Skip to main content

STK33 Antibody - BSA Free

Novus Biologicals, part of Bio-Techne | Catalog # NBP1-54156

Novus Biologicals, part of Bio-Techne

Key Product Details

Species Reactivity

Human, Mouse

Applications

Immunocytochemistry/ Immunofluorescence, Immunohistochemistry, Immunohistochemistry-Paraffin, Western Blot

Label

Unconjugated

Antibody Source

Polyclonal Rabbit IgG

Format

BSA Free

Concentration

0.65 mg/ml

Product Specifications

Immunogen

A genomic peptide made to an internal region of the human STK33 (within residues 1-150). [Swiss-Prot Q9BYT3]

Localization

Cytoplasm - perinuclear region.

Clonality

Polyclonal

Host

Rabbit

Isotype

IgG

Description

Novus Biologicals Rabbit STK33 Antibody - BSA Free (NBP1-54156) is a polyclonal antibody validated for use in IHC, WB and ICC/IF. All Novus Biologicals antibodies are covered by our 100% guarantee.

Scientific Data Images for STK33 Antibody - BSA Free

Western Blot: STK33 AntibodyBSA Free [NBP1-54156]

Western Blot: STK33 AntibodyBSA Free [NBP1-54156]

Western Blot: STK33 Antibody [NBP1-54156] - Detection of Stk33 in HEK293 cell lysate.
Immunocytochemistry/ Immunofluorescence: STK33 Antibody - BSA Free [NBP1-54156]

Immunocytochemistry/ Immunofluorescence: STK33 Antibody - BSA Free [NBP1-54156]

Immunocytochemistry/Immunofluorescence: STK33 Antibody [NBP1-54156] - ICC staining of STK33 in HEK293 cells with FITC (green). Nuclei were counterstained with Dapi (blue).
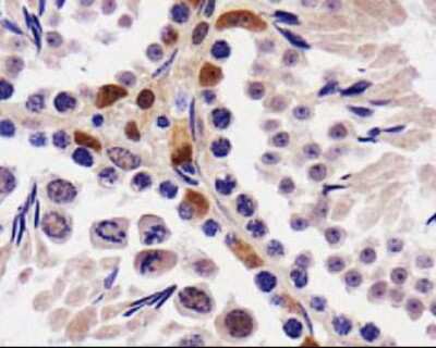
Immunohistochemistry: STK33 Antibody - BSA Free [NBP1-54156]

Immunohistochemistry: STK33 Antibody - BSA Free [NBP1-54156]

Immunohistochemistry: STK33 Antibody [NBP1-54156] - IHC staining of STK33 in mouse testis.

Applications for STK33 Antibody - BSA Free

Application
Recommended Usage

Immunocytochemistry/ Immunofluorescence

1:50

Immunohistochemistry

1:100

Immunohistochemistry-Paraffin

1:100

Western Blot

1:2000
Application Notes
This STK33 antibody is useful for ICC/IF, IHC and Western blot where a doublet is seen ~57 kDa. Prior to immunostaining paraffin tissues, antigen retrieval with sodium citrate buffer (pH 6.0) is recommended.

Formulation, Preparation, and Storage

Purification

Immunogen affinity purified

Formulation

PBS and 30% Glycerol

Format

BSA Free

Preservative

0.05% Sodium Azide

Concentration

0.65 mg/ml

Shipping

The product is shipped with polar packs. Upon receipt, store it immediately at the temperature recommended below.

Stability & Storage

Store at 4C short term. Aliquot and store at -20C long term. Avoid freeze-thaw cycles.

Background: STK33

STK33 (serine/threonine-protein kinase 33) belongs to Ca2+/calmodulin-dependent kinase family (CAMK) and mainly play role in the dynamic behavior of intermediate filament cytoskeleton by phosphorylation of vimentin. STK33 undergoes compulsory autophosphorylation and then phosphorylates vimentin in vitro specifically in the vimentin head domain. STK33 and vimentin have been shown to be interacting protein partners in vivo also and STK33 has been proposed to be involved in the dynamics of intermediate filament assembly/disassembly via vimentin phosphorylation. Downregulation of STK33 by RNAi or inhibition of its kinase activity by overexpression of a kinase dead (KD) K145M STK33 protein conferred a lethal phenotype to mutant KRAS cell lines. Suppression of STK33 expression by either method resulted in inhibition of p70S6K and RPS6 phosphorylation but had no effect on the phosphorylation of AKT, ERK1/2, or mTOR, suggesting that STK33 is downstream from these nodes, but upstream from p70S6K.

Long Name

Serine/threonine-protein kinase 33

Alternate Names

EC 2.7.11, EC 2.7.11.1, serine/threonine kinase 33, serine/threonine-protein kinase 33

Entrez Gene IDs

65975 (Human); 117229 (Mouse)

Gene Symbol

STK33

Additional STK33 Products

Product Documents for STK33 Antibody - BSA Free

Certificate of Analysis

To download a Certificate of Analysis, please enter a lot number in the search box below.

Product Specific Notices for STK33 Antibody - BSA Free

Manufactured by Genomic Antibody Technology™. GAT FAQs

This product is for research use only and is not approved for use in humans or in clinical diagnosis. Primary Antibodies are guaranteed for 1 year from date of receipt.

Loading...
Loading...
Loading...
Loading...