Skip to main content

Tau [p Ser396] Antibody - BSA Free

Novus Biologicals, part of Bio-Techne | Catalog # NB100-82243

Novus Biologicals, part of Bio-Techne
Catalog #
Availability
Size / Price
Qty
Loading...
NB100-82243-0.025ml
NB100-82243

Key Product Details

Species Reactivity

Validated:

Human, Mouse, Rat

Cited:

Human, Mouse

Applications

Validated:

Immunohistochemistry, Immunohistochemistry-Paraffin, Western Blot, Simple Western

Cited:

Western Blot

Label

Unconjugated

Antibody Source

Polyclonal Rabbit IgG

Format

BSA Free

Concentration

1.0 mg/ml

Product Specifications

Immunogen

This Tau [p Ser396] Antibody was produced against synthesized phosphopeptide derived from human Tau around the phosphorylation site of serine 396 (Y-K-SP-P-V).

Modification

p Ser396

Specificity

Detects endogenous levels of Tau only when phosphorylated at serine396.

Marker

pan-Neuronal Marker

Clonality

Polyclonal

Host

Rabbit

Isotype

IgG

Description

Novus Biologicals Rabbit Tau [p Ser396] Antibody - BSA Free (NB100-82243) is a polyclonal antibody validated for use in IHC, WB and Simple Western. Anti-Tau Antibody: Cited in 2 publications. All Novus Biologicals antibodies are covered by our 100% guarantee.

Scientific Data Images for Tau [p Ser396] Antibody - BSA Free

Western Blot: Tau [p Ser396] Antibody [NB100-82243]

Western Blot: Tau [p Ser396] Antibody [NB100-82243]

Western Blot: Tau [p Ser396] Antibody [NB100-82243] - Extracts from mouse brain tissue using Tau(p Ser396) Antibody and same antibody preincubated with blocking peptide
Tau [p Ser396] Antibody - BSA Free

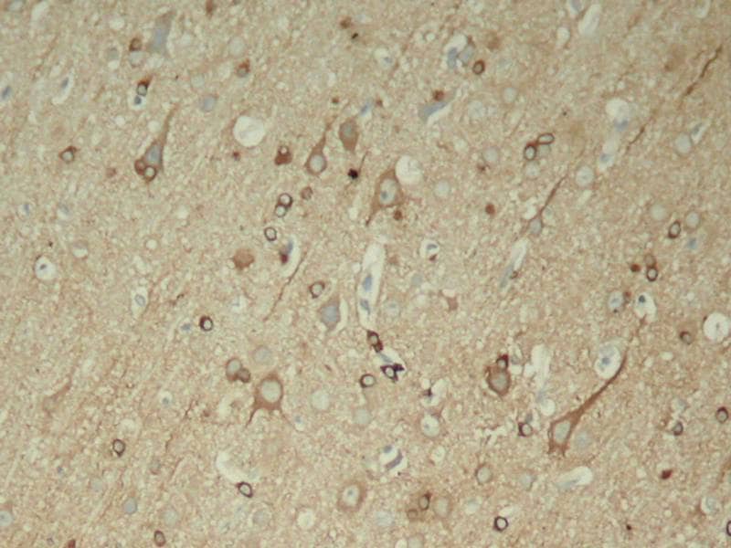
Immunohistochemistry: Tau [p Ser396] Antibody [NB100-82243] -

Immunohistochemistry: Tau [p Ser396] Antibody [NB100-82243] - Immunohistochemical analysis of paraffin-embedded rat hippocampal region tissue from a model with Alzheimer's Disease using NB100-82243.

Applications for Tau [p Ser396] Antibody - BSA Free

Application
Recommended Usage

Immunohistochemistry

1:50 - 1:100

Immunohistochemistry-Paraffin

1:50 - 1:100

Simple Western

1:1,000

Western Blot

1:500 - 1:1000
Application Notes
See Simple Western Antibody Database for Simple Western validation: separated by Size, antibody dilution of 1:1,000

Reviewed Applications

Read 1 review rated 4 using NB100-82243 in the following applications:

Formulation, Preparation, and Storage

Purification

Immunogen affinity purified

Formulation

PBS (without Mg2+ and Ca2+), pH 7.4, 150 mM NaCl, 50% glycerol

Format

BSA Free

Preservative

0.02% Sodium Azide

Concentration

1.0 mg/ml

Shipping

The product is shipped with polar packs. Upon receipt, store it immediately at the temperature recommended below.

Stability & Storage

Store at 4C short term. Aliquot and store at -20C long term. Avoid freeze-thaw cycles.

Background: Tau

Tau is a neuronal microtubule associated protein found predominantly on axons. The function of Tau is to promote tubulin polymerisation and stabilise microtubules, but it also serves to link certain signalling pathways to the cytoskeleton. Tau, in its hyperphosphorylated form, is the major component of paired helical filaments (PHF) and neurofibrillary lesions in Alzheimer's disease (AD) brain. Hyperphosphorylation impairs the microtubule binding function of Tau, resulting in the destabilisation of microtubules in AD brains, ultimately leading to the degeneration of the affected neurons. Hyperphosphorylated tau is also found in a range of other central nervous system disorders. Numerous serine/threonine kinases, including GSK3 beta, PKA, Cdk5, and casein kinase II can phosphorylate Tau.

Long Name

Microtubule-Associated Protein Tau

Alternate Names

MAPT, MSTD, MTBT1, Neurofibrillary tangle protein, PPND

Entrez Gene IDs

4137 (Human); 17762 (Mouse); 29477 (Rat)

Gene Symbol

MAPT

UniProt

Additional Tau Products

Product Documents for Tau [p Ser396] Antibody - BSA Free

Certificate of Analysis

To download a Certificate of Analysis, please enter a lot number in the search box below.

Product Specific Notices for Tau [p Ser396] Antibody - BSA Free

This product is for research use only and is not approved for use in humans or in clinical diagnosis. Primary Antibodies are guaranteed for 1 year from date of receipt.

Loading...
Loading...
Loading...
Loading...