Skip to main content

TIM-3 Antibody (TIM3/3113)

Novus Biologicals, part of Bio-Techne | Catalog # NBP2-79702

Novus Biologicals, part of Bio-Techne
Catalog #
Availability
Size / Price
Qty
Loading...
NBP2-79702-100ug
NBP2-79702-20ug

Key Product Details

Species Reactivity

Human

Applications

Immunohistochemistry, Immunohistochemistry-Paraffin, ELISA, Protein Array

Label

Unconjugated

Antibody Source

Monoclonal Mouse IgG2a Kappa Clone # TIM3/3113

Concentration

0.2 mg/ml

Product Specifications

Immunogen

Recombinant fragment of human TIM-3 protein (around aa 22-202) (exact sequence is proprietary) (Uniprot: Q8TDQ0)

Localization

Cell Surface

Marker

Effector T-Cell Marker

Clonality

Monoclonal

Host

Mouse

Isotype

IgG2a Kappa

Theoretical MW

60 kDa.
Disclaimer note: The observed molecular weight of the protein may vary from the listed predicted molecular weight due to post translational modifications, post translation cleavages, relative charges, and other experimental factors.

Description

200ug/ml of antibody purified from Bioreactor Concentrate by Protein A or G. Prepared in 10 mM PBS with 0.05% BSA & 0.05% azide. Also available WITHOUT BSA & azide at 1.0 mg/ml. (NBP2-79836)

Antibody with azide - store at 2 to 8C. Antibody without azide - store at -20 to -80C.

Scientific Data Images for TIM-3 Antibody (TIM3/3113)

Immunohistochemistry-Paraffin: TIM-3 Antibody (TIM3/3113) [NBP2-79702]

Immunohistochemistry-Paraffin: TIM-3 Antibody (TIM3/3113) [NBP2-79702]

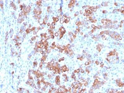
Immunohistochemistry-Paraffin: TIM-3 Antibody (TIM3/3113) [NBP2-79702] - Formalin-fixed, paraffin-embedded human Tonsil stained with TIM-3 Antibody (TIM3/3113).
Immunohistochemistry-Paraffin: TIM-3 Antibody (TIM3/3113) [NBP2-79702]

Immunohistochemistry-Paraffin: TIM-3 Antibody (TIM3/3113) [NBP2-79702]

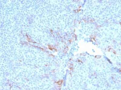
Immunohistochemistry-Paraffin: TIM-3 Antibody (TIM3/3113) [NBP2-79702] - Formalin-fixed, paraffin-embedded human Adrenal stained with TIM-3 Antibody (TIM3/3113).
Immunohistochemistry-Paraffin: TIM-3 Antibody (TIM3/3113) [NBP2-79702]

Immunohistochemistry-Paraffin: TIM-3 Antibody (TIM3/3113) [NBP2-79702]

Immunohistochemistry-Paraffin: TIM-3 Antibody (TIM3/3113) [NBP2-79702] - Formalin-fixed, paraffin-embedded human Tonsil stained with TIM-3 Antibody (TIM3/3113).

Applications for TIM-3 Antibody (TIM3/3113)

Application
Recommended Usage

Immunohistochemistry

1-2 ug/ml

Immunohistochemistry-Paraffin

1-2 ug/ml
Application Notes
ELISA: For coating, order antibody without BSA).
Immunohistochemistry (Formalin-fixed): 1-2ug/ml for 30 min at RT. Staining of formalin-fixed tissues requires heating tissue sections in 10mM Tris with 1mM EDTA, pH 9.0, for 45 min at 95C followed by cooling at RT for 20 minutes.
Optimal dilution for a specific application should be determined.

Formulation, Preparation, and Storage

Purification

Protein A or G purified

Formulation

10 mM PBS with 0.05% BSA

Preservative

0.05% Sodium Azide

Concentration

0.2 mg/ml

Shipping

The product is shipped with polar packs. Upon receipt, store it immediately at the temperature recommended below.

Stability & Storage

Store at 4C.

Background: TIM-3

T cell immunoglobulin and mucin-domain containing 3 (TIM-3) is a type I transmembrane protein that functions in suppressing immune cell responses and is considered a checkpoint receptor (1,2). TIM-3 is an inhibitory receptor that was first identified as a cell marker for interferon-gamma (IFN-gamma)-producing CD4+ T helper (Th1) and CD8+ T cytotoxic (Tc1) cells (1,2). TIM-3 is also expressed on other immune cell types: regulatory T cells (Treg), natural killer (NK) cells, macrophages, and dendritic cells (DCs), as well as leukemia stem cells (LSCs) (1-3). Human TIM-3 protein is 301 amino acids (aa) in length with a theoretical molecular weight (MW) of 33.4 kDa and shares ~63% aa sequence identity with mouse TIM-3 (2,4). The TIM-3 protein has an extracellular IgV domain, a mucin and stalk domain with O- and N-glycosylation sites, a transmembrane domain, and an intracellular tail with conserved tyrosine residues (2,3). Ligands for TIM-3 include soluble galectin-9, high-mobility group protein B1 (HMGB1), phosphatidylserine (PtdSer), and carcinoembyronic antigen-related cell adhesion molecule-1 (CEACAM-1) (1-3,5). Each of these ligands interact with different regions of the TIM-3 IgV domain. In the absence of ligand binding, the unphosphorylated intracellular tyrosine residues of TIM-3 are associated with HLA-B associated transcript 3 (Bat3), which recruits Lck and this Bat3-Lck complex preserves T cell signaling (1-3,5). When TIM-3 is engaged, an intracellular signaling cascade is initiated to inhibit immune cell activation. (1-3,5). Specifically, the tyrosine residues of TIM-3 are phosphorylated, Bat3 is released, and this results in suppression of immune responses (1-3, 5). Persistent, sustained TIM-3 signaling eventually results in T cell exhaustion (1-3,5).

Dysregulation of TIM-3 expression is associated with autoimmune diseases as shown by studies where inhibition of TIM-3 using blocking antibodies worsened disease progression in experimental autoimmune encephalomyelitis (EAE) models of multiple sclerosis (MS) (2,3,5). Conversely, high levels of TIM-3 have been shown during viral infection as well as in many cancer types where its increased expression may be an indicator of poor prognosis (2,3,5). TIM-3 has emerged as a potential cancer immunotherapy target as preclinical studies blocking TIM-3 results in increased anti-tumor immunity and prevents tumor growth (3,5). Studies have suggested combination therapy of TIM-3 blockade with blockade of other checkpoint inhibitors such as programmed death 1 (PD-1) or lymphocyte activation gene 3 (LAG-3) is more effective than TIM-3 blockade alone (3,5).

References

1. Acharya N, Sabatos-Peyton C, Anderson AC. Tim-3 finds its place in the cancer immunotherapy landscape. J Immunother Cancer. 2020; 8(1):e000911. https://doi.org/10.1136/jitc-2020-000911

2. Das M, Zhu C, Kuchroo VK. Tim-3 and its role in regulating anti-tumor immunity. Immunol Rev. 2017; 276(1):97-111. https://doi.org/10.1111/imr.12520

3. Joller N, Kuchroo VK. Tim-3, Lag-3, and TIGIT. Curr Top Microbiol Immunol. 2017; 410:127-156. https://doi.org/10.1007/82_2017_62

4. Uniprot (Q8TDQ0)

5. Wolf Y, Anderson AC, Kuchroo VK. TIM3 comes of age as an inhibitory receptor. Nat Rev Immunol. 2020; 20(3):173-185. https://doi.org/10.1038/s41577-019-0224-6

Long Name

T Cell Immunoglobulin Mucin-3

Alternate Names

CD366, HAVcr-2, HAVCR2, KIM-3, SPTCL, TIM3, TIMD3

Gene Symbol

HAVCR2

UniProt

Additional TIM-3 Products

Product Documents for TIM-3 Antibody (TIM3/3113)

Certificate of Analysis

To download a Certificate of Analysis, please enter a lot number in the search box below.

Product Specific Notices for TIM-3 Antibody (TIM3/3113)

This product is for research use only and is not approved for use in humans or in clinical diagnosis. Primary Antibodies are guaranteed for 1 year from date of receipt.

Loading...
Loading...
Loading...
Loading...