free
Preservative
0.02% Sodium Azide
Concentration
Concentrations vary lot to lot. See vial label for concentration. If unlisted please contact technical services.
Shipping
The product is shipped with polar packs. Upon receipt, store it immediately at the temperature recommended below.
Stability & Storage
Store at 4C short term. Aliquot and store at -20C long term. Avoid freeze-thaw cycles.
Background: TOM1
Alternate Names
ADP-ribosylation factor-binding protein GGA3, golgi associated, gamma adaptin ear containing, ARF binding protein 3, golgi-associated, gamma adaptin ear containing, ARF binding protein 3, KIAA0154Golgi-localized, gamma ear-containing, ARF-binding protein 3
Gene Symbol
TOM1
Additional TOM1 Products
Product Documents for TOM1 Antibody - BSA Free
Product Specific Notices for TOM1 Antibody - BSA Free
This product is for research use only and is not approved for use in humans or in clinical diagnosis. Primary Antibodies are guaranteed for 1 year from date of receipt.
Loading...
Loading...
Loading...
Loading...