Skip to main content

Staufen Antibody - BSA Free

Novus Biologicals, part of Bio-Techne | Catalog # NBP1-76303

Novus Biologicals, part of Bio-Techne

Key Product Details

Species Reactivity

Human, Mouse, Rat

Applications

Immunohistochemistry, Immunohistochemistry-Paraffin, Western Blot, ELISA, Immunocytochemistry/ Immunofluorescence

Label

Unconjugated

Antibody Source

Polyclonal Rabbit IgG

Format

BSA Free

Concentration

1 mg/ml

Product Specifications

Immunogen

Antibody was raised against a 15 amino acid synthetic peptide near the carboxy terminus of human STAU1. The immunogen is located within the last 50 amino acids of STAU1. Amino Acid Squence: ELDQQSTEMPRTGNG

Clonality

Polyclonal

Host

Rabbit

Isotype

IgG

Description

Novus Biologicals Rabbit Staufen Antibody - BSA Free (NBP1-76303) is a polyclonal antibody validated for use in IHC, WB, ELISA and ICC/IF. All Novus Biologicals antibodies are covered by our 100% guarantee.

Scientific Data Images for Staufen Antibody - BSA Free

Western Blot: Staufen AntibodyBSA Free [NBP1-76303]

Western Blot: Staufen AntibodyBSA Free [NBP1-76303]

Western Blot: Staufen Antibody [NBP1-76303] - Rat brain tissue lysate with Staufen antibody at (A) 1 and (B) 2 ug/mL.
Staufen Antibody - BSA Free

Immunocytochemistry/ Immunofluorescence: Staufen Antibody - BSA Free [NBP1-76303] -

Immunocytochemistry/ Immunofluorescence: Staufen Antibody - BSA Free [NBP1-76303] - Immunofluorescence of Staufen in Human Brain cells with Staufen antibody at 20 u/mL.
Staufen Antibody - BSA Free

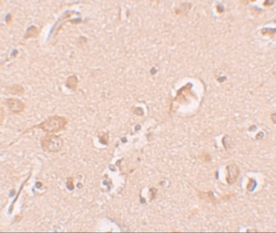
Immunohistochemistry: Staufen Antibody - BSA Free [NBP1-76303] -

Immunohistochemistry: Staufen Antibody - BSA Free [NBP1-76303] - Immunohistochemistry of Staufen in human brain tissue with Staufen antibody at 10 u/mL.

Applications for Staufen Antibody - BSA Free

Application
Recommended Usage

ELISA

1:100-1:2000

Immunocytochemistry/ Immunofluorescence

20 ug/ml

Immunohistochemistry

10 ug/ml

Immunohistochemistry-Paraffin

10 ug/ml

Western Blot

1-2 ug/ml

Formulation, Preparation, and Storage

Purification

Peptide affinity purified

Formulation

PBS

Format

BSA Free

Preservative

0.02% Sodium Azide

Concentration

1 mg/ml

Shipping

The product is shipped with polar packs. Upon receipt, store it immediately at the temperature recommended below.

Stability & Storage

Store at 4C short term. Aliquot and store at -20C long term. Avoid freeze-thaw cycles.

Background: Staufen

STAU1 is a member of a family of double-stranded RNA (dsRNA)-binding proteins involved in the transport and/or localization of mRNAs to different subcellular compartments and/or organelles. These proteins are characterized by the presence of multiple dsRNA-binding domains which are required to bind RNAs having double-stranded secondary structures. The human STAU1 also contains a microtubule- binding domain similar to that of microtubule-associated protein 1B, and binds tubulin. STAU1 has been shown to be present in the cytoplasm in association with the rough endoplasmic reticulum (RER), implicating this protein in the transport of mRNA via the microtubule network to the RER. STAU1 is also known to interact with influenza ribonucleoproteins NS1, NP, and PA and is required for efficient viral replication.

Alternate Names

double-stranded RNA-binding protein Staufen homolog 1, FLJ25010, RNA binding protein (Drosophila), RNA-binding protein), staufen, RNA binding protein, homolog 1 (Drosophila)

Entrez Gene IDs

6780 (Human)

Gene Symbol

STAU1

UniProt

Additional Staufen Products

Product Documents for Staufen Antibody - BSA Free

Certificate of Analysis

To download a Certificate of Analysis, please enter a lot number in the search box below.

Product Specific Notices for Staufen Antibody - BSA Free

This product is for research use only and is not approved for use in humans or in clinical diagnosis. Primary Antibodies are guaranteed for 1 year from date of receipt.

Loading...
Loading...
Loading...
Loading...