Skip to main content

TfR (Transferrin R) Antibody (TFRC/1818) - Azide and BSA Free

Novus Biologicals, part of Bio-Techne | Catalog # NBP2-54466

Novus Biologicals, part of Bio-Techne
Catalog #
Availability
Size / Price
Qty
Loading...
NBP2-54466-100ug
Conjugate
Catalog #

Key Product Details

Species Reactivity

Human

Applications

Immunohistochemistry, Immunohistochemistry-Paraffin, ELISA, CyTOF-ready

Label

Unconjugated

Antibody Source

Monoclonal Mouse IgG2b Kappa Clone # TFRC/1818

Format

Azide and BSA Free

Concentration

1 mg/ml

Product Specifications

Immunogen

Recombinant extracellular fragment (around aa 94-212) of human TfR (Transferrin R) protein (exact sequence is proprietary) (Uniprot: P02786)

Localization

Cell surface

Specificity

It recognizes a ~90-95kDa protein which is identified as cell surface transferrin receptor (CD71), a disulfide-bonded homodimeric glycoprotein of 180-190kDa. This monoclonal antibody is highly specific to CD71 and shows no cross-reaction with other related proteins. Ligand for transferrin receptor is the serum iron transport protein, transferrin. This receptor is broadly distributed in carcinomas, sarcomas, leukemias, and lymphomas. CD71/Transferrin receptor has been reported to be associated with cell proliferation in both normal and neoplastic tissues and useful in predicting clinical behavior or response to therapy in a number of malignancies including breast cancer.

Clonality

Monoclonal

Host

Mouse

Isotype

IgG2b Kappa

Description

1.0 mg/ml of antibody purified from Bioreactor Concentrate by Protein A/G. Prepared in 10mM PBS WITHOUT BSA & azide. Also available at 200 ug/ml WITH BSA & azide (NBP2-53283).

Antibody with azide - store at 2 to 8C. Antibody without azide - store at -20 to -80C.

Scientific Data Images for TfR (Transferrin R) Antibody (TFRC/1818) - Azide and BSA Free

Immunohistochemistry-Paraffin: TfR (Transferrin R) Antibody (TFRC/1818) - Azide and BSA Free [NBP2-54466]

Immunohistochemistry-Paraffin: TfR (Transferrin R) Antibody (TFRC/1818) - Azide and BSA Free [NBP2-54466]

Immunohistochemistry-Paraffin: TfR (Transferrin R) Antibody (TFRC/1818) - Azide and BSA Free [NBP2-54466] - Formalin-fixed, paraffin-embedded Human Bone Marrow stained
Immunohistochemistry-Paraffin: TfR (Transferrin R) Antibody (TFRC/1818) - Azide and BSA Free [NBP2-54466]

Immunohistochemistry-Paraffin: TfR (Transferrin R) Antibody (TFRC/1818) - Azide and BSA Free [NBP2-54466]

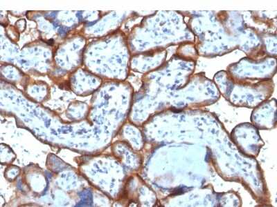
Immunohistochemistry-Paraffin: TfR (Transferrin R) Antibody (TFRC/1818) [NBP2-54466] - Formalin-fixed, paraffin-embedded Human Placenta stained with CD71 Monoclonal Antibody (TFRC/1818).

Applications for TfR (Transferrin R) Antibody (TFRC/1818) - Azide and BSA Free

Application
Recommended Usage

ELISA

2 - 4 ug/ml

Immunohistochemistry-Paraffin

1 - 2 ug/ml
Application Notes
ELISA: Use Ab at 2-4ug/ml for coating. Order Ab without BSA.
Immunohistochemistry (Formalin-fixed): 1-2ug/ml for 30 minutes at RT. Staining of formalin-fixed tissues requires heating tissue sections in 10mM Tris with 1mM EDTA, pH 9.0, for 45 min at 95C followed by cooling at RT for 20 minutes.
Optimal dilution for a specific application should be determined.

Formulation, Preparation, and Storage

Purification

Protein A or G purified

Formulation

10 mM PBS

Format

Azide and BSA Free

Preservative

No Preservative

Concentration

1 mg/ml

Shipping

The product is shipped with polar packs. Upon receipt, store it immediately at the temperature recommended below.

Stability & Storage

Store at -20 to -80C. Avoid freeze-thaw cycles.

Background: TfR (Transferrin R)

Useful in studies of dividing haematopoietic and tumour cell populations, and metabolic activity.

Long Name

Transferrin Receptor

Alternate Names

CD71, TfR (TransferrinR), TFR1, TFRC, TRFR

Gene Symbol

TFRC

Additional TfR (Transferrin R) Products

Product Documents for TfR (Transferrin R) Antibody (TFRC/1818) - Azide and BSA Free

Certificate of Analysis

To download a Certificate of Analysis, please enter a lot number in the search box below.

Product Specific Notices for TfR (Transferrin R) Antibody (TFRC/1818) - Azide and BSA Free

This product is for research use only and is not approved for use in humans or in clinical diagnosis. Primary Antibodies are guaranteed for 1 year from date of receipt.

Loading...
Loading...
Loading...
Loading...