Skip to main content

TMEM72 Antibody - BSA Free

Novus Biologicals, part of Bio-Techne | Catalog # NBP1-90808

Novus Biologicals, part of Bio-Techne
Catalog #
Availability
Size / Price
Qty
Loading...
NBP1-90808-25ul
NBP1-90808

Key Product Details

Validated by

Orthogonal Validation, Independent Antibodies

Species Reactivity

Human

Applications

Immunohistochemistry, Immunohistochemistry-Paraffin

Label

Unconjugated

Antibody Source

Polyclonal Rabbit IgG

Format

BSA Free

Concentration

Concentrations vary lot to lot. See vial label for concentration. If unlisted please contact technical services.

Product Specifications

Immunogen

This antibody was developed against Recombinant Protein corresponding to amino acids: KRKKRKAAPEVLASPEQYTDPSSSAVSTTGSGDTEQTYTFHGALKEGPSSLFIHMKSILKGTKKPSA

Reactivity Notes

Immunogen displays the following percentage of sequence identity for non-tested species: Mouse (82%), Rat (81%). Reactivity reported in scientific literature (PMID: 24309898)

Clonality

Polyclonal

Host

Rabbit

Isotype

IgG

Scientific Data Images for TMEM72 Antibody - BSA Free

Immunohistochemistry-Paraffin: TMEM72 Antibody [NBP1-90808]

Immunohistochemistry-Paraffin: TMEM72 Antibody [NBP1-90808]

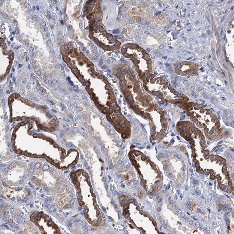
Immunohistochemistry-Paraffin: TMEM72 Antibody [NBP1-90808] - Analysis in human kidney and liver tissues using NBP1-90808 antibody. Corresponding TMEM72 RNA-seq data are presented for the same tissues.
Immunohistochemistry-Paraffin: TMEM72 Antibody [NBP1-90808]

Immunohistochemistry-Paraffin: TMEM72 Antibody [NBP1-90808]

Immunohistochemistry-Paraffin: TMEM72 Antibody [NBP1-90808] - Staining of human cerebral cortex, colon, kidney and lymph node using Anti-TMEM72 antibody NBP1-90808 (A) shows similar protein distribution across tissues to independent antibody NBP2-49377 (B).
Immunohistochemistry-Paraffin: TMEM72 Antibody [NBP1-90808]

Immunohistochemistry-Paraffin: TMEM72 Antibody [NBP1-90808]

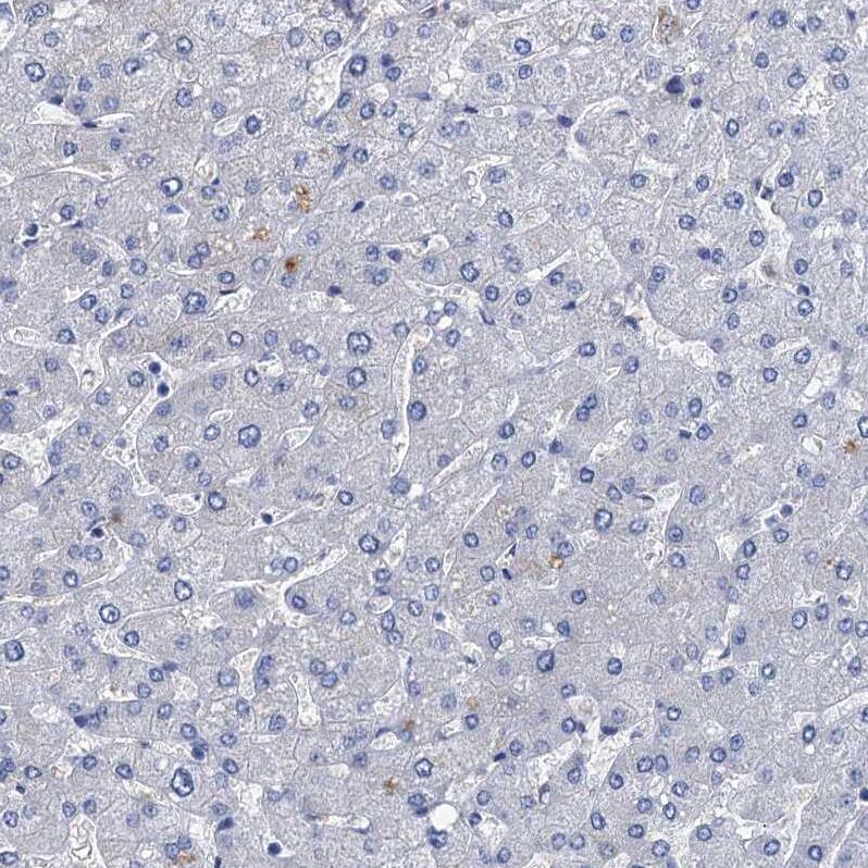
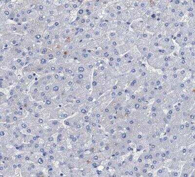
Immunohistochemistry-Paraffin: TMEM72 Antibody [NBP1-90808] - Staining of human liver shows no positivity in hepatocytes as expected.

Applications for TMEM72 Antibody - BSA Free

Application
Recommended Usage

Immunohistochemistry

1:200 - 1:500

Immunohistochemistry-Paraffin

1:200 - 1:500
Application Notes
For IHC-Paraffin, HIER pH 6 retrieval is recommended.

Reviewed Applications

Read 1 review rated 5 using NBP1-90808 in the following applications:

Formulation, Preparation, and Storage

Purification

Affinity purified

Formulation

PBS (pH 7.2) and 40% Glycerol

Format

BSA Free

Preservative

0.02% Sodium Azide

Concentration

Concentrations vary lot to lot. See vial label for concentration. If unlisted please contact technical services.

Shipping

The product is shipped with polar packs. Upon receipt, store it immediately at the temperature recommended below.

Stability & Storage

Store at 4C short term. Aliquot and store at -20C long term. Avoid freeze-thaw cycles.

Background: TMEM72

Alternate Names

bA285G1.3, C10orf127, DKFZp686M0585, kidney-specific secretory protein of 37 kDa, KSP37, MGC157906, transmembrane protein 72

Gene Symbol

TMEM72

Additional TMEM72 Products

Product Documents for TMEM72 Antibody - BSA Free

Certificate of Analysis

To download a Certificate of Analysis, please enter a lot number in the search box below.

Product Specific Notices for TMEM72 Antibody - BSA Free

This product is for research use only and is not approved for use in humans or in clinical diagnosis. Primary Antibodies are guaranteed for 1 year from date of receipt.

Loading...
Loading...
Loading...
Loading...