Skip to main content

Syntaxin 7 Antibody (CL0257) - BSA Free

Novus Biologicals, part of Bio-Techne | Catalog # NBP2-52893

Novus Biologicals, part of Bio-Techne
Catalog #
Availability
Size / Price
Qty
Loading...
NBP2-52893
NBP2-52893-25ul

Key Product Details

Validated by

Orthogonal Validation

Species Reactivity

Validated:

Human

Predicted:

Mouse (97%), Rat (94%). Backed by our 100% Guarantee.

Applications

Immunocytochemistry/ Immunofluorescence, Immunohistochemistry, Immunohistochemistry-Paraffin, Western Blot

Label

Unconjugated

Antibody Source

Monoclonal Mouse IgG1 Clone # CL0257

Format

BSA Free

Concentration

Concentrations vary lot to lot. See vial label for concentration. If unlisted please contact technical services.

Product Specifications

Immunogen

This antibody was developed using a recombinant protein derived from O15400, with the exact immunogen sequence remaining proprietary.

Reactivity Notes

Please note that this antibody is reactive to Mouse and derived from the same host, Mouse. Mouse-On-Mouse blocking reagent may be needed for IHC and ICC experiments to reduce high background signal. You can find these reagents under catalog numbers PK-2200-NB and MP-2400-NB. Please contact Technical Support if you have any questions

Clonality

Monoclonal

Host

Mouse

Isotype

IgG1

Description

Novus Biologicals Mouse Syntaxin 7 Antibody (CL0257) - BSA Free (NBP2-52893) is a monoclonal antibody validated for use in IHC, WB and ICC/IF. All Novus Biologicals antibodies are covered by our 100% guarantee.

Scientific Data Images for Syntaxin 7 Antibody (CL0257) - BSA Free

Syntaxin 7 Antibody (CL0257)

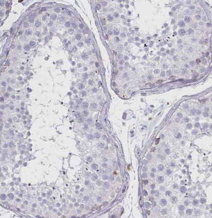
Immunohistochemistry-Paraffin-Syntaxin 7 Antibody (CL0257)-NBP2-52893-

Immunohistochemistry-Paraffin-Syntaxin 7 Antibody (CL0257)-NBP2-52893- Analysis in human lymph node and testis tissues using NBP2-52893 antibody. Corresponding STX7 RNA-seq data are presented for the same tissues.
Western Blot: Syntaxin 7 Antibody (CL0257) [NBP2-52893]

Western Blot: Syntaxin 7 Antibody (CL0257) [NBP2-52893]

Western Blot: Syntaxin 7 Antibody (CL0257) [NBP2-52893] - Lane 1: Marker [kDa], Lane 2: Human tonsil tissue lysate
Immunocytochemistry/ Immunofluorescence: Syntaxin 7 Antibody (CL0257) [NBP2-52893]

Immunocytochemistry/ Immunofluorescence: Syntaxin 7 Antibody (CL0257) [NBP2-52893]

Immunocytochemistry/Immunofluorescence: Syntaxin 7 Antibody (CL0257) [NBP2-52893] - Staining of U-251 cells using the Anti-STX7 monoclonal antibody, showing specific staining in vesicles in green. Microtubule- and nuclear probes are visualized in red and blue, respectively (where available).

Applications for Syntaxin 7 Antibody (CL0257) - BSA Free

Application
Recommended Usage

Immunocytochemistry/ Immunofluorescence

2-10 ug/ml

Immunohistochemistry

1:500 - 1:1000

Immunohistochemistry-Paraffin

1:500 - 1:1000

Western Blot

1 ug/ml
Application Notes
For IHC-Paraffin, HIER pH 6 retrieval is recommended. For ICC/IF, PFA/Triton X-100 is recommended for fixation/permeabilization.

Formulation, Preparation, and Storage

Purification

Protein A purified

Formulation

PBS (pH 7.2) and 40% Glycerol

Format

BSA Free

Preservative

0.02% Sodium Azide

Concentration

Concentrations vary lot to lot. See vial label for concentration. If unlisted please contact technical services.

Shipping

The product is shipped with polar packs. Upon receipt, store it immediately at the temperature recommended below.

Stability & Storage

Store at 4C short term. Aliquot and store at -20C long term. Avoid freeze-thaw cycles.

Background: Syntaxin 7

Syntaxin 7 is involved in the ordered fusion of endosomes and lysosomes with the phagosome, where phagocytic cells kill and degrade internalized foreign particles. Syntaxin 7 is found in late endosomes and lysosomes; whereas Syntaxin 12 is localized to the recycling endosome compartment, both are recruited to the phagosome. However, STX12 is acquired earlier before rapidly recycling off the phagosome, whereas STX7 is recruited later and continues to accumulate throughout the phagosome maturation process.

Alternate Names

STX7

Gene Symbol

STX7

Additional Syntaxin 7 Products

Product Documents for Syntaxin 7 Antibody (CL0257) - BSA Free

Certificate of Analysis

To download a Certificate of Analysis, please enter a lot number in the search box below.

Product Specific Notices for Syntaxin 7 Antibody (CL0257) - BSA Free

This product is for research use only and is not approved for use in humans or in clinical diagnosis. Primary Antibodies are guaranteed for 1 year from date of receipt.

Loading...
Loading...
Loading...
Loading...