Skip to main content

SYTL4 Antibody - BSA Free

Novus Biologicals, part of Bio-Techne | Catalog # NBP1-86174

Novus Biologicals, part of Bio-Techne
Catalog #
Availability
Size / Price
Qty
Loading...
NBP1-86174
NBP1-86174-25ul

Key Product Details

Validated by

Knockout/Knockdown

Species Reactivity

Human

Applications

Immunohistochemistry, Immunohistochemistry-Paraffin, Western Blot, Immunocytochemistry/ Immunofluorescence, Knockdown Validated

Label

Unconjugated

Antibody Source

Polyclonal Rabbit IgG

Format

BSA Free

Concentration

Concentrations vary lot to lot. See vial label for concentration. If unlisted please contact technical services.

Product Specifications

Immunogen

This antibody was developed against Recombinant Protein corresponding to amino acids: RLKNELLEIKRKGAKRGSQHYSDRTCARCQESLGRLSPKTNTCRGCNHLVCRDCRIQESNGTWRCKVCAKEIELKKATGDWFYDQKVNRFAYRTGSEIIRMSLRHKPAVSKRETVGQSLLHQTQMGDIWPGRKIIQERQKEPSVLFEVP

Reactivity Notes

Immunogen displays the following percentage of sequence identity for non-tested species: Mouse (87%), Rat (89%)

Clonality

Polyclonal

Host

Rabbit

Isotype

IgG

Description

Novus Biologicals Rabbit SYTL4 Antibody - BSA Free (NBP1-86174) is a polyclonal antibody validated for use in IHC, WB and ICC/IF. All Novus Biologicals antibodies are covered by our 100% guarantee.

Scientific Data Images for SYTL4 Antibody - BSA Free

Immunohistochemistry-Paraffin: SYTL4 Antibody [NBP1-86174]

Immunohistochemistry-Paraffin: SYTL4 Antibody [NBP1-86174]

Immunohistochemistry-Paraffin: SYTL4 Antibody [NBP1-86174] - Staining of human cerebral cortex shows weak to moderate cytoplasmic positivity in neurons.
Immunohistochemistry-Paraffin: SYTL4 Antibody [NBP1-86174]

Immunohistochemistry-Paraffin: SYTL4 Antibody [NBP1-86174]

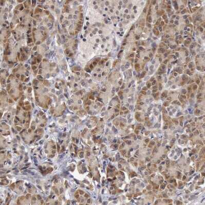
Immunohistochemistry-Paraffin: SYTL4 Antibody [NBP1-86174] - Staining of human pancreas shows moderate cytoplasmic positivity in exocrine glandular cells.
Immunohistochemistry-Paraffin: SYTL4 Antibody [NBP1-86174]

Immunohistochemistry-Paraffin: SYTL4 Antibody [NBP1-86174]

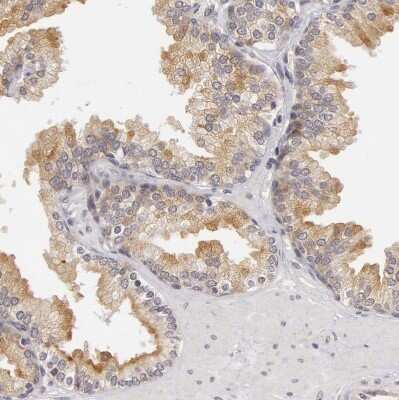
Immunohistochemistry-Paraffin: SYTL4 Antibody [NBP1-86174] - Staining of human prostate shows weak to moderate cytoplasmic positivity in glandular cells.

Applications for SYTL4 Antibody - BSA Free

Application
Recommended Usage

Immunocytochemistry/ Immunofluorescence

0.25-2 ug/ml

Immunohistochemistry

1:50 - 1:200

Immunohistochemistry-Paraffin

1:50 - 1:200

Western Blot

0.04-0.4 ug/ml
Application Notes
For IHC-Paraffin, HIER pH 6 retrieval is recommended. ICC/IF Fixation Permeabilization: Use PFA/Triton X-100.

Formulation, Preparation, and Storage

Purification

Immunogen affinity purified

Formulation

PBS (pH 7.2) and 40% Glycerol

Format

BSA Free

Preservative

0.02% Sodium Azide

Concentration

Concentrations vary lot to lot. See vial label for concentration. If unlisted please contact technical services.

Shipping

The product is shipped with polar packs. Upon receipt, store it immediately at the temperature recommended below.

Stability & Storage

Store at 4C short term. Aliquot and store at -20C long term. Avoid freeze-thaw cycles.

Background: SYTL4

Modulates exocytosis of dense-core granules and secretion of hormones in the pancreas and the pituitary.Interacts with vesicles containing negatively charged phospholipids in a Ca(2+)-independent manner

Alternate Names

DKFZp451P0116, Exophilin-2, FLJ40960, Granuphilin, granuphilin-a, SLP4, synaptotagmin-like 4, synaptotagmin-like protein 4

Gene Symbol

SYTL4

Additional SYTL4 Products

Product Documents for SYTL4 Antibody - BSA Free

Certificate of Analysis

To download a Certificate of Analysis, please enter a lot number in the search box below.

Product Specific Notices for SYTL4 Antibody - BSA Free

This product is for research use only and is not approved for use in humans or in clinical diagnosis. Primary Antibodies are guaranteed for 1 year from date of receipt.

Loading...
Loading...
Loading...
Loading...