Skip to main content

TLR3 Antibody (40C1285.6) - Azide and BSA Free

Novus Biologicals, part of Bio-Techne | Catalog # NBP2-33263

Novus Biologicals, part of Bio-Techne
Catalog #
Availability
Size / Price
Qty
Loading...
NBP2-33263

Key Product Details

Species Reactivity

Human, Mouse, Canine

Applications

Immunohistochemistry, Immunohistochemistry-Paraffin, Western Blot, Flow Cytometry, Immunocytochemistry/ Immunofluorescence

Label

Unconjugated

Antibody Source

Monoclonal Mouse IgG1 kappa Clone # 40C1285.6

Format

Azide and BSA Free

Concentration

Please see the vial label for concentration. If unlisted please contact technical services.

Product Specifications

Immunogen

A synthetic peptide corresponding to amino acids 55-85 of human TLR3 was used as immunogen.

Clonality

Monoclonal

Host

Mouse

Isotype

IgG1 kappa

Description

Novus Biologicals Mouse TLR3 Antibody (40C1285.6) - Azide and BSA Free (NBP2-24875) is a monoclonal antibody validated for use in IHC, WB, Flow and ICC/IF. All Novus Biologicals antibodies are covered by our 100% guarantee.

Scientific Data Images for TLR3 Antibody (40C1285.6) - Azide and BSA Free

Western Blot: TLR3 Antibody (40C1285.6)Azide Free [NBP2-33263]

Western Blot: TLR3 Antibody (40C1285.6)Azide Free [NBP2-33263]

Western Blot: TLR3 Antibody (40C1285.6) - Azide Free [NBP2-33263] - HEK293T cells were transfected with TLR3, TLR3-9-3 and TLR3-3-9. Western blot was performed using anti-TLR3 or anti-HA antibodies. Anti-Beta-actin antibodies were used as a loading control. The representative data from three experiments are shown. Image collected and cropped by CiteAb from the following publication (//doi.org/10.1371/journal.pone.0092391) licensed under a CC-BY license. Image from the standard format of this antibody.
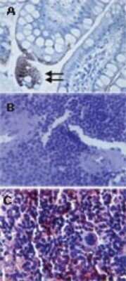
Immunohistochemistry: TLR3 Antibody (40C1285.6) - Azide Free [NBP2-33263]

Immunohistochemistry: TLR3 Antibody (40C1285.6) - Azide Free [NBP2-33263]

Immunohistochemistry: TLR3 Antibody (40C1285.6) - Azide Free [NBP2-33263] - Tissue section of mouse intestine using TLR3 antibody (clone 40C1285.6) at 1:500 dilution with HRP-DAB detection and hematoxylin counterstaining. The representative image shows a punctate staining of the ER and endosomes in a subset of cells in Peyer's pa
Flow Cytometry: TLR3 Antibody (40C1285.6) - Azide Free [NBP2-33263]

Flow Cytometry: TLR3 Antibody (40C1285.6) - Azide Free [NBP2-33263]

Flow Cytometry: TLR3 Antibody (40C1285.6) - Azide Free [NBP2-33263] - Expression of TLR3 in Fravel, L363, OPM1, RPMI8226, XG1, and NCI-H929 as determined by flow cytometry. HCMLs were stained using an intracellular staining protocol with TLR3 antibodies followed by relevant secondary fluorescent-conjugated antibodies. Filled histograms (purple) represent the isotype controls and the open histograms (red) indicate TLR3. Data are representative for analysis of >=2 independent experiments. Image collected and cropped by CiteAb from the following publication (//doi.org/10.1371/journal.pone.0060671) licensed under a CC-BY license. Image from the standard format of this antibody.

Applications for TLR3 Antibody (40C1285.6) - Azide and BSA Free

Application
Recommended Usage

Immunocytochemistry/ Immunofluorescence

1:10-1:500

Immunohistochemistry

1:10-1:500

Immunohistochemistry-Paraffin

1:10-1:500

Western Blot

1-3 ug/ml

Formulation, Preparation, and Storage

Purification

Protein G purified

Formulation

PBS

Format

Azide and BSA Free

Preservative

No Preservative

Concentration

Please see the vial label for concentration. If unlisted please contact technical services.

Shipping

The product is shipped with polar packs. Upon receipt, store it immediately at the temperature recommended below.

Stability & Storage

Store at 4C short term. Aliquot and store at -20C long term. Avoid freeze-thaw cycles.

Background: TLR3

Toll-like receptor 3 (TLR3) is a type I transmembrane glycoprotein that contributes to the innate immune response, recognizing distinct pathogen-associate molecular patterns (PAMPs) and damage-associate molecular patterns (DAMPs) (1,2). The TLR family member TLR3 specifically recognizes and binds double-stranded RNA (dsRNA) from viruses and the synthetic analog polyriboinosinic:polyribocytidylic acid (poly(I:C)) (1-5). TLR3 is typically expressed in the endosomes of innate immune cells including macrophages, natural killer (NK) cells, and dendritic cells (DCs) (1-5). TLR3 is also localized on the cell surface of fibroblasts, epithelial cells, and vascular endothelial cells (1-5). The human TLR3 protein is 904 amino acids (aa) in length with a theoretical molecular weight (MW) of 104 kDa (6). It consists of a 23 aa signal sequence, a horseshoe-shaped 681 aa extracellular domain (ECD) containing 23 leucine-rich repeats (LRRs), a 21 aa helical transmembrane domain, and a 179 aa cytoplasmic region containing a Toll/IL-1 receptor (TIR) domain (1,6). Upon ligand binding, TLR3-ECD dimerizes and the adapter protein TIR-domain-containing adapter inducing interferon-beta (TRIF/TICAM1) is recruited (1-5). TRIF interacts with tumor necrosis factor receptor-associated factor 3 (TRAF3) and TRAF6 and results in a signal transduction cascade involving activation of transcription factors interferon regulatory factor 3 (IRF3), IRF7, nuclear factor-kappaB (NF-kappaB), and activation protein-1 (AP-1) (1-5). Transcription factors translocate to the nucleus, driving type I interferon (IFN) production, secretion of pro-inflammatory cytokines, and tumor regression (1-5). Furthermore, TRIF can also interact with receptor-interacting serine-threonine kinase 1 (RIP1) and RIP3 leading to reactive oxygen species (ROS) production and apoptosis (1,2,5). Conversely, NF-kappaB transcription can also promote chemokine production and promote the WNT pathway associated with stemness and pro-tumorigenic properties (1,5).

Given the role of TLR3 in immune response, its expression or dysfunction has been associated with a number of pathologies from chronic inflammation to autoimmune disorders and cancer (1-5,7). TLR3 is expressed in many cancer types, often related to viral infection, such as cervical cancer, hepatocellular carcinoma (HCC), melanoma, breast cancer, and prostate cancer (1,5). TLR3 signaling has a dual role in cancer, either contributing to pro- or anti-tumor properties depending on the type of cancer (1,5). Therapeutic targeting the TLR3 signaling pathway is under investigation. TLR3 inhibitors or antagonists are being studied for the treatment autoimmune and inflammatory disorders such as of sepsis and atherosclerosis (2,8). TLR3 agonists, either alone or in combination with immune checkpoint inhibitors or therapeutic agents, are being studied as immunotherapeutic treatments of many cancers such as colorectal cancer, prostate cancer, and melanoma (7).

References

1. Zheng X, Li S, Yang H. Roles of Toll-Like Receptor 3 in Human Tumors. Front Immunol. 2021;12:667454. https://doi.org/10.3389/fimmu.2021.667454

2. Zhuang C, Chen R, Zheng Z, Lu J, Hong C. Toll-Like Receptor 3 in Cardiovascular Diseases. Heart Lung Circ. 2022;S1443-9506(22)00080-4. https://doi.org/10.1016/j.hlc.2022.02.012

3. Bianchi F, Pretto S, Tagliabue E, Balsari A, Sfondrini L. Exploiting poly(I:C) to induce cancer cell apoptosis. Cancer Biol Ther. 2017;18(10):747-756. https://doi.org/10.1080/15384047.2017.1373220

4. Matsumoto M, Seya T. TLR3: interferon induction by double-stranded RNA including poly(I:C). Adv Drug Deliv Rev. 2008;60(7):805-812. https://doi.org/10.1016/j.addr.2007.11.005

5. Muresan XM, Bouchal J, Culig Z, Soucek K. Toll-Like Receptor 3 in Solid Cancer and Therapy Resistance. Cancers (Basel). 2020;12(11):3227. https://doi.org/10.3390/cancers12113227

6. Uniprot (O15455)

7. Le Naour J, Galluzzi L, Zitvogel L, Kroemer G, Vacchelli E. Trial watch: TLR3 agonists in cancer therapy. Oncoimmunology. 2020;9(1):1771143. https://doi.org/10.1080/2162402X.2020.1771143

8. Gao W, Xiong Y, Li Q, Yang H. Inhibition of Toll-Like Receptor Signaling as a Promising Therapy for Inflammatory Diseases: A Journey from Molecular to Nano Therapeutics. Front Physiol. 2017;8:508. https://doi.org/10.3389/fphys.2017.00508

Long Name

Toll-like Receptor 3

Alternate Names

CD283

Gene Symbol

TLR3

Additional TLR3 Products

Product Documents for TLR3 Antibody (40C1285.6) - Azide and BSA Free

Certificate of Analysis

To download a Certificate of Analysis, please enter a lot number in the search box below.

Product Specific Notices for TLR3 Antibody (40C1285.6) - Azide and BSA Free

This product is for research use only and is not approved for use in humans or in clinical diagnosis. Primary Antibodies are guaranteed for 1 year from date of receipt.

Loading...
Loading...
Loading...
Loading...
Loading...