Skip to main content

Thyroid Peroxidase Antibody (3C4A4)

Novus Biologicals, part of Bio-Techne | Catalog # NBP3-33200

Novus Biologicals, part of Bio-Techne
Catalog #
Availability
Size / Price
Qty
Loading...
NBP3-33200-100ul
NBP3-33200-20ul

Key Product Details

Species Reactivity

Human, Mouse, Rat

Applications

Immunohistochemistry, Immunohistochemistry-Paraffin, ELISA

Label

Unconjugated

Antibody Source

Monoclonal Rabbit IgG Clone # 3C4A4

Concentration

Please see the vial label for concentration. If unlisted please contact technical services.

Product Specifications

Immunogen

A synthetic peptide corresponding to a sequence within amino acids 1-100 of human Thyroid Peroxidase (P07202).

Sequence:
MRALAVLSVTLVMACTEAFFPFISRGKELLWGKPEESRVSSVLEESKRLVDTAMYATMQRNLKKRGILSPAQLLSFSKLPEPTSGVIARAAEIMETSIQA

Clonality

Monoclonal

Host

Rabbit

Isotype

IgG

Theoretical MW

103 kDa.
Disclaimer note: The observed molecular weight of the protein may vary from the listed predicted molecular weight due to post translational modifications, post translation cleavages, relative charges, and other experimental factors.

Description

Novus Biologicals Rabbit Thyroid Peroxidase Antibody (3C4A4) (NBP3-33200) is a monoclonal antibody validated for use in IHC and ELISA. All Novus Biologicals antibodies are covered by our 100% guarantee.

Scientific Data Images for Thyroid Peroxidase Antibody (3C4A4)

Thyroid Peroxidase Antibody (3C4A4)

Immunohistochemistry: Thyroid Peroxidase Antibody (3C4A4) [NBP3-33200] -

Immunohistochemistry: Thyroid Peroxidase Antibody (3C4A4) [NBP3-33200] - Immunohistochemistry analysis of paraffin-embedded Rat thyroid using Thyroid Peroxidase Rabbit mAb at dilution of 1:100 (40x lens). Microwave antigen retrieval performed with 0.01M Tris/EDTA Buffer (pH 9.0) prior to IHC staining.
Thyroid Peroxidase Antibody (3C4A4)

Immunohistochemistry: Thyroid Peroxidase Antibody (3C4A4) [NBP3-33200] -

Immunohistochemistry: Thyroid Peroxidase Antibody (3C4A4) [NBP3-33200] - Immunohistochemistry analysis of paraffin-embedded Mouse thyroid using Thyroid Peroxidase Rabbit mAb at dilution of 1:100 (40x lens). Microwave antigen retrieval performed with 0.01M Tris/EDTA Buffer (pH 9.0) prior to IHC staining.
Thyroid Peroxidase Antibody (3C4A4)

Immunohistochemistry: Thyroid Peroxidase Antibody (3C4A4) [NBP3-33200] -

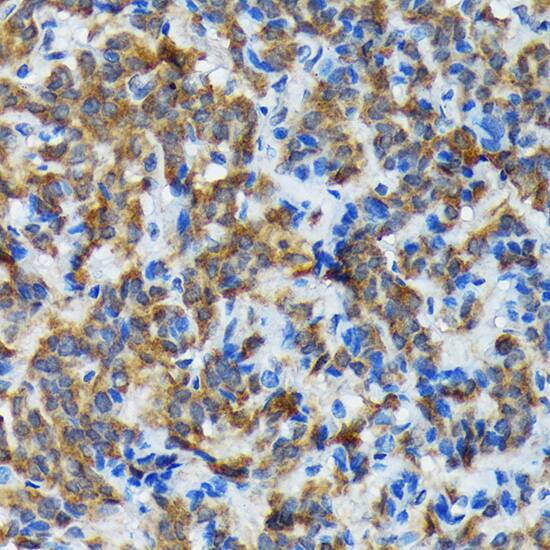
Immunohistochemistry: Thyroid Peroxidase Antibody (3C4A4) [NBP3-33200] - Immunohistochemistry analysis of paraffin-embedded Human thyroid cancer using Thyroid Peroxidase Rabbit mAb at dilution of 1:100 (40x lens). Microwave antigen retrieval performed with 0.01M Tris/EDTA Buffer (pH 9.0) prior to IHC staining.

Applications for Thyroid Peroxidase Antibody (3C4A4)

Application
Recommended Usage

ELISA

Recommended starting concentration is 1 ug/mL

Immunohistochemistry-Paraffin

1:50 - 1:200

Formulation, Preparation, and Storage

Purification

Affinity purified

Formulation

PBS (pH 7.3), 50% glycerol, 0.05% BSA

Preservative

0.02% Sodium Azide

Concentration

Please see the vial label for concentration. If unlisted please contact technical services.

Shipping

The product is shipped with polar packs. Upon receipt, store it immediately at the temperature recommended below.

Stability & Storage

Store at -20C. Avoid freeze-thaw cycles.

Background: Thyroid Peroxidase

Thyroid Peroxidase encodes a membrane-bound glycoprotein. The encoded protein acts as an enzyme and plays a central role in thyroid gland function. The protein functions in the iodination of tyrosine residues in thyroglobulin and phenoxy-ester formation between pairs of iodinated tyrosines to generate the thyroid hormones, thyroxine and triiodothyronine. Mutations in this gene are associated with several disorders of thyroid hormonogenesis, including congenital hypothyroidism, congenital goiter, and thyroid hormone organification defect IIA. Multiple transcript variants encoding distinct isoforms have been identified for this gene. Additional splice variants have been described but their biological natures have not been determined. [provided by RefSeq]

Alternate Names

EC 1.11.1, MSA, TDH2A, thyroid microsomal antigen, thyroid peroxidase, thyroperoxidase, TPXEC 1.11.1.8

Gene Symbol

TPO

Additional Thyroid Peroxidase Products

Product Documents for Thyroid Peroxidase Antibody (3C4A4)

Certificate of Analysis

To download a Certificate of Analysis, please enter a lot number in the search box below.

Product Specific Notices for Thyroid Peroxidase Antibody (3C4A4)

This product is for research use only and is not approved for use in humans or in clinical diagnosis. Primary Antibodies are guaranteed for 1 year from date of receipt.

Loading...
Loading...
Loading...
Loading...