Skip to main content

STRA6 Antibody - BSA Free

Novus Biologicals, part of Bio-Techne | Catalog # NBP1-83719

Novus Biologicals, part of Bio-Techne
Catalog #
Availability
Size / Price
Qty
Loading...
NBP1-83719
NBP1-83719-25ul

Key Product Details

Species Reactivity

Human

Applications

Validated:

Immunohistochemistry, Immunohistochemistry-Paraffin, Western Blot, Immunocytochemistry/ Immunofluorescence

Cited:

Western Blot, Block/Neutralize

Label

Unconjugated

Antibody Source

Polyclonal Rabbit IgG

Format

BSA Free

Concentration

Concentrations vary lot to lot. See vial label for concentration. If unlisted please contact technical services.

Product Specifications

Immunogen

This antibody was developed against Recombinant Protein corresponding to amino acids: YYTYRNFLKIEVSQSHPAMTAFCSLLLQAQSLLPRTMAAPQDSLRPGEEDEGMQLLQTKDSMAKGARPGASRGRARWGLAYTLLHNPTLQVFRKTALLGANGAQP

Clonality

Polyclonal

Host

Rabbit

Isotype

IgG

Description

Novus Biologicals Rabbit STRA6 Antibody - BSA Free (NBP1-83719) is a polyclonal antibody validated for use in IHC, WB and ICC/IF. Anti-STRA6 Antibody: Cited in 1 publication. All Novus Biologicals antibodies are covered by our 100% guarantee.

Scientific Data Images for STRA6 Antibody - BSA Free

Immunocytochemistry/ Immunofluorescence: STRA6 Antibody [NBP1-83719]

Immunocytochemistry/ Immunofluorescence: STRA6 Antibody [NBP1-83719]

Immunocytochemistry/Immunofluorescence: STRA6 Antibody [NBP1-83719] - Immunofluorescent staining of human cell line A549 shows localization to nucleus & cytosol.
Immunohistochemistry-Paraffin: STRA6 Antibody [NBP1-83719]

Immunohistochemistry-Paraffin: STRA6 Antibody [NBP1-83719]

Immunohistochemistry-Paraffin: STRA6 Antibody [NBP1-83719] - Staining of human cerebellum shows no positivity in Purkinje cells as expected.
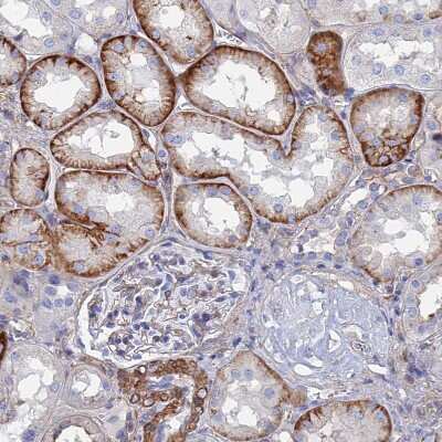
Immunohistochemistry-Paraffin: STRA6 Antibody [NBP1-83719]

Immunohistochemistry-Paraffin: STRA6 Antibody [NBP1-83719]

Immunohistochemistry-Paraffin: STRA6 Antibody [NBP1-83719] - Staining of human kidney shows strong membranous positivity in cells in tubules.

Applications for STRA6 Antibody - BSA Free

Application
Recommended Usage

Immunocytochemistry/ Immunofluorescence

0.25-2 ug/ml

Immunohistochemistry

1:200 - 1:500

Immunohistochemistry-Paraffin

1:200 - 1:500

Western Blot

0.04-0.4 ug/ml
Application Notes
For IHC-Paraffin, HIER pH 6 retrieval is recommended. ICC/IF Fixation Permeabilization: Use PFA/Triton X-100.

Formulation, Preparation, and Storage

Purification

Affinity purified

Formulation

PBS (pH 7.2) and 40% Glycerol

Format

BSA Free

Preservative

0.02% Sodium Azide

Concentration

Concentrations vary lot to lot. See vial label for concentration. If unlisted please contact technical services.

Shipping

The product is shipped with polar packs. Upon receipt, store it immediately at the temperature recommended below.

Stability & Storage

Store at 4C short term. Aliquot and store at -20C long term. Avoid freeze-thaw cycles.

Background: STRA6

The protein encoded by the STRA6 gene is a membrane protein involved in the metabolism of retinol. The encoded protein actsas a receptor for retinol/retinol binding protein complexes. This protein removes the retinol from the complex andtransports it across the cell membrane. Defects in this gene are a cause of syndromic microphthalmia type 9 (MCOPS9).Several transcript variants encoding a few different isoforms have been found for this gene. (provided by RefSeq)

Long Name

Stimulated by Retinoic Acid Gene 6 Protein Homolog

Alternate Names

MCOPS9

Gene Symbol

STRA6

Additional STRA6 Products

Product Documents for STRA6 Antibody - BSA Free

Certificate of Analysis

To download a Certificate of Analysis, please enter a lot number in the search box below.

Product Specific Notices for STRA6 Antibody - BSA Free

This product is for research use only and is not approved for use in humans or in clinical diagnosis. Primary Antibodies are guaranteed for 1 year from date of receipt.

Loading...
Loading...
Loading...
Loading...