STIM2 Antibody - BSA Free
Novus Biologicals, part of Bio-Techne | Catalog # NBP3-35783
Key Product Details
Species Reactivity
Human, Mouse, Rat
Applications
ELISA, Immunocytochemistry/ Immunofluorescence, Immunohistochemistry, Immunohistochemistry-Paraffin, Western Blot
Label
Unconjugated
Antibody Source
Polyclonal Rabbit IgG
Format
BSA Free
Concentration
Please see the vial label for concentration. If unlisted please contact technical services.
Product Specifications
Immunogen
Recombinant fusion protein containing a sequence corresponding to amino acids 60-180 of human STIM2 (NP_001162588).
Sequence:
CFTEEDRFSLEALQTIHKQMDDDKDGGIEVEESDEFIREDMKYKDATNKHSHLHREDKHITIEDLWKRWKTSEVHNWTLEDTLQWLIEFVELPQYEKNFRDNNVKGTTLPRIAVHEPSFMI
Sequence:
CFTEEDRFSLEALQTIHKQMDDDKDGGIEVEESDEFIREDMKYKDATNKHSHLHREDKHITIEDLWKRWKTSEVHNWTLEDTLQWLIEFVELPQYEKNFRDNNVKGTTLPRIAVHEPSFMI
Clonality
Polyclonal
Host
Rabbit
Isotype
IgG
Theoretical MW
84 kDa.
Disclaimer note: The observed molecular weight of the protein may vary from the listed predicted molecular weight due to post translational modifications, post translation cleavages, relative charges, and other experimental factors.
Disclaimer note: The observed molecular weight of the protein may vary from the listed predicted molecular weight due to post translational modifications, post translation cleavages, relative charges, and other experimental factors.
Description
Novus Biologicals Rabbit STIM2 Antibody - BSA Free (NBP3-35783) is a polyclonal antibody validated for use in IHC, WB, ELISA and ICC/IF. All Novus Biologicals antibodies are covered by our 100% guarantee.
Scientific Data Images for STIM2 Antibody - BSA Free
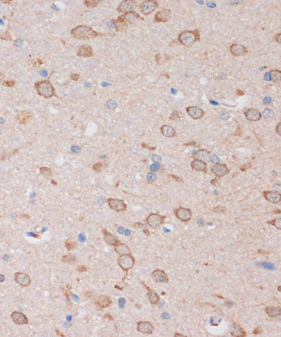
Immunohistochemistry: STIM2 Antibody [NBP3-35783] -
Immunohistochemistry: STIM2 Antibody [NBP3-35783] - Immunohistochemistry analysis of paraffin-embedded Mouse brain using STIM2 Rabbit pAb at dilution of 1:100 (40x lens). Microwave antigen retrieval performed with 0.01M PBS Buffer (pH 7.2) prior to IHC staining.Western Blot: STIM2 Antibody [NBP3-35783] -
Western Blot: STIM2 Antibody [NBP3-35783] - Western blot analysis of lysates from 293T cells, using STIM2 Rabbit pAb at 1:1000 dilution.Secondary antibody: HRP-conjugated Goat anti-Rabbit IgG (H+L) at 1:10000 dilution.
Lysates/proteins: 25ug per lane.
Blocking buffer: 3% nonfat dry milk in TBST.
Detection: ECL Basic Kit.
Exposure time: 30s.
Immunocytochemistry/ Immunofluorescence: STIM2 Antibody [NBP3-35783] -
Immunocytochemistry/ Immunofluorescence: STIM2 Antibody [NBP3-35783] - Immunofluorescence analysis of U-2 OS cells using STIM2 Rabbit pAb at dilution of 1:100. Secondary antibody: Cy3-conjugated Goat anti-Rabbit IgG (H+L) at 1:500 dilution. Blue: DAPI for nuclear staining.Applications for STIM2 Antibody - BSA Free
Application
Recommended Usage
Immunocytochemistry/ Immunofluorescence
1:50 - 1:200
Immunohistochemistry-Paraffin
1:50 - 1:200
Western Blot
1:500 - 1:2000
Formulation, Preparation, and Storage
Purification
Affinity purified
Formulation
PBS (pH 7.3), 50% glycerol
Format
BSA Free
Preservative
0.01% Thimerosal
Concentration
Please see the vial label for concentration. If unlisted please contact technical services.
Shipping
The product is shipped with polar packs. Upon receipt, store it immediately at the temperature recommended below.
Stability & Storage
Store at -20C. Avoid freeze-thaw cycles.
Background: STIM2
Alternate Names
FLJ39527, KIAA1482, stromal interaction molecule 2
Gene Symbol
STIM2
Additional STIM2 Products
Product Documents for STIM2 Antibody - BSA Free
Product Specific Notices for STIM2 Antibody - BSA Free
This product is for research use only and is not approved for use in humans or in clinical diagnosis. Primary Antibodies are guaranteed for 1 year from date of receipt.
Loading...
Loading...
Loading...
Loading...