Skip to main content

SYCE2 Antibody - BSA Free

Novus Biologicals, part of Bio-Techne | Catalog # NBP1-90637

Novus Biologicals, part of Bio-Techne
Catalog #
Availability
Size / Price
Qty
Loading...
NBP1-90637
NBP1-90637-25ul

Key Product Details

Validated by

Orthogonal Validation

Species Reactivity

Human

Applications

Immunohistochemistry, Immunohistochemistry-Paraffin

Label

Unconjugated

Antibody Source

Polyclonal Rabbit IgG

Format

BSA Free

Concentration

Concentrations vary lot to lot. See vial label for concentration. If unlisted please contact technical services.

Product Specifications

Immunogen

This antibody was developed against Recombinant Protein corresponding to amino acids: IDILQKRAQELIENINKSRQKDHALMTNFRNSLKTKVSDLTEKLEERIYQIYNDHNKIIQEKLQEFTQK

Reactivity Notes

Immunogen displays the following percentage of sequence identity for non-tested species: Mouse (81%), Rat (81%)

Clonality

Polyclonal

Host

Rabbit

Isotype

IgG

Scientific Data Images for SYCE2 Antibody - BSA Free

Immunohistochemistry-Paraffin: SYCE2 Antibody [NBP1-90637]

Immunohistochemistry-Paraffin: SYCE2 Antibody [NBP1-90637]

Immunohistochemistry-Paraffin: SYCE2 Antibody [NBP1-90637] - Staining in human testis and kidney tissues using anti-SYCE2 antibody. Corresponding SYCE2 RNA-seq data are presented for the same tissues.
Immunohistochemistry-Paraffin: SYCE2 Antibody [NBP1-90637]

Immunohistochemistry-Paraffin: SYCE2 Antibody [NBP1-90637]

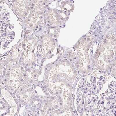
Immunohistochemistry-Paraffin: SYCE2 Antibody [NBP1-90637] - Staining of human kidney shows low expression as expected.
Immunohistochemistry-Paraffin: SYCE2 Antibody [NBP1-90637]

Immunohistochemistry-Paraffin: SYCE2 Antibody [NBP1-90637]

Immunohistochemistry-Paraffin: SYCE2 Antibody [NBP1-90637] - Staining of human testis shows high expression.

Applications for SYCE2 Antibody - BSA Free

Application
Recommended Usage

Immunohistochemistry

1:1000 - 1:2500

Immunohistochemistry-Paraffin

1:1000 - 1:2500
Application Notes
IHC-Paraffin, HIER pH 6 retrieval is recommended.

Formulation, Preparation, and Storage

Purification

Affinity purified

Formulation

PBS (pH 7.2) and 40% Glycerol

Format

BSA Free

Preservative

0.02% Sodium Azide

Concentration

Concentrations vary lot to lot. See vial label for concentration. If unlisted please contact technical services.

Shipping

The product is shipped with polar packs. Upon receipt, store it immediately at the temperature recommended below.

Stability & Storage

Store at 4C short term. Aliquot and store at -20C long term. Avoid freeze-thaw cycles.

Background: SYCE2

Alternate Names

central element synaptonemal complex 1, central element synaptonemal complex protein 1, CESC1, synaptonemal complex central element protein 2

Gene Symbol

SYCE2

Additional SYCE2 Products

Product Documents for SYCE2 Antibody - BSA Free

Certificate of Analysis

To download a Certificate of Analysis, please enter a lot number in the search box below.

Product Specific Notices for SYCE2 Antibody - BSA Free

This product is for research use only and is not approved for use in humans or in clinical diagnosis. Primary Antibodies are guaranteed for 1 year from date of receipt.

Loading...
Loading...
Loading...
Loading...