Skip to main content

TNIP2 Antibody - BSA Free

Novus Biologicals, part of Bio-Techne | Catalog # NBP1-32689

Novus Biologicals, part of Bio-Techne
Catalog #
Availability
Size / Price
Qty
Loading...
NBP1-32689

Key Product Details

Species Reactivity

Validated:

Human

Cited:

Human

Applications

Validated:

Immunohistochemistry, Immunohistochemistry-Paraffin, Western Blot, Immunocytochemistry/ Immunofluorescence

Cited:

Western Blot

Label

Unconjugated

Antibody Source

Polyclonal Rabbit IgG

Format

BSA Free

Concentration

Concentrations vary lot to lot. See vial label for concentration. If unlisted please contact technical services.

Product Specifications

Immunogen

Recombinant protein encompassing a sequence within the center region of human TNIP2. The exact sequence is proprietary.

Reactivity Notes

Immunogen displays the following percentage of sequence identity for non-tested species: Mouse (82%), Rat (80%).

Localization

Cytoplasm

Clonality

Polyclonal

Host

Rabbit

Isotype

IgG

Theoretical MW

49 kDa.
Disclaimer note: The observed molecular weight of the protein may vary from the listed predicted molecular weight due to post translational modifications, post translation cleavages, relative charges, and other experimental factors.

Description

Novus Biologicals Rabbit TNIP2 Antibody - BSA Free (NBP1-32689) is a polyclonal antibody validated for use in IHC, WB and ICC/IF. Anti-TNIP2 Antibody: Cited in 2 publications. All Novus Biologicals antibodies are covered by our 100% guarantee.

Scientific Data Images for TNIP2 Antibody - BSA Free

Western Blot: TNIP2 Antibody [NBP1-32689]

Western Blot: TNIP2 Antibody [NBP1-32689]

Western Blot: TNIP2 Antibody [NBP1-32689] - Sample (30 ug of whole cell lysate)A: A431 B: Hela S310% SDS PAGE, antibody diluted at 1:1000.
Immunocytochemistry/ Immunofluorescence: TNIP2 Antibody [NBP1-32689]

Immunocytochemistry/ Immunofluorescence: TNIP2 Antibody [NBP1-32689]

Immunocytochemistry/Immunofluorescence: TNIP2 Antibody [NBP1-32689] - Paraformaldehyde-fixed HeLa, using antibody at 1:200 dilution.
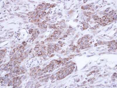
Immunohistochemistry-Paraffin: TNIP2 Antibody [NBP1-32689]

Immunohistochemistry-Paraffin: TNIP2 Antibody [NBP1-32689]

Immunohistochemistry-Paraffin: TNIP2 Antibody [NBP1-32689] - Paraffin-embedded SAS xenograft, using antibody at 1:500 dilution.

Applications for TNIP2 Antibody - BSA Free

Application
Recommended Usage

Immunocytochemistry/ Immunofluorescence

1:100-1:1000

Immunohistochemistry

1:100-1:1000

Immunohistochemistry-Paraffin

1:100-1:1000

Western Blot

1:500-1:3000

Formulation, Preparation, and Storage

Purification

Antigen Affinity-purified

Formulation

0.1M Tris, 0.1M Glycine, 10% Glycerol

Format

BSA Free

Preservative

0.01% Thimerosal

Concentration

Concentrations vary lot to lot. See vial label for concentration. If unlisted please contact technical services.

Shipping

The product is shipped with polar packs. Upon receipt, store it immediately at the temperature recommended below.

Stability & Storage

Aliquot and store at -20C or -80C. Avoid freeze-thaw cycles.

Background: TNIP2

ABIN-2, TNFAIP3 interacting protein 2, binds to the COOH-terminal zinc finger domain of A20. NF-kB activation induced by TNF and interleukin-1 is inhibited by overexpression of ABIN-2. The latter also inhibits NF-kB activation induced by overexpression of receptor-interacting protein or TNF receptor-associated factor 2. A-20 binding Inhibitor of Nuclear Factor-kappaB (NF-kB)Activation (ABIN-2) binds to A-20. ABIN-2 interferes with NF-kB activation upstream of the IKK complex and might contribute to NF-kB inhibitory function of A-20.

Alternate Names

A20-binding inhibitor of NF-kappa-B activation 2, A20-binding inhibitor of NF-kappaB activation-2, ABIN-2, ABIN2KLIP, Fetal liver LKB1-interacting protein, FLIP1DKFZp434J1313, MGC4289, TNFAIP3 interacting protein 2, TNFAIP3-interacting protein 2

Entrez Gene IDs

79155 (Human)

Gene Symbol

TNIP2

UniProt

Additional TNIP2 Products

Product Documents for TNIP2 Antibody - BSA Free

Certificate of Analysis

To download a Certificate of Analysis, please enter a lot number in the search box below.

Product Specific Notices for TNIP2 Antibody - BSA Free

This product is for research use only and is not approved for use in humans or in clinical diagnosis. Primary Antibodies are guaranteed for 1 year from date of receipt.

Loading...
Loading...
Loading...
Loading...

⚠ WARNING: This product can expose you to chemicals including mercury, which is known to the State of California to cause reproductive toxicity with developmental effects.  For more information go to www.P65Warnings.ca.gov.