Skip to main content

TLR2 Antibody - BSA Free

Novus Biologicals, part of Bio-Techne | Catalog # NB100-56720

Novus Biologicals, part of Bio-Techne
Catalog #
Availability
Size / Price
Qty
Loading...
NB100-56720
NB100-56720SS

Key Product Details

Validated by

Biological Validation

Species Reactivity

Validated:

Human, Mouse

Cited:

Human, Mouse

Applications

Validated:

Immunohistochemistry, Immunohistochemistry-Paraffin, Western Blot, Flow Cytometry, Immunocytochemistry/ Immunofluorescence, Immunoprecipitation

Cited:

Immunohistochemistry-Paraffin, Western Blot, Flow Cytometry, Immunocytochemistry/ Immunofluorescence, Immunoprecipitation

Label

Unconjugated

Antibody Source

Polyclonal Rabbit IgG

Format

BSA Free

Concentration

1.0 mg/ml

Product Specifications

Immunogen

This antibody was developed against a mixture of two synthetic peptides found between amino acids 150-200 and 300-400 of human TLR2 (NP_003255).

Clonality

Polyclonal

Host

Rabbit

Isotype

IgG

Theoretical MW

89 kDa.
Disclaimer note: The observed molecular weight of the protein may vary from the listed predicted molecular weight due to post translational modifications, post translation cleavages, relative charges, and other experimental factors.

Description

Novus Biologicals Rabbit TLR2 Antibody - BSA Free (NB100-56720) is a polyclonal antibody validated for use in IHC, WB, Flow, ICC/IF and IP. Anti-TLR2 Antibody: Cited in 20 publications. All Novus Biologicals antibodies are covered by our 100% guarantee.

Scientific Data Images for TLR2 Antibody - BSA Free

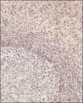
Immunohistochemistry: TLR2 Antibody [NB100-56720]

Immunohistochemistry: TLR2 Antibody [NB100-56720]

TLR2-Antibody-Immunohistochemistry-NB100-56720-img0006.jpg
Western Blot: TLR2 Antibody [NB100-56720]

Western Blot: TLR2 Antibody [NB100-56720]

Western Blot: TLR2 Antibody [NB100-56720] - Analysis using the Azide Free version of NB100-56720. Detection of TLR2 in transfected cell lysate using this antibody.
Immunohistochemistry-Paraffin: TLR2 Antibody [NB100-56720]

Immunohistochemistry-Paraffin: TLR2 Antibody [NB100-56720]

Immunohistochemistry-Paraffin: TLR2 Antibody [NB100-56720] - Analysis of mouse pancreas tissue using an isotype control (top) and this antibody (bottom) at 5 ug/ml.

Applications for TLR2 Antibody - BSA Free

Application
Recommended Usage

Flow Cytometry

reported in scientific literature (PMID 31285077)

Immunocytochemistry/ Immunofluorescence

reported in scientific literature (PMID 30618413)

Immunohistochemistry

1:10-1:500

Immunohistochemistry-Paraffin

1:10-1:500

Immunoprecipitation

reported in scientific literature (PMID 31383741)

Western Blot

1-3 ug/ml
Application Notes
In transfected human TLR2 cell lysate, a 90 kDa band is observed. This has also been reported to work well in bronchial epithelial cells (UBH16E) and THP-1 cells.

Reviewed Applications

Read 1 review rated 5 using NB100-56720 in the following applications:

Formulation, Preparation, and Storage

Purification

Protein G purified

Formulation

PBS

Format

BSA Free

Preservative

0.05% Sodium Azide

Concentration

1.0 mg/ml

Shipping

The product is shipped with polar packs. Upon receipt, store it immediately at the temperature recommended below.

Stability & Storage

Store at 4C short term. Aliquot and store at -20C long term. Avoid freeze-thaw cycles.

Background: TLR2

The Toll-like receptor (TLR) family in mammals comprises a set of transmembrane proteins characterized by multiple copies of leucine rich repeats in the extracellular domain, and in the IL-1 receptor motif in the cytoplasmic domain. Like its counterparts in Drosophila, TLRs signal through adaptor molecules. The TLR family is a phylogenetically conserved mediator of innate immunity that is essential for microbial recognition. Ten human homologs of TLRs (TLR1-10) have been described. TLR2 is differentially expressed in human cells. TLR2 is expressed in tonsils, lymph nodes, and appendices, activated B-cells in germinal centers. CD14+ monocytes expressed the highest level of TLR2 followed by CD15+ granulocytes, and CD19+ B-cells, CD3+ T-cells, and CD56+ NK cells did not express TLR2. The expression of TLR2 on different cell types are regulated by different immune response modifiers. For example, LPS, GM-CSF, IL-1, and IL-10 up regulates TLR2 whereas IL-4, IFN-gamma, and TNF down regulate TLR2 expression in monocytes.

Long Name

Toll-like Receptor 2

Alternate Names

CD282

Entrez Gene IDs

7097 (Human); 24088 (Mouse)

Gene Symbol

TLR2

UniProt

Additional TLR2 Products

Product Documents for TLR2 Antibody - BSA Free

Certificate of Analysis

To download a Certificate of Analysis, please enter a lot number in the search box below.

Product Specific Notices for TLR2 Antibody - BSA Free

This product is for research use only and is not approved for use in humans or in clinical diagnosis. Primary Antibodies are guaranteed for 1 year from date of receipt.

Loading...
Loading...
Loading...
Loading...
Loading...