Skip to main content

STAT3 Antibody (OTI21E7)

Novus Biologicals, part of Bio-Techne | Catalog # NBP1-48014

Novus Biologicals, part of Bio-Techne
Catalog #
Availability
Size / Price
Qty
Loading...
NBP1-48014

Key Product Details

Validated by

Knockout/Knockdown

Species Reactivity

Human, Mouse, Rat

Applications

Knockout Validated, Immunohistochemistry, Immunohistochemistry-Paraffin, Western Blot

Label

Unconjugated

Antibody Source

Monoclonal Mouse IgG1 Clone # OTI21E7

Concentration

0.35 mg/ml

Product Specifications

Immunogen

Recombinant protein expressed in E.coli corresponding to amino acids 154-175 of human stat3

Reactivity Notes

Please note that this antibody is reactive to Mouse and derived from the same host, Mouse. Mouse-On-Mouse blocking reagent may be needed for IHC and ICC experiments to reduce high background signal. You can find these reagents under catalog numbers PK-2200-NB and MP-2400-NB. Please contact Technical Support if you have any questions.

Specificity

This antibody is specific for Homo sapiens signal transducer and activator of transcription 3 (acute-phase response factor) (STAT3), transcript variant 3.

Clonality

Monoclonal

Host

Mouse

Isotype

IgG1

Theoretical MW

88.08 kDa.
Disclaimer note: The observed molecular weight of the protein may vary from the listed predicted molecular weight due to post translational modifications, post translation cleavages, relative charges, and other experimental factors.

Description

Novus Biologicals Knockout (KO) Validated Mouse STAT3 Antibody (OTI21E7) (NBP1-48014) is a monoclonal antibody validated for use in IHC and WB. All Novus Biologicals antibodies are covered by our 100% guarantee.

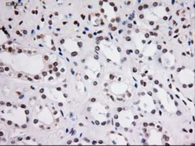
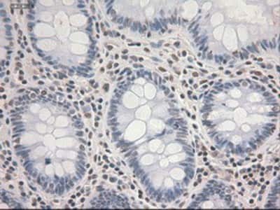
Scientific Data Images for STAT3 Antibody (OTI21E7)

Knockout Validated: STAT3 Antibody (OTI21E7) [NBP1-48014]

Western Blot: STAT3 Antibody (OTI21E7) [NBP1-48014]

Western Blot: STAT3 Antibody (OTI21E7) [NBP1-48014] - Equivalent amounts of cell lysates (10 ug per lane) of wild-type Hela cells and STAT3-Knockout Hela cells were separated by SDS-PAGE and immunoblotted with anti-STAT3 monoclonal antibody. Then the blotted membrane was stripped and reprobed with anti-b-actin antibody as a loading control.(1:500)
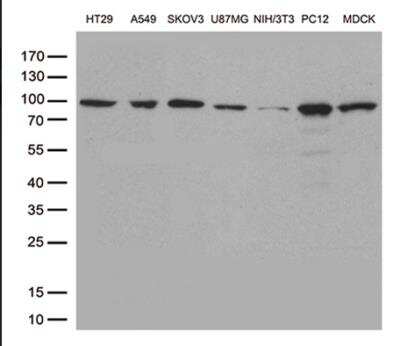
Western Blot: STAT3 Antibody (OTI21E7) [NBP1-48014]

Western Blot: STAT3 Antibody (OTI21E7) [NBP1-48014]

Western Blot: STAT3 Antibody (OTI21E7) [NBP1-48014] - Analysis of extracts (35ug) from different cell line by using anti-STAT3 monoclonal antibody. (1:500)
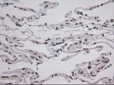
Immunohistochemistry-Paraffin: STAT3 Antibody (21E7) [NBP1-48014] Staining of paraffin-embedded thyroid using anti-STAT3 mouse monoclonal antibody.

Applications for STAT3 Antibody (OTI21E7)

Application
Recommended Usage

Immunohistochemistry

1:50

Immunohistochemistry-Paraffin

1:50

Western Blot

1:500

Formulation, Preparation, and Storage

Purification

Immunogen affinity purified

Formulation

PBS (pH 7.3), 1.0% BSA and 50% Glycerol

Preservative

0.02% Sodium Azide

Concentration

0.35 mg/ml

Shipping

The product is shipped with polar packs. Upon receipt, store it immediately at the temperature recommended below.

Stability & Storage

Store at -20C. Avoid freeze-thaw cycles.

Background: STAT3

The protein encoded by this gene is a member of the STAT protein family. In response to cytokinesand growth factors, STAT family members are phosphorylated by the receptor associated kinases, andthen form homo- or heterodimers that translocate to the cell nucleus where they act astranscription activators. This protein is activated through phosphorylation in response to variouscytokines and growth factors including IFNs, EGF, IL5, IL6, HGF, LIF and BMP2. This proteinmediates the expression of a variety of genes in response to cell stimuli, and thus plays a keyrole in many cellular processes such as cell growth and apoptosis. The small GTPase Rac1 has beenshown to bind and regulate the activity of this protein. PIAS3 protein is a specific inhibitor ofthis protein. Three alternatively spliced transcript variants encoding distinct isoforms have beendescribed

Long Name

Signal Transducer and Activator of Transcription 3

Alternate Names

Acute-phase response factor, APRFMGC16063, DNA-binding protein APRF, FLJ20882, HIES, signal transducer and activator of transcription 3, signal transducer and activator of transcription 3 (acute-phase responsefactor)

Entrez Gene IDs

6774 (Human)

Gene Symbol

STAT3

Additional STAT3 Products

Product Documents for STAT3 Antibody (OTI21E7)

Certificate of Analysis

To download a Certificate of Analysis, please enter a lot number in the search box below.

Product Specific Notices for STAT3 Antibody (OTI21E7)

This product is for research use only and is not approved for use in humans or in clinical diagnosis. Primary Antibodies are guaranteed for 1 year from date of receipt.

Loading...
Loading...
Loading...
Loading...