TET2 Antibody - BSA Free
Novus Biologicals, part of Bio-Techne | Catalog # NBP2-32104
Conjugate
Catalog #
Key Product Details
Validated by
Independent Antibodies, Biological Validation
Species Reactivity
Validated:
Human, Rat
Cited:
Human, Rat
Applications
Validated:
Immunohistochemistry, Immunohistochemistry-Paraffin, Western Blot, Immunoprecipitation
Cited:
Western Blot, Chemotaxis
Label
Unconjugated
Antibody Source
Polyclonal Rabbit IgG
Format
BSA Free
Concentration
1.0 mg/ml
Product Specifications
Immunogen
The immunogen this antibody was made to, maps to a region between residue 100 and 150 of human Tet Oncogene Family Member 2 using the numbering given in entry NP_001120680.1 (GeneID 54790).
Reactivity Notes
Use in Rat reported in scientific literature (PMID:34874218) .
Clonality
Polyclonal
Host
Rabbit
Isotype
IgG
Scientific Data Images for TET2 Antibody - BSA Free
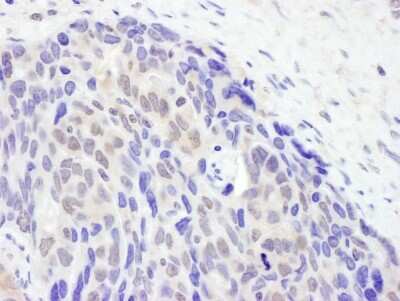
Immunohistochemistry-Paraffin: TET2 Antibody [NBP2-32104]
Immunohistochemistry-Paraffin: TET2 Antibody [NBP2-32104] - Human ovarian carcinoma. Antibody: Affinity purified rabbit anti-TET2 used at a dilution of 1:5,000 (0.2ug/ml). Detection: DABWestern Blot: TET2 Antibody [NBP2-32104]
Western Blot: TET2 Antibody [NBP2-32104] - Whole cell lysate (1 mg for IP; 20% of IP loaded) from 293T cells. Antibodies: Affinity purified rabbit anti-TET2 antibody NBP2-32104 used for IP at 6 ug/mg lysate. TET2 was also immunoprecipitated by rabbit anti-TET2 antibody BL16766. For blotting immunoprecipitated TET2, NBP2-32104 was used at 1 ug/ml. Detection: Chemiluminescence with an exposure time of 3 minutes.Applications for TET2 Antibody - BSA Free
Application
Recommended Usage
Immunohistochemistry-Paraffin
1:1000 - 1:5000
Immunoprecipitation
2 - 10 ug/mg lysate
Western Blot
1:2000 - 1:10000
Application Notes
Epitope retrieval with Tris-EDTA pH9.0 is recommended for FFPE tissue sections
Reviewed Applications
Read 1 review rated 4 using NBP2-32104 in the following applications:
Formulation, Preparation, and Storage
Purification
Immunogen affinity purified
Formulation
Tris-Citrate/Phosphate (pH 7.0 - 8.0)
Format
BSA Free
Preservative
0.09% Sodium Azide
Concentration
1.0 mg/ml
Shipping
The product is shipped with polar packs. Upon receipt, store it immediately at the temperature recommended below.
Stability & Storage
Store at 4C. Do not freeze.
Background: TET2
Long Name
Methylcytosine dioxygenase TET2
Alternate Names
KIAA1546, Nbla00191
Gene Symbol
TET2
UniProt
Additional TET2 Products
Product Documents for TET2 Antibody - BSA Free
Product Specific Notices for TET2 Antibody - BSA Free
This product is for research use only and is not approved for use in humans or in clinical diagnosis. Primary Antibodies are guaranteed for 1 year from date of receipt.
Loading...
Loading...
Loading...
Loading...