Skip to main content

THSD7A Antibody - BSA Free

Novus Biologicals, part of Bio-Techne | Catalog # NBP1-93612

Novus Biologicals, part of Bio-Techne
Catalog #
Availability
Size / Price
Qty
Loading...
NBP1-93612-25ul
NBP1-93612

Key Product Details

Species Reactivity

Validated:

Human

Cited:

Human

Applications

Validated:

Immunohistochemistry, Immunohistochemistry-Paraffin

Cited:

IF/IHC

Label

Unconjugated

Antibody Source

Polyclonal Rabbit IgG

Format

BSA Free

Concentration

Concentrations vary lot to lot. See vial label for concentration. If unlisted please contact technical services.

Product Specifications

Immunogen

This antibody was developed against Recombinant Protein corresponding to amino acids: VCQSSPCEAEELRYSLHVGPWSTCSMPHSRQVRQARRRGKNKEREKDRSKGVKDPEARELIKKKRNRNRQNRQENKYWDIQIGYQTREVMCINKTGKAADLSFCQQEKLPMTFQSC

Reactivity Notes

Immunogen displays the following percentage of sequence identity for non-tested species: Mouse (83%), Rat (86%).

Clonality

Polyclonal

Host

Rabbit

Isotype

IgG

Description

Novus Biologicals Rabbit THSD7A Antibody - BSA Free (NBP1-93612) is a polyclonal antibody validated for use in IHC. Anti-THSD7A Antibody: Cited in 2 publications. All Novus Biologicals antibodies are covered by our 100% guarantee.

Scientific Data Images for THSD7A Antibody - BSA Free

Immunohistochemistry-Paraffin: THSD7A Antibody [NBP1-93612]

Immunohistochemistry-Paraffin: THSD7A Antibody [NBP1-93612]

Immunohistochemistry-Paraffin: THSD7A Antibody [NBP1-93612] - Staining of human kidney shows moderate membranous positivity in glomerular cells.
Immunohistochemistry-Paraffin: THSD7A Antibody [NBP1-93612]

Immunohistochemistry-Paraffin: THSD7A Antibody [NBP1-93612]

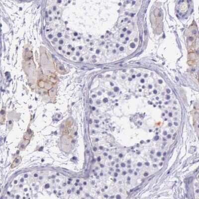
Immunohistochemistry-Paraffin: THSD7A Antibody [NBP1-93612] - Staining of human testis shows weak membranous positivity in Leydig cells.
Immunohistochemistry-Paraffin: THSD7A Antibody [NBP1-93612]

Immunohistochemistry-Paraffin: THSD7A Antibody [NBP1-93612]

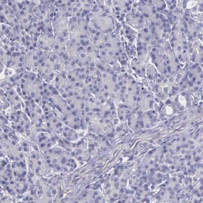
Immunohistochemistry-Paraffin: THSD7A Antibody [NBP1-93612] - Staining of human pancreas shows no positivity in exocrine glandular cells as expected.

Applications for THSD7A Antibody - BSA Free

Application
Recommended Usage

Immunohistochemistry

1:1000 - 1:2500

Immunohistochemistry-Paraffin

1:1000 - 1:2500
Application Notes
For IHC-Paraffin, HIER pH 6 retrieval is recommended.

Formulation, Preparation, and Storage

Purification

Immunogen affinity purified

Formulation

PBS (pH 7.2) and 40% Glycerol

Format

BSA Free

Preservative

0.02% Sodium Azide

Concentration

Concentrations vary lot to lot. See vial label for concentration. If unlisted please contact technical services.

Shipping

The product is shipped with polar packs. Upon receipt, store it immediately at the temperature recommended below.

Stability & Storage

Store at 4C short term. Aliquot and store at -20C long term. Avoid freeze-thaw cycles.

Background: THSD7A

Long Name

Thrombospondin, Type I, Domain Containing 1

Alternate Names

Gm837, KIAA0960

Gene Symbol

THSD7A

Additional THSD7A Products

Product Documents for THSD7A Antibody - BSA Free

Certificate of Analysis

To download a Certificate of Analysis, please enter a lot number in the search box below.

Product Specific Notices for THSD7A Antibody - BSA Free

This product is for research use only and is not approved for use in humans or in clinical diagnosis. Primary Antibodies are guaranteed for 1 year from date of receipt.

Loading...
Loading...
Loading...
Loading...