Skip to main content

SSNA1 Antibody - BSA Free

Novus Biologicals, part of Bio-Techne | Catalog # NBP3-46951

Novus Biologicals, part of Bio-Techne
Catalog #
Availability
Size / Price
Qty
Loading...
NBP3-46951

Key Product Details

Species Reactivity

Human, Mouse, Rat

Applications

Immunohistochemistry, Western Blot, ELISA

Label

Unconjugated

Antibody Source

Polyclonal Rabbit IgG

Format

BSA Free

Concentration

Please see the vial label for concentration. If unlisted please contact technical services.

Product Specifications

Immunogen

Sjogren syndrome nuclear autoantigen 1. (Uniprot# O43805)

Clonality

Polyclonal

Host

Rabbit

Isotype

IgG

Theoretical MW

14 kDa.
Disclaimer note: The observed molecular weight of the protein may vary from the listed predicted molecular weight due to post translational modifications, post translation cleavages, relative charges, and other experimental factors.

Description

Novus Biologicals Rabbit SSNA1 Antibody - BSA Free (NBP3-46951) is a polyclonal antibody validated for use in IHC, WB and ELISA. All Novus Biologicals antibodies are covered by our 100% guarantee.

Scientific Data Images for SSNA1 Antibody - BSA Free

SSNA1 Antibody - BSA Free

Western Blot: SSNA1 Antibody - BSA Free [NBP3-46951] -

Western Blot: SSNA1 Antibody - BSA Free [NBP3-46951] - Mouse testis tissue were subjected to SDS PAGE followed by western blot with (SSNA1 antibody) at dilution of 1:400
SSNA1 Antibody - BSA Free

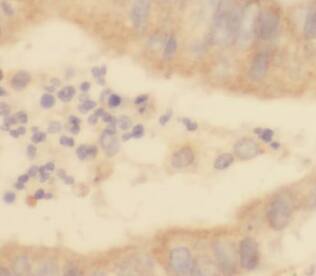
Immunohistochemistry: SSNA1 Antibody - BSA Free [NBP3-46951] -

Immunohistochemistry: SSNA1 Antibody - BSA Free [NBP3-46951] - Immunohistochemistry of paraffin-embedded human colon cancer using (SSNA1 antibody) at dilution of 1:50

Applications for SSNA1 Antibody - BSA Free

Application
Recommended Usage

Immunohistochemistry

1:20-1:200

Western Blot

1:500-1:3000

Formulation, Preparation, and Storage

Purification

Immunogen affinity purified

Formulation

PBS, 50% Glycerol, pH (7.3)

Format

BSA Free

Preservative

0.02% Sodium Azide

Concentration

Please see the vial label for concentration. If unlisted please contact technical services.

Shipping

The product is shipped with polar packs. Upon receipt, store it immediately at the temperature recommended below.

Stability & Storage

Store at -20C. Avoid freeze-thaw cycles.

Background: SSNA1

Alternate Names

NA-14, nuclear autoantigen of 14 kDa, Sjogren syndrome nuclear autoantigen 1

Gene Symbol

SSNA1

Additional SSNA1 Products

Product Documents for SSNA1 Antibody - BSA Free

Certificate of Analysis

To download a Certificate of Analysis, please enter a lot number in the search box below.

Product Specific Notices for SSNA1 Antibody - BSA Free

This product is for research use only and is not approved for use in humans or in clinical diagnosis. Primary Antibodies are guaranteed for 1 year from date of receipt.

Loading...
Loading...
Loading...
Loading...