Skip to main content

TGN46 Antibody - BSA Free

Novus Biologicals, part of Bio-Techne | Catalog # NBP1-86949

Novus Biologicals, part of Bio-Techne
Catalog #
Availability
Size / Price
Qty
Loading...
NBP1-86949
NBP1-86949-25ul

Key Product Details

Validated by

Independent Antibodies

Species Reactivity

Validated:

Human

Cited:

Human

Applications

Validated:

Immunohistochemistry, Immunohistochemistry-Paraffin, Western Blot, Immunocytochemistry/ Immunofluorescence, Immunoprecipitation

Cited:

Western Blot, Immunocytochemistry/ Immunofluorescence, Immunoprecipitation

Label

Unconjugated

Antibody Source

Polyclonal Rabbit IgG

Format

BSA Free

Concentration

Concentrations vary lot to lot. See vial label for concentration. If unlisted please contact technical services.

Product Specifications

Immunogen

This antibody was developed against Recombinant Protein corresponding to amino acids: ATESVKQEEAGVRPSAGNVSTHPSLSQRPGGSTKSHPEPQTPKDSPSKSSAEAQTPEDTPNKSGAEAKTQKDSSNRSGA

Marker

TGN Marker

Clonality

Polyclonal

Host

Rabbit

Isotype

IgG

Scientific Data Images for TGN46 Antibody - BSA Free

Immunocytochemistry/ Immunofluorescence: TGN46 Antibody [NBP1-86949]

Immunocytochemistry/ Immunofluorescence: TGN46 Antibody [NBP1-86949]

Immunocytochemistry/Immunofluorescence: TGN46 Antibody [NBP1-86949] - Staining of human cell line U-2 OS shows localization to nucleoplasm & the Golgi apparatus. Antibody staining is shown in green.
Immunohistochemistry-Paraffin: TGN46 Antibody [NBP1-86949]

Immunohistochemistry-Paraffin: TGN46 Antibody [NBP1-86949]

Immunohistochemistry-Paraffin: TGN46 Antibody [NBP1-86949] - Staining of human cerebral cortex, colon, kidney and testis using Anti-TGOLN2 antibody NBP1-86949 (A) shows similar protein distribution across tissues to independent antibody NBP1-86948 (B).
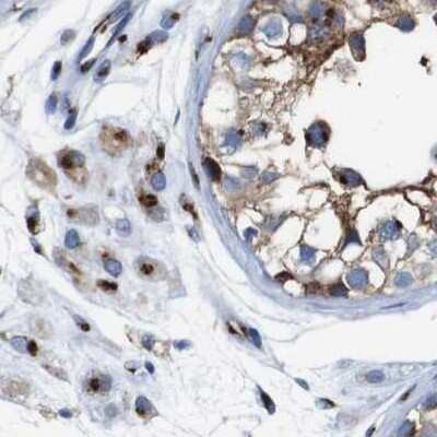
Immunohistochemistry-Paraffin: TGN46 Antibody [NBP1-86949]

Immunohistochemistry-Paraffin: TGN46 Antibody [NBP1-86949]

Immunohistochemistry-Paraffin: TGN46 Antibody [NBP1-86949] - Staining of human cerebellum shows strong cytoplasmic positivity in purkinje cells.

Applications for TGN46 Antibody - BSA Free

Application
Recommended Usage

Immunocytochemistry/ Immunofluorescence

0.25-2 ug/ml

Immunohistochemistry

1:50 - 1:200

Immunohistochemistry-Paraffin

1:50 - 1:200

Immunoprecipitation

Reported in scientific literature (PMID: 23532850)

Western Blot

0.04-0.4 ug/ml
Application Notes
For IHC-Paraffin, HIER pH 6 retrieval is recommended. ICC/IF Fixation Permeabilization: Use PFA/Triton X-100.

Reviewed Applications

Read 1 review rated 5 using NBP1-86949 in the following applications:

Formulation, Preparation, and Storage

Purification

Affinity purified

Formulation

PBS (pH 7.2) and 40% Glycerol

Format

BSA Free

Preservative

0.02% Sodium Azide

Concentration

Concentrations vary lot to lot. See vial label for concentration. If unlisted please contact technical services.

Shipping

The product is shipped with polar packs. Upon receipt, store it immediately at the temperature recommended below.

Stability & Storage

Store at 4C short term. Aliquot and store at -20C long term. Avoid freeze-thaw cycles.

Background: TGN46

The Trans-Golgi network integral membrane protein 2 (TGOLN2) was designated TGN46 based on the predicted molecular mass (46kDa). However, TGN46 is a heavily glycosylated protein, so its molecular weight is often detected at a 110-120kDa. The TGN46 protein is widely expressed. It may be involved in regulating membrane traffic to and from trans-Golgi network, and has been reported as the best available marker for human trans-Golgi network. TGN46 contains a luminal domain, a membrane-spanning domain, and a cytoplasmic domain. The membrane-spanning and cytoplasmic domains contain the retention and retrieval signals, respectively, for localization in the TGN.

Alternate Names

TGN 46, TGN 48, TGN 51, TGN38, TGN-38, TGN38 homolog, TGN46, TGN-46, TGN48, TGN51, TGOLN 2, TGOLN2, trans golgi network 38, trans golgi network 46, Trans Golgi network integral membrane protein 2, Trans Golgi network integral membrane protein 2 [Precursor], Trans Golgi network protein (46 48 51kD isoforms), Trans golgi network protein 2, Trans Golgi network protein TGN51, Trans-Golgi network integral membrane protein 2, Trans-Golgi network protein 2, Trans-Golgi network protein TGN51, TTGN 2, TTGN2

Gene Symbol

TGOLN2

Additional TGN46 Products

Product Documents for TGN46 Antibody - BSA Free

Certificate of Analysis

To download a Certificate of Analysis, please enter a lot number in the search box below.

Product Specific Notices for TGN46 Antibody - BSA Free

This product is for research use only and is not approved for use in humans or in clinical diagnosis. Primary Antibodies are guaranteed for 1 year from date of receipt.

Loading...
Loading...
Loading...
Loading...