Skip to main content

Surf1 Antibody - BSA Free

Novus Biologicals, part of Bio-Techne | Catalog # NBP3-45778

Novus Biologicals, part of Bio-Techne
Catalog #
Availability
Size / Price
Qty
Loading...
NBP3-45778

Key Product Details

Species Reactivity

Human, Mouse, Rat

Applications

ELISA, Immunohistochemistry, Western Blot

Label

Unconjugated

Antibody Source

Polyclonal Rabbit IgG

Format

BSA Free

Concentration

Please see the vial label for concentration. If unlisted please contact technical services.

Product Specifications

Immunogen

surfeit 1. (Uniprot# Q15526)

Clonality

Polyclonal

Host

Rabbit

Isotype

IgG

Theoretical MW

33 kDa.
Disclaimer note: The observed molecular weight of the protein may vary from the listed predicted molecular weight due to post translational modifications, post translation cleavages, relative charges, and other experimental factors.

Description

Novus Biologicals Rabbit Surf1 Antibody - BSA Free (NBP3-45778) is a polyclonal antibody validated for use in IHC, WB and ELISA. All Novus Biologicals antibodies are covered by our 100% guarantee.

Scientific Data Images for Surf1 Antibody - BSA Free

Surf1 Antibody - BSA Free

Western Blot: Surf1 Antibody - BSA Free [NBP3-45778] -

Western Blot: Surf1 Antibody - BSA Free [NBP3-45778] - Human heart tissue were subjected to SDS PAGE followed by western blot with (Surf1 antibody) at dilution of 1:1000
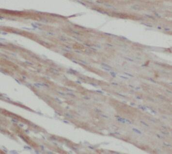
Surf1 Antibody - BSA Free

Immunohistochemistry: Surf1 Antibody - BSA Free [NBP3-45778] -

Immunohistochemistry: Surf1 Antibody - BSA Free [NBP3-45778] - Immunohistochemistry of paraffin-embedded human heart using (Surf1 antibody) at dilution of 1:50

Applications for Surf1 Antibody - BSA Free

Application
Recommended Usage

Immunohistochemistry

1:50 - 1:200

Western Blot

1:500 - 1:2000

Formulation, Preparation, and Storage

Purification

Immunogen affinity purified

Formulation

PBS, 50% Glycerol, pH (7.3)

Format

BSA Free

Preservative

0.02% Sodium Azide

Concentration

Please see the vial label for concentration. If unlisted please contact technical services.

Shipping

The product is shipped with polar packs. Upon receipt, store it immediately at the temperature recommended below.

Stability & Storage

Store at -20C. Avoid freeze-thaw cycles.

Background: Surf1

The Surf1 gene encodes a protein localized to the inner mitochondrial membrane and thought to be involved in the biogenesis of the cytochrome c oxidase complex. The protein is a member of the SURF1 family, which includes the related yeast protein SHY1 and rick

Alternate Names

SURF-1, surfeit 1, surfeit locus protein 1

Gene Symbol

SURF1

Additional Surf1 Products

Product Documents for Surf1 Antibody - BSA Free

Certificate of Analysis

To download a Certificate of Analysis, please enter a lot number in the search box below.

Product Specific Notices for Surf1 Antibody - BSA Free

This product is for research use only and is not approved for use in humans or in clinical diagnosis. Primary Antibodies are guaranteed for 1 year from date of receipt.

Loading...
Loading...
Loading...
Loading...