Skip to main content

Tbp7 Antibody - BSA Free

Novus Biologicals, part of Bio-Techne | Catalog # NBP1-87799

Novus Biologicals, part of Bio-Techne
Catalog #
Availability
Size / Price
Qty
Loading...
NBP1-87799-25ul
NBP1-87799

Key Product Details

Species Reactivity

Human, Mouse, Rat

Applications

Immunohistochemistry, Immunohistochemistry-Paraffin, Western Blot, Immunocytochemistry/ Immunofluorescence

Label

Unconjugated

Antibody Source

Polyclonal Rabbit IgG

Format

BSA Free

Concentration

Concentrations vary lot to lot. See vial label for concentration. If unlisted please contact technical services.

Product Specifications

Immunogen

This antibody was developed against Recombinant Protein corresponding to amino acids: LEDLYSRYKKLQQELEFLEVQEEYIKDEQKNLKKEFLHAQEEVKRIQSIPLVIGQFLEAVDQNTAIVGSTTGSNYYVRILSTIDRELLKPNASVALHKHSNA

Clonality

Polyclonal

Host

Rabbit

Isotype

IgG

Description

Novus Biologicals Rabbit Tbp7 Antibody - BSA Free (NBP1-87799) is a polyclonal antibody validated for use in IHC, WB and ICC/IF. Anti-Tbp7 Antibody: Cited in 1 publication. All Novus Biologicals antibodies are covered by our 100% guarantee.

Scientific Data Images for Tbp7 Antibody - BSA Free

Western Blot: Tbp7 Antibody [NBP1-87799]

Western Blot: Tbp7 Antibody [NBP1-87799]

Western Blot: Tbp7 Antibody [NBP1-87799] - Western blot analysis in mouse cell line NIH-3T3, rat cell line NBT-II and rat cell line pC12.
Immunocytochemistry/ Immunofluorescence: Tbp7 Antibody [NBP1-87799]

Immunocytochemistry/ Immunofluorescence: Tbp7 Antibody [NBP1-87799]

Immunocytochemistry/Immunofluorescence: Tbp7 Antibody [NBP1-87799] - Staining of human cell line U-251 MG shows localization to nucleoplasm. Antibody staining is shown in green.
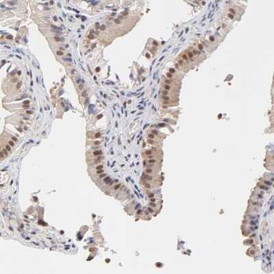
Immunohistochemistry-Paraffin: Tbp7 Antibody [NBP1-87799]

Immunohistochemistry-Paraffin: Tbp7 Antibody [NBP1-87799]

Immunohistochemistry-Paraffin: Tbp7 Antibody [NBP1-87799] - Staining of human gall bladder shows nuclear positivity in glandular cells.

Applications for Tbp7 Antibody - BSA Free

Application
Recommended Usage

Immunocytochemistry/ Immunofluorescence

0.25-2 ug/ml

Immunohistochemistry

1:200 - 1:500

Immunohistochemistry-Paraffin

1:200 - 1:500

Western Blot

0.04-0.4 ug/ml
Application Notes
For IHC-Paraffin, HIER pH 6 retrieval is recommended. Immunocytochemistry/Immunofluorescence Fixation Permeabilization: Use PFA/Triton X-100.

Formulation, Preparation, and Storage

Purification

Affinity purified

Formulation

PBS (pH 7.2) and 40% Glycerol

Format

BSA Free

Preservative

0.02% Sodium Azide

Concentration

Concentrations vary lot to lot. See vial label for concentration. If unlisted please contact technical services.

Shipping

The product is shipped with polar packs. Upon receipt, store it immediately at the temperature recommended below.

Stability & Storage

Store at 4C short term. Aliquot and store at -20C long term. Avoid freeze-thaw cycles.

Background: Tbp7

The 26S proteasome is a multicatalytic proteinase complex with a highly ordered structure composed of 2 complexes, a 20S core and a 19S regulator. The 20S core is composed of 4 rings of 28 non-identical subunits; 2 rings are composed of 7 alpha subunits and 2 rings are composed of 7 beta subunits. The 19S regulator is composed of a base, which contains 6 ATPase subunits and 2 non-ATPase subunits, and a lid, which contains up to 10 non-ATPase subunits. Proteasomes are distributed throughout eukaryotic cells at a high concentration and cleave peptides in an ATP/ubiquitin-dependent process in a non-lysosomal pathway. An essential function of a modified proteasome, the immunoproteasome, is the processing of class I MHC peptides. This gene encodes one of the ATPase subunits, a member of the triple-A family of ATPases which have a chaperone-like activity. This subunit has been shown to interact with an orphan member of the nuclear hormone receptor superfamily highly expressed in liver, and with gankyrin, a liver oncoprotein. Two transcript variants encoding different isoforms have been identified.

Alternate Names

MB67 interacting protein, MGC13687,26S protease regulatory subunit 6B, MGC23214, MGC8570, protease 26S subunit 6, proteasome (prosome, macropain) 26S subunit, ATPase, 4,26S proteasome AAA-ATPase subunit RPT3, Proteasome 26S subunit ATPase 4, S6Tat-binding protein 7, TBP-7MB67-interacting protein, TBP7MIP224

Gene Symbol

PSMC4

Additional Tbp7 Products

Product Documents for Tbp7 Antibody - BSA Free

Certificate of Analysis

To download a Certificate of Analysis, please enter a lot number in the search box below.

Product Specific Notices for Tbp7 Antibody - BSA Free

This product is for research use only and is not approved for use in humans or in clinical diagnosis. Primary Antibodies are guaranteed for 1 year from date of receipt.

Loading...
Loading...
Loading...
Loading...