Skip to main content

TLE2 Antibody (OTI5A6)

Novus Biologicals, part of Bio-Techne | Catalog # NBP2-01733

Novus Biologicals, part of Bio-Techne
Catalog #
Availability
Size / Price
Qty
Loading...
NBP2-01733

Key Product Details

Species Reactivity

Human, Mouse, Rat

Applications

Flow Cytometry, Immunocytochemistry/ Immunofluorescence, Immunohistochemistry, Immunohistochemistry-Paraffin, Western Blot

Label

Unconjugated

Antibody Source

Monoclonal Mouse IgG1 Clone # OTI5A6

Concentration

0.85 mg/ml

Product Specifications

Immunogen

Full length human recombinant protein of human TLE2(NP_003251) produced in HEK293T cell.

Reactivity Notes

Please note that this antibody is reactive to Mouse and derived from the same host, Mouse. Mouse-On-Mouse blocking reagent may be needed for IHC and ICC experiments to reduce high background signal. You can find these reagents under catalog numbers PK-2200-NB and MP-2400-NB. Please contact Technical Support if you have any questions.

Clonality

Monoclonal

Host

Mouse

Isotype

IgG1

Theoretical MW

79.7 kDa.
Disclaimer note: The observed molecular weight of the protein may vary from the listed predicted molecular weight due to post translational modifications, post translation cleavages, relative charges, and other experimental factors.

Description

Novus Biologicals Mouse TLE2 Antibody (OTI5A6) (NBP2-01733) is a monoclonal antibody validated for use in IHC, WB, Flow and ICC/IF. All Novus Biologicals antibodies are covered by our 100% guarantee.

Scientific Data Images for TLE2 Antibody (OTI5A6)

Western Blot: TLE2 Antibody (OTI5A6) [NBP2-01733]

Western Blot: TLE2 Antibody (OTI5A6) [NBP2-01733]

Western Blot: TLE2 Antibody (OTI5A6) [NBP2-01733] - HEK293T cells were transfected with the pCMV6-ENTRY control (Left lane) or pCMV6-ENTRY TLE2 (Right lane) cDNA for 48 hrs and lysed. Equivalent amounts of cell lysates (5 ug per lane) were separated by SDS-PAGE and immunoblotted with anti-TLE2.
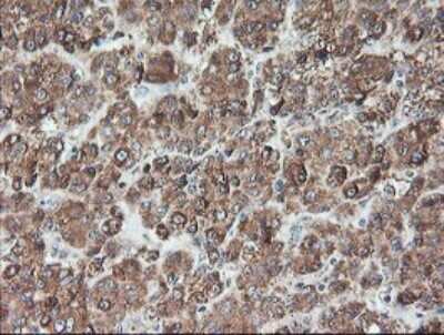
Immunohistochemistry-Paraffin: TLE2 Antibody (OTI5A6) [NBP2-01733]

Immunohistochemistry-Paraffin: TLE2 Antibody (OTI5A6) [NBP2-01733]

Immunohistochemistry-Paraffin: TLE2 Antibody (OTI5A6) [NBP2-01733] - Staining of paraffin-embedded Human pancreas tissue within the normal limits using anti-TLE2 mouse monoclonal antibody.
Flow Cytometry: TLE2 Antibody (OTI5A6) [NBP2-01733]

Flow Cytometry: TLE2 Antibody (OTI5A6) [NBP2-01733]

Flow Cytometry: TLE2 Antibody (OTI5A6) [NBP2-01733] - HEK293T cells transfected with either overexpression plasmid (Red) or empty vector control plasmid (Blue) were immunostained by anti-TLE2 antibody, and then analyzed by flow cytometry.

Applications for TLE2 Antibody (OTI5A6)

Application
Recommended Usage

Flow Cytometry

1:100

Immunocytochemistry/ Immunofluorescence

1:100

Western Blot

1:2000

Formulation, Preparation, and Storage

Purification

Immunogen affinity purified

Formulation

PBS (pH 7.3), 1.0% BSA and 50% Glycerol

Preservative

0.02% Sodium Azide

Concentration

0.85 mg/ml

Shipping

The product is shipped with polar packs. Upon receipt, store it immediately at the temperature recommended below.

Stability & Storage

Store at -20C. Avoid freeze-thaw cycles.

Background: TLE2

Transcriptional corepressor that binds to a number of transcription factors. Inhibits the transcriptional activation mediated by CTNNB1 and TCF family members in Wnt signaling. The effects of full-length TLE family members may be modulated by association with dominant-negative AES

Long Name

Transducin-like Enhancer of Split 2

Alternate Names

ESG2, GRG2

Entrez Gene IDs

7089 (Human)

Gene Symbol

TLE2

Additional TLE2 Products

Product Documents for TLE2 Antibody (OTI5A6)

Certificate of Analysis

To download a Certificate of Analysis, please enter a lot number in the search box below.

Product Specific Notices for TLE2 Antibody (OTI5A6)

This product is for research use only and is not approved for use in humans or in clinical diagnosis. Primary Antibodies are guaranteed for 1 year from date of receipt.

Loading...
Loading...
Loading...
Loading...
Loading...