Skip to main content

STAM-1 Antibody

Novus Biologicals, part of Bio-Techne | Catalog # NBP3-20227

Novus Biologicals, part of Bio-Techne
Catalog #
Availability
Size / Price
Qty
Loading...
NBP3-20227

Key Product Details

Species Reactivity

Validated:

Human

Predicted:

Canine (100%), Mouse (100%), Rat (100%). Backed by our 100% Guarantee.

Applications

Immunohistochemistry, Immunohistochemistry-Paraffin, Peptide ELISA, Western Blot

Label

Unconjugated

Antibody Source

Polyclonal Goat IgG

Concentration

0.5 mg/ml

Product Specifications

Immunogen

Peptide with sequence C-KTEKKTVQFSDD, from the internal region of the protein sequence according to NP_003464.1; NP_001311216.1; NP_001311212.1; NP_001311215.1; NP_001311211.1; NP_001311217.1.

Specificity

This antibody is expected to recognize usoforms a-f. No cross-reactivity expected with STAM2.

Clonality

Polyclonal

Host

Goat

Isotype

IgG

Description

Novus Biologicals Goat STAM-1 Antibody (NBP3-20227) is a polyclonal antibody validated for use in IHC, WB and ELISA. All Novus Biologicals antibodies are covered by our 100% guarantee.

Scientific Data Images for STAM-1 Antibody

Western Blot: STAM-1 Antibody [NBP3-20227]

Western Blot: STAM-1 Antibody [NBP3-20227]

Western Blot: STAM-1 Antibody [NBP3-20227] - (1ug/ml) staining of K562 (A) and (0.5ug/ml) MCF7 (B) cell lysate (35ug protein in RIPA buffer). Detected by chemiluminescence.
Immunohistochemistry-Paraffin: STAM-1 Antibody [NBP3-20227]

Immunohistochemistry-Paraffin: STAM-1 Antibody [NBP3-20227]

Immunohistochemistry-Paraffin: STAM-1 Antibody [NBP3-20227] - (6ug/ml) staining of paraffin embedded Human Testis. Heat induced antigen retrieval with citrate buffer pH 6, HRP-staining.
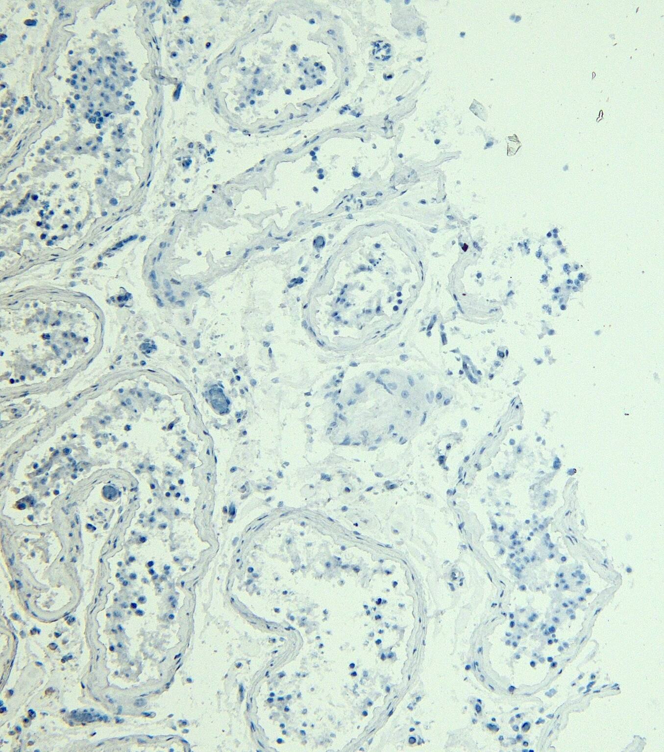
Immunohistochemistry-Paraffin: STAM-1 Antibody [NBP3-20227]

Immunohistochemistry-Paraffin: STAM-1 Antibody [NBP3-20227]

Immunohistochemistry-Paraffin: STAM-1 Antibody [NBP3-20227] - Negative Control showing staining of paraffin embedded Human Testis, with no primary antibody.

Applications for STAM-1 Antibody

Application
Recommended Usage

Immunohistochemistry-Paraffin

4-6 ug/ml

Peptide ELISA

Detection limit 1:16000

Western Blot

0.3-1 ug/ml
Application Notes
Western blot: Approx. 60kDa band observed in lysates of cell line K562, and approx. 55kDa in lysates of cell line MCF7, (calculated MW of 59.2kDa according to NP_003464.1 and 55.7kDa according to NP_001311211.1). Primary incubation 1 hour at room temperature.

Formulation, Preparation, and Storage

Purification

Immunogen affinity purified

Formulation

Tris saline (20 mM Tris pH 7.3, 150 mM NaCl), 0.5% BSA

Preservative

0.02% Sodium Azide

Concentration

0.5 mg/ml

Shipping

The product is shipped with polar packs. Upon receipt, store it immediately at the temperature recommended below.

Stability & Storage

Store at -20C. Avoid freeze-thaw cycles.

Background: STAM-1

STAM was identified by the rapid tyrosine-phosphorylation of its product in response to cytokine stimulation. The encoded protein contains a SH3 domain and the immunoreceptor tyrosine-based activation motif (ITAM). This protein associates with JAK3 and JAK2 kinases via its ITAM region, and is phosphorylated by the JAK kinases upon cytokine stimulation, which suggests the function of this protein is as an adaptor molecule involved in the downstream signaling of cytokine receptors. HGS/HRS (hepatocyte grwoth factor-regulated tyrosine kinase substrate) has been found to bind and counteract the function of this protein.

Long Name

Signal Transducing Adaptor Molecule 1

Alternate Names

HSE1 Homolog, STAM, STAM1

Gene Symbol

STAM

Additional STAM-1 Products

Product Documents for STAM-1 Antibody

Certificate of Analysis

To download a Certificate of Analysis, please enter a lot number in the search box below.

Product Specific Notices for STAM-1 Antibody

This product is for research use only and is not approved for use in humans or in clinical diagnosis. Primary Antibodies are guaranteed for 1 year from date of receipt.

Loading...
Loading...
Loading...
Loading...