Skip to main content

TMEM120B Antibody - BSA Free

Novus Biologicals, part of Bio-Techne | Catalog # NBP3-45220

Novus Biologicals, part of Bio-Techne
Catalog #
Availability
Size / Price
Qty
Loading...
NBP3-45220

Key Product Details

Species Reactivity

Human, Mouse

Applications

ELISA, Immunohistochemistry, Western Blot

Label

Unconjugated

Antibody Source

Polyclonal Rabbit IgG

Format

BSA Free

Concentration

Please see the vial label for concentration. If unlisted please contact technical services.

Product Specifications

Immunogen

transmembrane protein 120B. (Uniprot# A0PK00)

Clonality

Polyclonal

Host

Rabbit

Isotype

IgG

Theoretical MW

50 kDa.
Disclaimer note: The observed molecular weight of the protein may vary from the listed predicted molecular weight due to post translational modifications, post translation cleavages, relative charges, and other experimental factors.

Description

Novus Biologicals Rabbit TMEM120B Antibody - BSA Free (NBP3-45220) is a polyclonal antibody validated for use in IHC, WB and ELISA. All Novus Biologicals antibodies are covered by our 100% guarantee.

Scientific Data Images for TMEM120B Antibody - BSA Free

TMEM120B Antibody - BSA Free

Western Blot: TMEM120B Antibody - BSA Free [NBP3-45220] -

Western Blot: TMEM120B Antibody - BSA Free [NBP3-45220] - Mouse cerebellum tissue were subjected to SDS PAGE followed by western blot with (TMEM120B Antibody) at dilution of 1:600
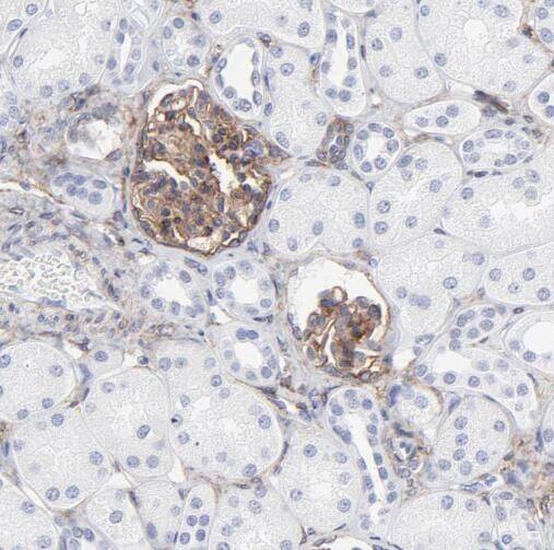
TMEM120B Antibody - BSA Free

Immunohistochemistry: TMEM120B Antibody - BSA Free [NBP3-45220] -

Immunohistochemistry: TMEM120B Antibody - BSA Free [NBP3-45220] - Immunohistochemistry of paraffin-embedded human kidney tissue slide using (TMEM120B Antibody) at dilution of 1:50

Applications for TMEM120B Antibody - BSA Free

Application
Recommended Usage

Immunohistochemistry

1:20-1:200

Western Blot

1:500-1:2000

Formulation, Preparation, and Storage

Purification

Immunogen affinity purified

Formulation

PBS, 50% Glycerol, pH (7.3)

Format

BSA Free

Preservative

0.02% Sodium Azide

Concentration

Please see the vial label for concentration. If unlisted please contact technical services.

Shipping

The product is shipped with polar packs. Upon receipt, store it immediately at the temperature recommended below.

Stability & Storage

Store at -20C. Avoid freeze-thaw cycles.

Background: TMEM120B

Alternate Names

transmembrane protein 120B

Gene Symbol

TMEM120B

Additional TMEM120B Products

Product Documents for TMEM120B Antibody - BSA Free

Certificate of Analysis

To download a Certificate of Analysis, please enter a lot number in the search box below.

Product Specific Notices for TMEM120B Antibody - BSA Free

This product is for research use only and is not approved for use in humans or in clinical diagnosis. Primary Antibodies are guaranteed for 1 year from date of receipt.

Loading...
Loading...
Loading...
Loading...