Skip to main content

THRSP Antibody - BSA Free

Novus Biologicals, part of Bio-Techne | Catalog # NBP3-41241

Novus Biologicals, part of Bio-Techne
Catalog #
Availability
Size / Price
Qty
Loading...
NBP3-41241

Key Product Details

Species Reactivity

Human, Mouse

Applications

Immunohistochemistry, Immunohistochemistry-Paraffin, Western Blot

Label

Unconjugated

Antibody Source

Polyclonal Rabbit

Format

BSA Free

Concentration

0.5 mg/ml

Product Specifications

Immunogen

Immunized with recombinant Human THRSP (Uniprot#: Q92748; Met1-Trp146 (Uniprot#: Q92748)

Clonality

Polyclonal

Host

Rabbit

Description

Novus Biologicals Rabbit THRSP Antibody - BSA Free (NBP3-41241) is a polyclonal antibody validated for use in IHC and WB. All Novus Biologicals antibodies are covered by our 100% guarantee.

Scientific Data Images for THRSP Antibody - BSA Free

THRSP Antibody

Western Blot: THRSP Antibody [NBP3-41241] -

Western Blot: THRSP Antibody [NBP3-41241] - Sample: Mouse Liver lysate Primary Ab: 4ug/ml NBP3-41241; Second Ab: 0.2ug/mL HRP-Linked Caprine Anti-Rabbit IgG Polyclonal Antibody
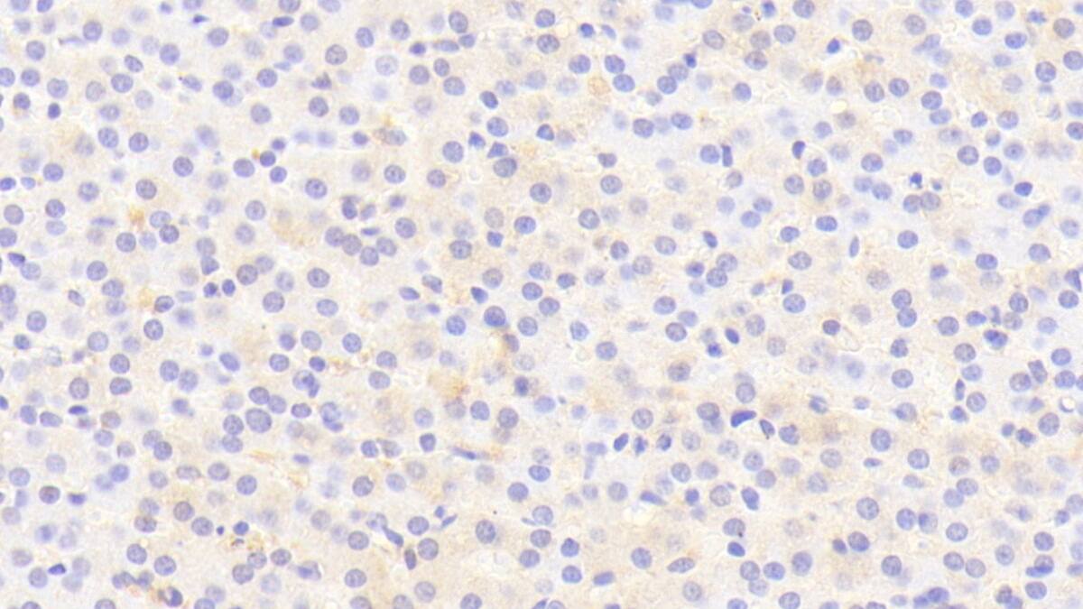
THRSP Antibody

Immunohistochemistry-Paraffin: THRSP Antibody [NBP3-41241] -

Immunohistochemistry-Paraffin: THRSP Antibody [NBP3-41241] - DAB staining on IHC-P; Samples: Human Liver Tissue; Primary Ab: 20ug/ml NBP3-41241; Second Ab: 2ug/mL HRP-Linked Caprine Anti-Rabbit IgG Polyclonal Antibody
THRSP Antibody

Western Blot: THRSP Antibody [NBP3-41241] -

Western Blot: THRSP Antibody [NBP3-41241] - Sample: Recombinant THRSP, Human.

Applications for THRSP Antibody - BSA Free

Application
Recommended Usage

Immunohistochemistry

5-20ug/mL

Immunohistochemistry-Paraffin

5-20ug/mL

Western Blot

0.5-2ug/mL

Formulation, Preparation, and Storage

Purification

Antigen and protein A Affinity-purified

Formulation

0.01M PBS, pH7.4, 50% glycerol

Format

BSA Free

Preservative

0.05% Proclin 300

Concentration

0.5 mg/ml

Shipping

The product is shipped with polar packs. Upon receipt, store it immediately at the temperature recommended below.

Stability & Storage

Store at 4C short term. Aliquot and store at -20C long term. Avoid freeze-thaw cycles.

Background: THRSP

THRSP is encoded by this gene is similar to the gene product of S14, a rat gene whose expression is limited to liver and adipose tissue and is controlled by nutritional and hormonal factors. This gene has been shown to be expressed in liver and adipocytes, particularly in lipomatous modules. It is also found to be expressed in lipogenic breast cancers, which suggests a role in controlling tumor lipid metabolism. [provided by RefSeq]

Long Name

Thyroid Hormone Responsive [SPOT14 Homolog] Protein

Alternate Names

S14, SPOT14

Gene Symbol

THRSP

Additional THRSP Products

Product Documents for THRSP Antibody - BSA Free

Certificate of Analysis

To download a Certificate of Analysis, please enter a lot number in the search box below.

Product Specific Notices for THRSP Antibody - BSA Free

This product is for research use only and is not approved for use in humans or in clinical diagnosis. Primary Antibodies are guaranteed for 1 year from date of receipt.

Loading...
Loading...
Loading...
Loading...