Skip to main content

Tau [p Ser396] Antibody (SN62-09)

Novus Biologicals, part of Bio-Techne | Catalog # NBP2-67702

Recombinant Monoclonal Antibody
Novus Biologicals, part of Bio-Techne
Catalog #
Availability
Size / Price
Qty
Loading...
NBP2-67702

Key Product Details

Validated by

Biological Validation

Species Reactivity

Human, Mouse, Rat

Applications

Validated:

Immunohistochemistry, Immunohistochemistry-Paraffin, Immunohistochemistry-Frozen, Western Blot, Immunocytochemistry/ Immunofluorescence

Cited:

Western Blot

Label

Unconjugated

Antibody Source

Recombinant Monoclonal Rabbit IgG Clone # SN62-09 expressed in HEK293

Concentration

1 mg/ml

Product Specifications

Immunogen

Synthetic phospho-peptide corresponding to residues surrounding Ser396 of human Tau. (SwissProt: P10636 Human; SwissProt: P10637 Mouse; SwissProt: P19332 Rat)

Modification

p Ser396

Localization

Cell membrane, Cell projection, Cytoplasm, Cytoskeleton, Membrane, Microtubule, Secreted.

Clonality

Monoclonal

Host

Rabbit

Isotype

IgG

Scientific Data Images for Tau [p Ser396] Antibody (SN62-09)

Western Blot: Tau [p Ser396] Antibody (SN62-09) [NBP2-67702] - Analysis of Tau (p Ser396) on SHSY5Y cell lysates. Lane 1: SHSY5Y cells, whole cell lysate, 10ug/lane Lane 2: SHSY5Y cells treated with 2.8ug/ul lambda-PP for 30 minutes, whole cell lysates, 10ug/lane All lanes : Anti-Tau (p Ser396) antibody at 1/500 dilution. Anti-GAPDH antibody at 1/10,000 dilution. Goat Anti-Rabbit IgG H&L (HRP) at 1/200,000 dilution. Predicted band size: 79 kDa Observed band size: 70/130 kDa Blocking and diluting buffer: 5% BSA. Exposure time: 2 minutes 34 seconds
Immunocytochemistry/Immunofluorescence: Tau [p Ser396] Antibody (SN62-09) [NBP2-67702] - Staining phospho -Tau(S396) in N2A cells (green). The nuclear counter stain is DAPI (blue). Cells were fixed in paraformaldehyde, permeabilised with 0.25% Triton X100/PBS.
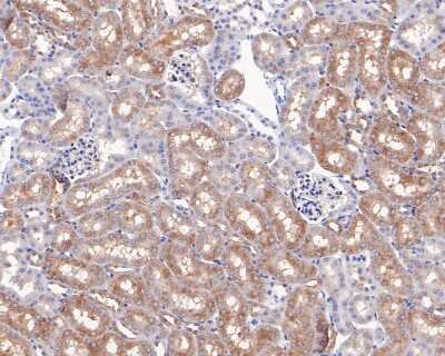
Immunohistochemistry-Paraffin: Tau [p Ser396] Antibody (SN62-09) [NBP2-67702] - Analysis of paraffin-embedded mouse kidney tissue with Rabbit anti-Tau [p Ser396] antibody washed with ddH2O and PBS, and then probed with the primary antibody at 1/200 dilution for 1 hour at room temperature. The detection was performed using an HRP conjugated compact polymer system. DAB was used as the chromogen. Tissues were counterstained with hematoxylin and mounted with DPX.

Applications for Tau [p Ser396] Antibody (SN62-09)

Application
Recommended Usage

Immunocytochemistry/ Immunofluorescence

1:100-1:500

Immunohistochemistry-Frozen

1:100

Immunohistochemistry-Paraffin

1:50-1:200

Western Blot

1:500-1:1000

Formulation, Preparation, and Storage

Purification

Protein A purified

Formulation

TBS (pH7.4), 0.05% BSA, 40% Glycerol

Preservative

0.05% Sodium Azide

Concentration

1 mg/ml

Shipping

The product is shipped with polar packs. Upon receipt, store it immediately at the temperature recommended below.

Stability & Storage

Store at 4C short term. Aliquot and store at -20C long term. Avoid freeze-thaw cycles.

Background: Tau

Tau is a microtubule binding protein that promotes microtubule assembly and stability. Tau is found to be the major component of the paired helical filaments (PHFs) found in the brains of patients with Alzheimer disease (AD) (1,2). Tau is hyperphosphorylated in PHFs, and specific phosphorylation sites have been implicated in the loss of Tau's association with the membrane cortex during AD disease state, including Ser 199/202, Thr 231, and Ser 393/404 (3). Glycogen synthase kinase-3, or GSK-3, phosphorylates Tau on Ser 396 (4).

Long Name

Microtubule-Associated Protein Tau

Alternate Names

MAPT, MSTD, MTBT1, Neurofibrillary tangle protein, PPND

Gene Symbol

MAPT

Additional Tau Products

Product Documents for Tau [p Ser396] Antibody (SN62-09)

Certificate of Analysis

To download a Certificate of Analysis, please enter a lot number in the search box below.

Product Specific Notices for Tau [p Ser396] Antibody (SN62-09)

This product is for research use only and is not approved for use in humans or in clinical diagnosis. Primary Antibodies are guaranteed for 1 year from date of receipt.

Loading...
Loading...
Loading...
Loading...