Skip to main content

TMEPAI Antibody - BSA Free

Novus Biologicals, part of Bio-Techne | Catalog # NBP2-41321

Novus Biologicals, part of Bio-Techne

Key Product Details

Species Reactivity

Human, Mouse, Rat

Applications

Immunohistochemistry, Immunohistochemistry-Paraffin, Western Blot, ELISA

Label

Unconjugated

Antibody Source

Polyclonal Rabbit IgG

Format

BSA Free

Concentration

1 mg/ml

Product Specifications

Immunogen

Antibody was raised against a 16 amino acid peptide near the center of human PMEPA1. The immunogen is located within amino acids 160 - 210 of PMEPA1. Amino Acid Squence: QLELNRESVRAPPNRT

Specificity

At least four isoforms are known to exist; this antibody will detect all of the isoforms.

Clonality

Polyclonal

Host

Rabbit

Isotype

IgG

Theoretical MW

27 kDa.
Disclaimer note: The observed molecular weight of the protein may vary from the listed predicted molecular weight due to post translational modifications, post translation cleavages, relative charges, and other experimental factors.

Description

Novus Biologicals Rabbit TMEPAI Antibody - BSA Free (NBP2-41321) is a polyclonal antibody validated for use in IHC, WB and ELISA. All Novus Biologicals antibodies are covered by our 100% guarantee.

Scientific Data Images for TMEPAI Antibody - BSA Free

Western Blot: TMEPAI AntibodyBSA Free [NBP2-41321]

Western Blot: TMEPAI AntibodyBSA Free [NBP2-41321]

Western Blot: TMEPAI Antibody [NBP2-41321] - Analysis of PMEPA1 inA549 cell lysate with PMEPA1 antibody at 1 ug/ml in (A) the absence and (B) the presence of blocking peptide.
TMEPAI Antibody - BSA Free

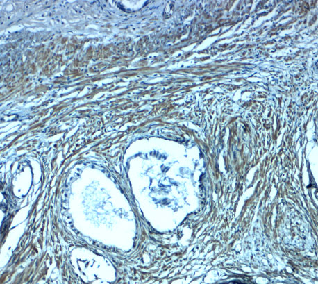
Immunohistochemistry: TMEPAI Antibody - BSA Free [NBP2-41321] -

Immunohistochemistry: TMEPAI Antibody - BSA Free [NBP2-41321] - Immunohistochemistry of TMEPAI in human prostate tissue with TMEPAI antibody at 2.5 ug/ml.

Applications for TMEPAI Antibody - BSA Free

Application
Recommended Usage

Immunohistochemistry

2.5 ug/mL

Immunohistochemistry-Paraffin

2.5 ug/mL

Western Blot

1 - 2 ug/ml

Formulation, Preparation, and Storage

Purification

Peptide affinity purified

Formulation

PBS

Format

BSA Free

Preservative

0.02% Sodium Azide

Concentration

1 mg/ml

Shipping

The product is shipped with polar packs. Upon receipt, store it immediately at the temperature recommended below.

Stability & Storage

Store at 4C short term. Aliquot and store at -20C long term. Avoid freeze-thaw cycles.

Background: TMEPAI

Interacts with the WW domains of NEDD4

Alternate Names

prostate transmembrane protein, androgen induced 1, Solid tumor-associated 1 protein, STAG1prostate androgen induced RNA, transmembrane prostate androgen-induced protein

Gene Symbol

PMEPA1

Additional TMEPAI Products

Product Documents for TMEPAI Antibody - BSA Free

Certificate of Analysis

To download a Certificate of Analysis, please enter a lot number in the search box below.

Product Specific Notices for TMEPAI Antibody - BSA Free

This product is for research use only and is not approved for use in humans or in clinical diagnosis. Primary Antibodies are guaranteed for 1 year from date of receipt.

Loading...
Loading...
Loading...
Loading...