Skip to main content

ST6 Gal Sialyltransferase 1/ST6GAL1/CD75 Antibody (HL2318) - Azide and BSA Free

Novus Biologicals, part of Bio-Techne | Catalog # NBP3-25695

Recombinant Monoclonal Antibody
Novus Biologicals, part of Bio-Techne
Catalog #
Availability
Size / Price
Qty
Loading...
NBP3-25695

Key Product Details

Validated by

Orthogonal Validation

Species Reactivity

Human, Mouse, Rat

Applications

Immunohistochemistry, Immunohistochemistry-Paraffin, Western Blot

Label

Unconjugated

Antibody Source

Recombinant Monoclonal Rabbit IgG Clone # HL2318 expressed in HEK293

Format

Azide and BSA Free

Concentration

Concentrations vary lot to lot. See vial label for concentration. If unlisted please contact technical services.

Product Specifications

Immunogen

Recombinant fragment of human ST6 Gal Sialyltransferase 1/ST6GAL1/CD75.

Clonality

Monoclonal

Host

Rabbit

Isotype

IgG

Description

Novus Biologicals Rabbit ST6 Gal Sialyltransferase 1/ST6GAL1/CD75 Antibody (HL2318) - Azide and BSA Free (NBP3-25695) is a recombinant monoclonal antibody validated for use in IHC and WB. All Novus Biologicals antibodies are covered by our 100% guarantee.

Scientific Data Images

ST6 Gal Sialyltransferase 1/ST6GAL1/CD75 Antibody (HL2318) - Azide and BSA Free

Immunohistochemistry-Paraffin: ST6 Gal Sialyltransferase 1/ST6GAL1/CD75 Antibody (HL2318) - Azide and BSA Free [NBP3-25695] -

Immunohistochemistry-Paraffin: ST6 Gal Sialyltransferase 1/ST6GAL1/CD75 Antibody (HL2318) - Azide and BSA Free [NBP3-25695] - ST6GAL1 antibody [HL2318] detects ST6GAL1 protein by immunohistochemical analysis. Sample: Paraffin-embedded mouse tissues. ST6GAL1 stained by ST6GAL1 antibody [HL2318] (NBP3-25695) diluted at 1:100. Antigen Retrieval: Citrate buffer, pH 6.0, 15 min
ST6 Gal Sialyltransferase 1/ST6GAL1/CD75 Antibody (HL2318) - Azide and BSA Free

Immunohistochemistry-Paraffin: ST6 Gal Sialyltransferase 1/ST6GAL1/CD75 Antibody (HL2318) - Azide and BSA Free [NBP3-25695] -

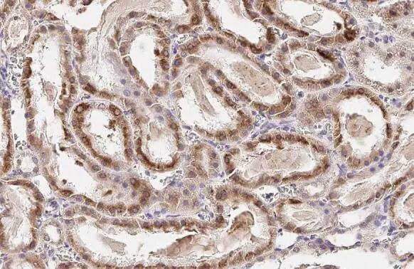
Immunohistochemistry-Paraffin: ST6 Gal Sialyltransferase 1/ST6GAL1/CD75 Antibody (HL2318) - Azide and BSA Free [NBP3-25695] - ST6GAL1 antibody [HL2318] detects secreted ST6GAL1 protein by immunohistochemical analysis. Sample: Paraffin-embedded rat kidney. ST6GAL1 stained by ST6GAL1 antibody [HL2318] (NBP3-25695) diluted at 1:100. Antigen Retrieval: Citrate buffer, pH 6.0, 15 min
ST6 Gal Sialyltransferase 1/ST6GAL1/CD75 Antibody (HL2318) - Azide and BSA Free

Western Blot: ST6 Gal Sialyltransferase 1/ST6GAL1/CD75 Antibody (HL2318) - Azide and BSA Free [NBP3-25695] -

Western Blot: ST6 Gal Sialyltransferase 1/ST6GAL1/CD75 Antibody (HL2318) - Azide and BSA Free [NBP3-25695] - Various whole cell extracts (30 ug) were separated by 10% SDS-PAGE, and the membrane was blotted with ST6GAL1 antibody [HL2318] (NBP3-25695) diluted at 1:1000. The HRP-conjugated anti-rabbit IgG antibody was used to detect the primary antibody. Corresponding RNA expression data for the same cell lines are based on Human Protein Atlas program.

Applications

Application
Recommended Usage

Western Blot

1:500-1:3000

Formulation, Preparation, and Storage

Purification

Protein A purified

Formulation

PBS

Format

Azide and BSA Free

Preservative

No Preservative

Concentration

Concentrations vary lot to lot. See vial label for concentration. If unlisted please contact technical services.

Shipping

The product is shipped with polar packs. Upon receipt, store it immediately at the temperature recommended below.

Stability & Storage

Store at 4C short term. Aliquot and store at -20C long term. Avoid freeze-thaw cycles.

Background: ST6 Gal Sialyltransferase 1/ST6GAL1

CD75 is encoded by this gene is a type II membrane protein that catalyzes the transfer of sialic acid from CMP sialic acid to galactose-containing substrates. The encoded protein, which is normally found in the Golgi apparatus but which can be proteolytically processed to a soluble form, is involved in the generation of the cell surface carbohydrate determinants and differentiation antigens HB6, CDw75, and CD76. This protein is a member of glycosyltransferase family 29. Three transcript variants encoding two different isoforms have been found for this gene. This antibody recognizes the CD75 cell surface antigen, an alpha 2,6 sialyated carbohydrate epitope expressed by mature B cells, especially germinal centre B cells, red blood cells and some epithelial cells.

Long Name

ST6 beta-Galactoside alpha-2,6-Sialyltransferase 1

Alternate Names

Alpha 2,6-ST, B-cell antigen CD75, CD75, SIAT1, ST6N

Gene Symbol

ST6GAL1

Additional ST6 Gal Sialyltransferase 1/ST6GAL1 Products

Product Documents

Certificate of Analysis

To download a Certificate of Analysis, please enter a lot number in the search box below.

Product Specific Notices

This product is for research use only and is not approved for use in humans or in clinical diagnosis. Primary Antibodies are guaranteed for 1 year from date of receipt.

Loading...
Loading...
Loading...
Loading...