Skip to main content

Staufen Antibody - BSA Free

Novus Biologicals, part of Bio-Techne | Catalog # NBP2-20508

Novus Biologicals, part of Bio-Techne
Catalog #
Availability
Size / Price
Qty
Loading...
NBP2-20508

Key Product Details

Species Reactivity

Validated:

Human

Predicted:

Rhesus Macaque (99%). Backed by our 100% Guarantee.

Applications

Immunohistochemistry, Immunohistochemistry-Paraffin, Western Blot, Immunocytochemistry/ Immunofluorescence

Label

Unconjugated

Antibody Source

Polyclonal Rabbit IgG

Format

BSA Free

Concentration

Concentrations vary lot to lot. See vial label for concentration. If unlisted please contact technical services.

Product Specifications

Immunogen

Recombinant protein encompassing a sequence within the center region of human Staufen. The exact sequence is proprietary.

Reactivity Notes

Mouse (86%), Rat (86%), Chicken (86%).

Localization

Rough endoplasmic reticulum

Clonality

Polyclonal

Host

Rabbit

Isotype

IgG

Theoretical MW

63 kDa.
Disclaimer note: The observed molecular weight of the protein may vary from the listed predicted molecular weight due to post translational modifications, post translation cleavages, relative charges, and other experimental factors.

Description

Novus Biologicals Rabbit Staufen Antibody - BSA Free (NBP2-20508) is a polyclonal antibody validated for use in IHC, WB and ICC/IF. All Novus Biologicals antibodies are covered by our 100% guarantee.

Scientific Data Images for Staufen Antibody - BSA Free

Western Blot: Staufen Antibody [NBP2-20508]

Western Blot: Staufen Antibody [NBP2-20508]

Western Blot: Staufen Antibody [NBP2-20508] - Sample (30 ug of whole cell lysate) A: Raji 7. 5% SDS PAGE gel, diluted at 1:1000.
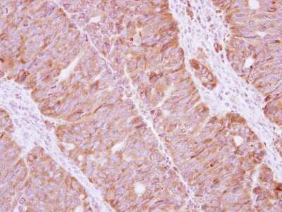
Immunohistochemistry-Paraffin: Staufen Antibody [NBP2-20508]

Immunohistochemistry-Paraffin: Staufen Antibody [NBP2-20508]

Immunohistochemistry-Paraffin: Staufen Antibody [NBP2-20508] - Immunohistochemical analysis of paraffin-embedded Colon ca, using antibody at 1:500 dilution.
Staufen Antibody - BSA Free

Immunocytochemistry/ Immunofluorescence: Staufen Antibody [NBP2-20508] -

Staufen antibody detects Staufen protein at cytoplasm by immunofluorescent analysis.
Sample: A431 cells were fixed in ice-cold MeOH for 5 min.
Green: Staufen protein stained by Staufen antibody (NBP2-20508) diluted at 1:500.
Blue: Hoechst 33342 staining.
Scale bar = 10 um.

Applications for Staufen Antibody - BSA Free

Application
Recommended Usage

Immunocytochemistry/ Immunofluorescence

1:100-1:1000

Immunohistochemistry

1:100-1:1000

Immunohistochemistry-Paraffin

1:100-1:1000

Western Blot

1:500-1:3000

Formulation, Preparation, and Storage

Purification

Antigen Affinity-purified

Formulation

0.1M Tris, 0.1M Glycine, 20% Glycerol

Format

BSA Free

Preservative

0.01% Thimerosal

Concentration

Concentrations vary lot to lot. See vial label for concentration. If unlisted please contact technical services.

Shipping

The product is shipped with polar packs. Upon receipt, store it immediately at the temperature recommended below.

Stability & Storage

Aliquot and store at -20C or -80C. Avoid freeze-thaw cycles.

Background: Staufen

Staufen is a member of the family of double-stranded RNA (dsRNA)-binding proteins involved in the transport and/or localization of mRNAs to different subcellular compartments and/or organelles. These proteins are characterized by the presence of multiple dsRNA-binding domains which are required to bind RNAs having double-stranded secondary structures. The human homologue of staufen encoded by STAU, in addition contains a microtubule- binding domain similar to that of microtubule-associated protein 1B, and binds tubulin. The STAU gene product has been shown to be present in the cytoplasm in association with the rough endoplasmic reticulum (RER), implicating this protein in the transport of mRNA via the microtubule network to the RER, the site of translation. Five transcript variants resulting from alternative splicing of STAU gene and encoding three isoforms have been described. Three of these variants encode the same isoform, however, differ in their 5'UTR. [provided by RefSeq]

Alternate Names

double-stranded RNA-binding protein Staufen homolog 1, FLJ25010, RNA binding protein (Drosophila), RNA-binding protein), staufen, RNA binding protein, homolog 1 (Drosophila)

Gene Symbol

STAU1

UniProt

Additional Staufen Products

Product Documents for Staufen Antibody - BSA Free

Certificate of Analysis

To download a Certificate of Analysis, please enter a lot number in the search box below.

Product Specific Notices for Staufen Antibody - BSA Free

This product is for research use only and is not approved for use in humans or in clinical diagnosis. Primary Antibodies are guaranteed for 1 year from date of receipt.

Loading...
Loading...
Loading...
Loading...

⚠ WARNING: This product can expose you to chemicals including mercury, which is known to the State of California to cause reproductive toxicity with developmental effects.  For more information go to www.P65Warnings.ca.gov.