Skip to main content

SYTL4 Antibody - BSA Free

Novus Biologicals, part of Bio-Techne | Catalog # NBP3-45305

Novus Biologicals, part of Bio-Techne
Catalog #
Availability
Size / Price
Qty
Loading...
NBP3-45305

Key Product Details

Species Reactivity

Human, Mouse, Rat

Applications

ELISA, Immunohistochemistry, Western Blot

Label

Unconjugated

Antibody Source

Polyclonal Rabbit IgG

Format

BSA Free

Concentration

Please see the vial label for concentration. If unlisted please contact technical services.

Product Specifications

Immunogen

synaptotagmin-like 4. (Uniprot# Q96C24)

Clonality

Polyclonal

Host

Rabbit

Isotype

IgG

Theoretical MW

76 kDa.
Disclaimer note: The observed molecular weight of the protein may vary from the listed predicted molecular weight due to post translational modifications, post translation cleavages, relative charges, and other experimental factors.

Description

Novus Biologicals Rabbit SYTL4 Antibody - BSA Free (NBP3-45305) is a polyclonal antibody validated for use in IHC, WB and ELISA. All Novus Biologicals antibodies are covered by our 100% guarantee.

Scientific Data Images for SYTL4 Antibody - BSA Free

SYTL4 Antibody - BSA Free

Western Blot: SYTL4 Antibody - BSA Free [NBP3-45305] -

Western Blot: SYTL4 Antibody - BSA Free [NBP3-45305] - Transfected HEK-293 cells were subjected to SDS PAGE followed by western blot with (SYTL4 Antibody) at dilution of 1:800
SYTL4 Antibody - BSA Free

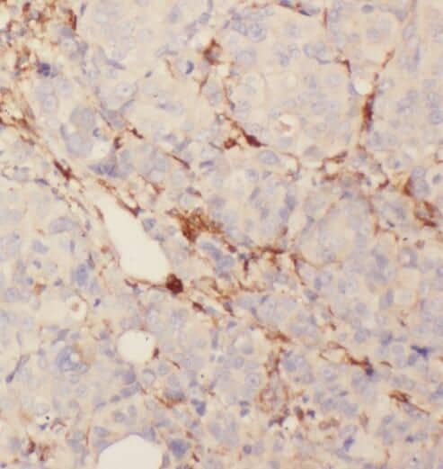
Immunohistochemistry: SYTL4 Antibody - BSA Free [NBP3-45305] -

Immunohistochemistry: SYTL4 Antibody - BSA Free [NBP3-45305] - Immunohistochemistry of paraffin-embedded human breast cancer using (SYTL4 antibody) at dilution of 1:50

Applications for SYTL4 Antibody - BSA Free

Application
Recommended Usage

Immunohistochemistry

1:20-1:200

Western Blot

1:500-1:2000

Formulation, Preparation, and Storage

Purification

Immunogen affinity purified

Formulation

PBS, 50% Glycerol, pH (7.3)

Format

BSA Free

Preservative

0.02% Sodium Azide

Concentration

Please see the vial label for concentration. If unlisted please contact technical services.

Shipping

The product is shipped with polar packs. Upon receipt, store it immediately at the temperature recommended below.

Stability & Storage

Store at -20C. Avoid freeze-thaw cycles.

Background: SYTL4

Modulates exocytosis of dense-core granules and secretion of hormones in the pancreas and the pituitary.Interacts with vesicles containing negatively charged phospholipids in a Ca(2+)-independent manner

Alternate Names

DKFZp451P0116, Exophilin-2, FLJ40960, Granuphilin, granuphilin-a, SLP4, synaptotagmin-like 4, synaptotagmin-like protein 4

Gene Symbol

SYTL4

Additional SYTL4 Products

Product Documents for SYTL4 Antibody - BSA Free

Certificate of Analysis

To download a Certificate of Analysis, please enter a lot number in the search box below.

Product Specific Notices for SYTL4 Antibody - BSA Free

This product is for research use only and is not approved for use in humans or in clinical diagnosis. Primary Antibodies are guaranteed for 1 year from date of receipt.

Loading...
Loading...
Loading...
Loading...