TEL2 Antibody (8B6) - BSA Free
Novus Biologicals, part of Bio-Techne | Catalog # NBP3-43043
Key Product Details
Species Reactivity
Human
Applications
ELISA, Immunocytochemistry/ Immunofluorescence, Immunohistochemistry, Immunoprecipitation, Western Blot
Label
Unconjugated
Antibody Source
Monoclonal Mouse IgG2A Clone # 8B6
Format
BSA Free
Concentration
Please see the vial label for concentration. If unlisted please contact technical services.
Product Specifications
Immunogen
TEL2, telomere maintenance 2, homolog(S. cerevisiae) - (Uniprot# Q9Y4R8)
Clonality
Monoclonal
Host
Mouse
Isotype
IgG2A
Theoretical MW
92 kDa.
Disclaimer note: The observed molecular weight of the protein may vary from the listed predicted molecular weight due to post translational modifications, post translation cleavages, relative charges, and other experimental factors.
Disclaimer note: The observed molecular weight of the protein may vary from the listed predicted molecular weight due to post translational modifications, post translation cleavages, relative charges, and other experimental factors.
Description
Novus Biologicals Mouse TEL2 Antibody (8B6) - BSA Free (NBP3-43043) is a monoclonal antibody validated for use in IHC, WB, ELISA, ICC/IF and IP. All Novus Biologicals antibodies are covered by our 100% guarantee.
Scientific Data Images for TEL2 Antibody (8B6) - BSA Free
Western Blot: TEL2 Antibody (8B6) [NBP3-43043] -
Western Blot: TEL2 Antibody (8B6) [NBP3-43043] - A431 cells were subjected to SDS PAGE followed by western blot with (TEL2 antibody) at dilution of 1:500Immunoprecipitation: TEL2 Antibody (8B6) [NBP3-43043] -
Immunoprecipitation: TEL2 Antibody (8B6) [NBP3-43043] - IP Result of anti-TEL2 (IP:FNab08592, 4ug; Detection:FNab08592 1:500) with HepG2 cells lysate 2900ug.Immunohistochemistry: TEL2 Antibody (8B6) [NBP3-43043] -
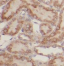
Immunohistochemistry: TEL2 Antibody (8B6) [NBP3-43043] - Immunohistochemistry of paraffin-embedded human kidney tissue slide using (TEL2 Antibody) at dilution of 1:200Applications for TEL2 Antibody (8B6) - BSA Free
Application
Recommended Usage
Immunocytochemistry/ Immunofluorescence
1:10 - 1:100
Immunohistochemistry
1:20 - 1:200
Immunoprecipitation
1:500 - 1:1000
Western Blot
1:1000 - 1:4000
Formulation, Preparation, and Storage
Purification
Protein A or G purified
Formulation
PBS (pH 7.3), 50% glycerol
Format
BSA Free
Preservative
0.02% Sodium Azide
Concentration
Please see the vial label for concentration. If unlisted please contact technical services.
Shipping
The product is shipped with polar packs. Upon receipt, store it immediately at the temperature recommended below.
Stability & Storage
Store at -20C. Avoid freeze-thaw cycles.
Background: TEL2
Alternate Names
CLK2, DKFZp434A073, EC 1.1.1.27, EC 2.7.11.1, HCLK2, KIAA0683FLJ10924, Protein clk-2 homolog, TEL2, TEL2, telomere maintenance 2, homolog (S. cerevisiae), telomere length regulation protein TEL2 homolog
Gene Symbol
TELO2
Additional TEL2 Products
Product Documents for TEL2 Antibody (8B6) - BSA Free
Product Specific Notices for TEL2 Antibody (8B6) - BSA Free
This product is for research use only and is not approved for use in humans or in clinical diagnosis. Primary Antibodies are guaranteed for 1 year from date of receipt.
Loading...
Loading...
Loading...
Loading...