TEX12 Antibody - BSA Free
Novus Biologicals, part of Bio-Techne | Catalog # NBP1-90989
Key Product Details
Validated by
Orthogonal Validation
Species Reactivity
Human
Applications
Immunohistochemistry, Immunohistochemistry-Paraffin, Western Blot
Label
Unconjugated
Antibody Source
Polyclonal Rabbit IgG
Format
BSA Free
Concentration
Concentrations vary lot to lot. See vial label for concentration. If unlisted please contact technical services.
Product Specifications
Immunogen
This antibody was developed against Recombinant Protein corresponding to amino acids: MANHLVKPDNRNCKRPRELESPVPDSPQLSSLGKSDSSFSEISGLFYKDEALEKDLNDVS
Reactivity Notes
Immunogen displays the following percentage of sequence identity for non-tested species: Mouse (80%)
Clonality
Polyclonal
Host
Rabbit
Isotype
IgG
Description
Novus Biologicals Rabbit TEX12 Antibody - BSA Free (NBP1-90989) is a polyclonal antibody validated for use in IHC and WB. All Novus Biologicals antibodies are covered by our 100% guarantee.
Scientific Data Images for TEX12 Antibody - BSA Free
Western Blot: TEX12 Antibody [NBP1-90989]
Western Blot: TEX12 Antibody [NBP1-90989] - Analysis in control (vector only transfected HEK293T lysate) and TEX12 over-expression lysate (Co-expressed with a C-terminal myc-DDK tag (3.1 kDa) in mammalian HEK293T cells).Immunohistochemistry-Paraffin: TEX12 Antibody [NBP1-90989]
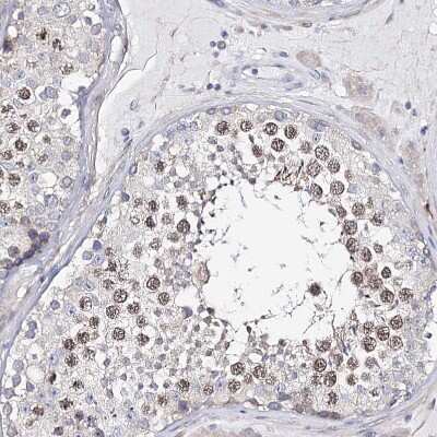
Immunohistochemistry-Paraffin: TEX12 Antibody [NBP1-90989] - Staining of human lymph node shows no positivity in non - germinal center cells as expected.Applications for TEX12 Antibody - BSA Free
Application
Recommended Usage
Immunohistochemistry
1:50 - 1:200
Immunohistochemistry-Paraffin
1:50 - 1:200
Western Blot
0.04-0.4 ug/ml
Application Notes
For IHC-Paraffin, HIER pH 6 retrieval is recommended.
Formulation, Preparation, and Storage
Purification
Affinity purified
Formulation
PBS (pH 7.2) and 40% Glycerol
Format
BSA Free
Preservative
0.02% Sodium Azide
Concentration
Concentrations vary lot to lot. See vial label for concentration. If unlisted please contact technical services.
Shipping
The product is shipped with polar packs. Upon receipt, store it immediately at the temperature recommended below.
Stability & Storage
Store at 4C short term. Aliquot and store at -20C long term. Avoid freeze-thaw cycles.
Background: TEX12
Alternate Names
testis expressed 12, testis expressed sequence 12, testis-expressed sequence 12 protein, testis-expressed sequence 12 protein variant 2, testis-expressed sequence 12 protein variant 3
Gene Symbol
TEX12
Additional TEX12 Products
Product Documents for TEX12 Antibody - BSA Free
Product Specific Notices for TEX12 Antibody - BSA Free
This product is for research use only and is not approved for use in humans or in clinical diagnosis. Primary Antibodies are guaranteed for 1 year from date of receipt.
Loading...
Loading...
Loading...
Loading...