Skip to main content

STIM2 Antibody - Azide and BSA Free

Novus Biologicals, part of Bio-Techne | Catalog # NBP2-44170

Novus Biologicals, part of Bio-Techne
Catalog #
Availability
Size / Price
Qty
Loading...
NBP2-44170
NBP2-44170-0.05mg

Key Product Details

Species Reactivity

Human

Applications

ELISA, Immunohistochemistry, Immunohistochemistry-Paraffin, Western Blot

Label

Unconjugated

Antibody Source

Polyclonal Sheep IgG

Format

Azide and BSA Free

Concentration

Please see the vial label for concentration. If unlisted please contact technical services.

Product Specifications

Immunogen

STIM2 Antibody was prepared from whole sheep serum produced by repeated immunizations with a synthetic peptide near the C-terminus of human STIM2. (Uniprot: Q9P246)

Reactivity Notes

A BLAST analysis was used to suggest cross-reactivity with mouse and human based on 100% sequence homology. Cross-reactivity with Stim II from other sources has not been determined.

Clonality

Polyclonal

Host

Sheep

Isotype

IgG

Description

This antibody was affinity purified from monospecific antiserum by immunoaffinity chromatography

Store vial at -20C prior to opening. Aliquot contents and freeze at -20C or below for extended storage. Avoid cycles of freezing and thawing. Centrifuge product if not completely clear after standing at room temperature. This product is stable for several weeks at 4C as an undiluted liquid. Dilute only prior to immediate use.

Scientific Data Images for STIM2 Antibody - Azide and BSA Free

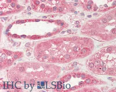
Immunohistochemistry-Paraffin: STIM2 Antibody [NBP2-44170]

Immunohistochemistry-Paraffin: STIM2 Antibody [NBP2-44170]

Immunohistochemistry-Paraffin: STIM2 Antibody [NBP2-44170] - Staining of human Kidney tissue:
STIM2 Antibody

STIM2 Antibody

Immunohistochemistry of Sheep STIM2 Antibody. Tissue: Kidney. Fixation: formalin fixed paraffin embedded. Antigen retrieval: not required. Primary antibody: STIM2 antibody at 5 ug/mL for 1 h at RT. Secondary antibody: Peroxidase sheep secondary antibody at 1:10,000 for 45 min at RT. Staining: STIM2 as precipitated red signal with hematoxylin purple nuclear counterstain.

Applications for STIM2 Antibody - Azide and BSA Free

Application
Recommended Usage

ELISA

1:10000

Immunohistochemistry

5 ug/ml

Immunohistochemistry-Paraffin

5 ug/ml

Western Blot

1ug/ml
Application Notes
This product is tested for ELISA and immunohistochemistry and suitable for Western Blot. Specific conditions for reactivity should be optimized by the end user. Expect a band approximately ~84kDa corresponding to the appropriate cell lysate or extract.

Formulation, Preparation, and Storage

Purification

Immunogen affinity purified

Formulation

0.02 M Potassium Phosphate, 0.15 M Sodium Chloride, pH 7.2, 30% Glycerol

Format

Azide and BSA Free

Preservative

No Preservative

Concentration

Please see the vial label for concentration. If unlisted please contact technical services.

Shipping

The product is shipped with polar packs. Upon receipt, store it immediately at the temperature recommended below.

Stability & Storage

Store at -20C short term. Aliquot and store at -80C long term. Avoid freeze-thaw cycles.

Background: STIM2

STIM2 is a member of the stromal interaction molecule (STIM) family and likely arose, with related family member STIM1, from a common ancestral gene. It encodes a type 1 transmembrane protein whose function is currently unknown, but is a likely adhesion molecule with a role in early hematopoiesis. Alternative translation initiation from an AUG and a non-AUG (UUG) start site results in the production of two different isoforms.

Alternate Names

FLJ39527, KIAA1482, stromal interaction molecule 2

Gene Symbol

STIM2

UniProt

Additional STIM2 Products

Product Documents for STIM2 Antibody - Azide and BSA Free

Certificate of Analysis

To download a Certificate of Analysis, please enter a lot number in the search box below.

Product Specific Notices for STIM2 Antibody - Azide and BSA Free

This product is for research use only and is not approved for use in humans or in clinical diagnosis. Primary Antibodies are guaranteed for 1 year from date of receipt.

Loading...
Loading...
Loading...
Loading...