Skip to main content

Key Product Details

Species Reactivity

Validated:

Multi-Species

Cited:

Human, Mouse, Avian - Chicken, Avian - Coturnix japonica (Quail), Canine

Applications

Validated:

Immunohistochemistry, Western Blot, Neutralization

Cited:

Immunohistochemistry, Western Blot, Neutralization, ELISA Development

Label

Unconjugated

Antibody Source

Monoclonal Mouse IgG1 Clone # 20724

Product Specifications

Immunogen

Spodoptera frugiperda, Sf 21 (baculovirus) derived recombinant human TGF-beta 3
Ala301-Ser412 (Tyr340Phe)
Accession # P10600

Specificity

Detects TGF-beta 3 from multiple species in direct ELISAs and Western blots. In Western blots, less than 25% cross-reactivity with recombinant human (rh) TGF‑ beta1.2 and rhTGF-beta 2 is observed, and less than 2% cross‑reactivity with recombinant amphibian TGF-beta 5 and recombinant human TGF-beta 1 is observed. Neutralizes the biological activity of TGF-beta 3 but not TGF-beta 1, TGF-beta 2, or TGF-beta 5.

Clonality

Monoclonal

Host

Mouse

Isotype

IgG1

Endotoxin Level

<0.10 EU per 1 μg of the antibody by the LAL method.

Scientific Data Images for TGF-beta 3 Antibody

TGF-beta 3 Inhibition of IL-4-dependent Cell Proliferation and Neutralization by TGF-beta 3 Antibody.

TGF-beta 3 Inhibition of IL-4-dependent Cell Proliferation and Neutralization by TGF-beta 3 Antibody.

TGF beta3 Antibody (Catalog # MAB243) neutralizes Recombinant Human TGF-beta 3 (243-B3) inhibition of Recombinant Mouse IL-4 (404-ML) induced proliferation in the HT-2 mouse T cell line. The Neutralization Dose (ND50) is typically 0.100-1.00 µg/mL.
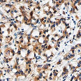
TGF-beta 3 antibody in Human Breast Cancer Tissue by Immunohistochemistry (IHC-P).

TGF‑ beta3 in Human Breast Cancer Tissue.

TGF-beta 3 was detected in immersion fixed paraffin-embedded sections of human breast cancer tissue using Mouse Anti-TGF-beta 3 Monoclonal Antibody (Catalog # MAB243) at 5 µg/mL overnight at 4 °C. Tissue was stained using the Anti-Mouse HRP-DAB Cell & Tissue Staining Kit (brown; CTS002) and counterstained with hematoxylin (blue). Specific staining was localized to cytoplasm in cancer cells. View our protocol for Chromogenic IHC Staining of Paraffin-embedded Tissue Sections.
Detection of Coturnix japonica TGF-beta 3 by Western Blot

Detection of Coturnix japonica TGF-beta 3 by Western Blot

TGF-beta signaling controls commitment into glial differentiation.(A) QNR/v-srcts cells were treated at 37°C with increasing concentrations (0.2–2 ng/ml) of recombinant TGF-beta 3 protein during 7 days. Pax6 and Glutamine Synthetase (GS) were detected by western-blot. Protein loading was normalized using Erk antiserum. (B) Pax6 expression was analyzed by immunofluorescence after treatment of QNR/v-Srcts/ICN cells at 37°C with DMSO (control) or 10 µM SB431542 during 7 days. The majority of control QNR/v-Srcts/ICN cells did not express nuclear Pax6 but we observed a weak peri-nuclear labeling. Magnification x40. Image collected and cropped by CiteAb from the following open publication (https://pubmed.ncbi.nlm.nih.gov/21042581), licensed under a CC-BY license. Not internally tested by R&D Systems.

Applications for TGF-beta 3 Antibody

Application
Recommended Usage

Immunohistochemistry

8-25 µg/mL
Sample: Immersion fixed paraffin-embedded sections of human breast cancer tissue

Western Blot

1 µg/mL
Sample: Recombinant Human TGF-beta 3 (Catalog # 243-B3) under non-reducing conditions only

Neutralization

Measured by its ability to neutralize TGF‑ beta3 inhibition of IL‑4-dependent proliferation in the HT‑2 mouse T cell line. Tsang, M. et al. (1995) Cytokine 7:389. The Neutralization Dose (ND50) is typically 0.100-1.00 µg/mL in the presence of 0.1 ng/mL Recombinant Human TGF‑ beta3 and 7.5 ng/mL Recombinant Mouse IL‑4.

Formulation, Preparation, and Storage

Purification

Protein A or G purified from ascites

Reconstitution

Reconstitute at 0.5 mg/mL in sterile PBS. For liquid material, refer to CoA for concentration.

Reconstitution Buffer Available:
Size / Price
Qty
Loading...

Formulation

Lyophilized from a 0.2 μm filtered solution in PBS with Trehalose. See Certificate of Analysis for details.
*Small pack size (-SP) is supplied either lyophilized or as a 0.2 µm filtered solution in PBS.

Shipping

Lyophilized product is shipped at ambient temperature. Liquid small pack size (-SP) is shipped with polar packs. Upon receipt, store immediately at the temperature recommended below.

Stability & Storage

Use a manual defrost freezer and avoid repeated freeze-thaw cycles.
  • 12 months from date of receipt, -20 to -70 °C as supplied.
  • 1 month, 2 to 8 °C under sterile conditions after reconstitution.
  • 6 months, -20 to -70 °C under sterile conditions after reconstitution.

Background: TGF-beta 3

TGF-beta 3 (transforming growth factor beta 3) is one of three closely related mammalian members of the large TGF-beta superfamily that share a characteristic cystine knot structure (1‑7). TGF-beta 1, -2 and -3 are highly pleiotropic cytokines that are proposed to act as cellular switches that regulate processes such as immune function, proliferation and epithelial-mesenchymal transition (1‑4). Each TGF‑ beta isoform has some non-redundant functions; for TGF-beta 3, mice with targeted deletion show defects palatogenesis and pulmonary development (2). Human TGF-beta 3 cDNA encodes a 412 amino acid (aa) precursor that contains a 20 aa signal peptide and a 392 aa proprotein (8). A furin-like convertase processes the proprotein to generate an N-terminal 220 aa latency-associated peptide (LAP) and a C-terminal 112 aa mature TGF‑ beta3 (8, 9). Disulfide-linked homodimers of LAP and TGF-beta 3 remain non-covalently associated after secretion, forming the small latent TGF-beta 3 complex (8‑10). Covalent linkage of LAP to one of three latent TGF-beta binding proteins (LTBPs) creates a large latent complex that may interact with the extracellular matrix (9, 10). TGF-beta is activated from latency by pathways that include actions of the protease plasmin, matrix metalloproteases, thrombospondin 1 and a subset of integrins (10). Mature human TGF-beta 3 shows 100%, 99% and 98% aa identity with mouse/dog/horse, rat and pig TGF-beta 3, respectively. It demonstrates cross-species activity (1). TGF-beta 3 signaling begins with high-affinity binding to a type II ser/thr kinase receptor termed TGF-beta  RII. This receptor then phosphorylates and activates a second ser/thr kinase receptor, TGF-beta  RI (also called activin receptor-like kinase (ALK) -5), or alternatively, ALK-1.This complex phosphorylates and activates Smad proteins that regulate transcription (3, 11, 12). Contributions of the accessory receptors betaglycan (also known as TGF-beta  RIII) and endoglin, or use of Smad-independent signaling pathways, allow for disparate actions observed in response to TGF-beta in different contexts (11).

References

  1. Sporn, M.B. (2006) Cytokine Growth Factor Rev. 17:3.
  2. Dunker, N. and K. Krieglstein (2000) Eur. J. Biochem. 267:6982.
  3. Wahl, S.M. (2006) Immunol. Rev. 213:213.
  4. Chang, H. et al. (2002) Endocr. Rev. 23:787.
  5. Lin, J.S. et al. (2006) Reproduction 132:179.
  6. Hinck, A.P. et al. (1996) Biochemistry 35:8517.
  7. Mittl, P.R.E. et al. (1996) Protein Sci. 5:1261.
  8. Derynck, R. et al. (1988) EMBO J. 7:3737.
  9. Miyazono, K. et al. (1988) J. Biol. Chem. 263:6407.
  10. Oklu, R. and R. Hesketh (2000) Biochem. J. 352:601.
  11. de Caestecker, M. et al. (2004) Cytokine Growth Factor Rev. 15:1.
  12. Zuniga, J.E. et al. (2005) J. Mol. Biol. 354:1052.

Long Name

Transforming Growth Factor beta 3

Alternate Names

ARVD1, LDS5, RNHF, TGFB3, TGFbeta 3

Entrez Gene IDs

7043 (Human); 21809 (Mouse); 25717 (Rat)

Gene Symbol

TGFB3

UniProt

Additional TGF-beta 3 Products

Product Documents for TGF-beta 3 Antibody

Certificate of Analysis

To download a Certificate of Analysis, please enter a lot number in the search box below.

Note: Certificate of Analysis not available for kit components.

Product Specific Notices for TGF-beta 3 Antibody

For research use only

Loading...
Loading...
Loading...
Loading...
Loading...