Skip to main content

STAG2 Antibody (JE57-34)

Novus Biologicals, part of Bio-Techne | Catalog # NBP3-32925

Recombinant Monoclonal Antibody
Novus Biologicals, part of Bio-Techne
Catalog #
Availability
Size / Price
Qty
Loading...
NBP3-32925

Key Product Details

Species Reactivity

Human, Mouse, Rat, Monkey

Applications

Immunohistochemistry, Immunohistochemistry-Paraffin, Western Blot, Immunocytochemistry/ Immunofluorescence

Label

Unconjugated

Antibody Source

Recombinant Monoclonal Rabbit IgG Clone # JE57-34 expressed in HEK293

Concentration

1 mg/ml

Product Specifications

Immunogen

Recombinant protein within Human STAG2 aa 982-1,231 / 1,231. (Uniprot: Q8N3U4)

Localization

Nucleus. Chromosome.

Clonality

Monoclonal

Host

Rabbit

Isotype

IgG

Theoretical MW

141 kDa.
Disclaimer note: The observed molecular weight of the protein may vary from the listed predicted molecular weight due to post translational modifications, post translation cleavages, relative charges, and other experimental factors.

Description

Novus Biologicals Rabbit STAG2 Antibody (JE57-34) (NBP3-32925) is a recombinant monoclonal antibody validated for use in IHC, WB and ICC/IF. All Novus Biologicals antibodies are covered by our 100% guarantee.

Scientific Data Images for STAG2 Antibody (JE57-34)

STAG2 Antibody (JE57-34)

Western Blot: STAG2 Antibody (JE57-34) [NBP3-32925]

Western Blot: STAG2 Antibody (JE57-34) [NBP3-32925] - Western blot analysis of STAG2 on different lysates with Rabbit anti-STAG2 antibody (NBP3-32925) at 1/2,000 dilution.

Lane 1: HeLa cell lysate
Lane 2: A431 cell lysate
Lane 3: PANC-1 cell lysate
Lane 4: HepG2 cell lysate
Lane 5: Jurkat cell lysate
Lane 6: MCF7 cell lysate
Lane 7: K-562 cell lysate
Lane 8: HCT 116 cell lysate
Lane 9: COS-1 cell lysate
Lane 10: NIH/3T3 cell lysate
Lane 11: RAW264.7 cell lysate
Lane 12: C6 cell lysate
Lane 13: mouse spleen tissue lysate
Lane 14: rat spleen tissue lysate

Cell lysates/proteins at 20 ug/Lane.
Tissues lysates/proteins at 40 ug/Lane.

Predicted band size:141 kDa
Observed band size: 141 kDa

Exposure time: 3 minutes;

4-20% SDS-PAGE gel.

Proteins were transferred to a PVDF membrane and blocked with 5% NFDM/TBST for 1 hour at room temperature. The primary antibody (NBP3-32925) at 1/2,000 dilution was used in 5% NFDM/TBST at 4C overnight. Goat Anti-Rabbit IgG - HRP Secondary Antibody at 1/50,000 dilution was used for 1 hour at room temperature.
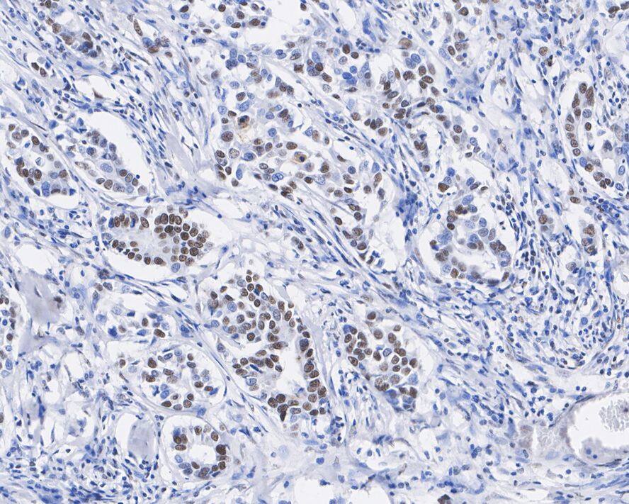
STAG2 Antibody (JE57-34)

Immunohistochemistry: STAG2 Antibody (JE57-34) [NBP3-32925]

Immunohistochemistry: STAG2 Antibody (JE57-34) [NBP3-32925] - Immunohistochemical analysis of paraffin-embedded human breast cancer tissue with Rabbit anti-STAG2 antibody (NBP3-32925) at 1/2,000 dilution.

The section was pre-treated using heat mediated antigen retrieval with sodium citrate buffer (pH 6.0) for 2 minutes. The tissues were blocked in 1% BSA for 20 minutes at room temperature, washed with ddH2O and PBS, and then probed with the primary antibody (NBP3-32925) at 1/2,000 dilution for 1 hour at room temperature. The detection was performed using an HRP conjugated compact polymer system. DAB was used as the chromogen. Tissues were counterstained with hematoxylin and mounted with DPX.
STAG2 Antibody (JE57-34)

Immunocytochemistry/ Immunofluorescence: STAG2 Antibody (JE57-34) [NBP3-32925]

Immunocytochemistry/ Immunofluorescence: STAG2 Antibody (JE57-34) [NBP3-32925] - Immunocytochemistry analysis of RAW264.7 cells labeling STAG2 with Rabbit anti-STAG2 antibody (NBP3-32925) at 1/250 dilution.

Cells were fixed in 4% paraformaldehyde for 20 minutes at room temperature, permeabilized with 0.1% Triton X-100 in PBS for 5 minutes at room temperature, then blocked with 1% BSA in 10% negative goat serum for 1 hour at room temperature. Cells were then incubated with Rabbit anti-STAG2 antibody (NBP3-32925) at 1/250 dilution in 1% BSA in PBST overnight at 4 ℃. Goat Anti-Rabbit IgG H&L (iFluor™ 488) was used as the secondary antibody at 1/1,000 dilution. PBS instead of the primary antibody was used as the secondary antibody only control. Nuclear DNA was labelled in blue with DAPI.

Beta tubulin (red) was stained at 1/100 dilution overnight at +4℃. Goat Anti-Mouse IgG H&L (iFluor™ 594) was used as the secondary antibody at 1/1,000 dilution.

Applications for STAG2 Antibody (JE57-34)

Application
Recommended Usage

Immunocytochemistry/ Immunofluorescence

1:100

Immunohistochemistry-Paraffin

1:500-1:2000

Western Blot

1:2000

Formulation, Preparation, and Storage

Purification

Protein A purified

Formulation

1*TBS (pH7.4), 0.05% BSA and 40% Glycerol

Preservative

0.05% Sodium Azide

Concentration

1 mg/ml

Shipping

The product is shipped with polar packs. Upon receipt, store it immediately at the temperature recommended below.

Stability & Storage

Store at 4C short term. Aliquot and store at -20C long term. Avoid freeze-thaw cycles.

Background: STAG2

SA2 is a component of the cohesin complex, which is required for the cohesion of sister chromatids after DNA replication. The cohesin complex apparently forms a large proteinaceous ring within which, sister chromatids can be trapped. At anaphase, the complex is cleaved and dissociates from chromatin, allowing sister chromatids to segregate. The cohesin complex may also play a role in spindle pole assembly during mitosis. The subunit interacts directly with RAD21 in cohesin complex. Cohesin complexes are composed of a heterodimer between a SMC1 protein (SMC1L1 or SMC1L2) and SMC3, which are attached via their hinge domain, and RAD21 links them at their heads, and one STAG protein (STAG1, STAG2 or STAG3). In cohesin complexes, STAG2 is mutually exclusive with STAG1 and STAG3.

Alternate Names

bA517O1.1, cohesin subunit SA-2, DKFZp686P168, SA-2, SA2FLJ25871, SCC3 homolog 2, stromal antigen 2DKFZp781H1753

Gene Symbol

STAG2

Additional STAG2 Products

Product Documents for STAG2 Antibody (JE57-34)

Certificate of Analysis

To download a Certificate of Analysis, please enter a lot number in the search box below.

Product Specific Notices for STAG2 Antibody (JE57-34)

This product is for research use only and is not approved for use in humans or in clinical diagnosis. Primary Antibodies are guaranteed for 1 year from date of receipt.

Loading...
Loading...
Loading...
Loading...