Skip to main content

Splicing Factor 1 Antibody (OTI7H9)

Novus Biologicals, part of Bio-Techne | Catalog # NBP2-45793

Novus Biologicals, part of Bio-Techne
Catalog #
Availability
Size / Price
Qty
Loading...
NBP2-45793

Key Product Details

Species Reactivity

Human

Applications

Immunohistochemistry, Immunohistochemistry-Paraffin, Western Blot

Label

Unconjugated

Antibody Source

Monoclonal Mouse IgG1 Clone # OTI7H9

Concentration

1 mg/ml

Product Specifications

Immunogen

Human recombinant protein fragment corresponding to amino acids 1-276 of human SF1 (NP_973727) produced in E.coli.

Clonality

Monoclonal

Host

Mouse

Isotype

IgG1

Description

Novus Biologicals Mouse Splicing Factor 1 Antibody (OTI7H9) (NBP2-45793) is a monoclonal antibody validated for use in IHC and WB. All Novus Biologicals antibodies are covered by our 100% guarantee.

Scientific Data Images for Splicing Factor 1 Antibody (OTI7H9)

Western Blot: Splicing Factor 1 Antibody (OTI7H9) [NBP2-45793]

Western Blot: Splicing Factor 1 Antibody (OTI7H9) [NBP2-45793]

Western Blot: Splicing Factor 1 Antibody (OTI7H9) [NBP2-45793] - HEK293T cells were transfected with the pCMV6-ENTRY control (Left lane) or pCMV6-ENTRY SF1 (Right lane) cDNA for 48 hrs and lysed. Equivalent amounts of cell lysates (5 ug per lane) were separated by SDS-PAGE and immunoblotted with anti-SF1.
Immunohistochemistry-Paraffin: Splicing Factor 1 Antibody (OTI7H9) [NBP2-45793]

Immunohistochemistry-Paraffin: Splicing Factor 1 Antibody (OTI7H9) [NBP2-45793]

Immunohistochemistry-Paraffin: Splicing Factor 1 Antibody (OTI7H9) [NBP2-45793] - Staining of paraffin-embedded Human lymphoma tissue using anti-SF1 mouse monoclonal antibody.
Immunohistochemistry-Paraffin: Splicing Factor 1 Antibody (OTI7H9) [NBP2-45793]

Immunohistochemistry-Paraffin: Splicing Factor 1 Antibody (OTI7H9) [NBP2-45793]

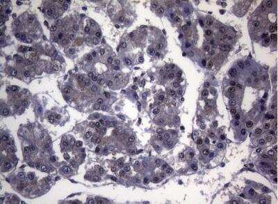
Immunohistochemistry-Paraffin: Splicing Factor 1 Antibody (OTI7H9) [NBP2-45793] - Staining of paraffin-embedded Carcinoma of Human liver tissue using anti-SF1 mouse monoclonal antibody.

Applications for Splicing Factor 1 Antibody (OTI7H9)

Application
Recommended Usage

Immunohistochemistry

1:150

Western Blot

1:2000

Formulation, Preparation, and Storage

Purification

Immunogen affinity purified

Formulation

PBS (pH 7.3), 1.0% BSA and 50% Glycerol

Preservative

0.02% Sodium Azide

Concentration

1 mg/ml

Shipping

The product is shipped with polar packs. Upon receipt, store it immediately at the temperature recommended below.

Stability & Storage

Store at -20C. Avoid freeze-thaw cycles.

Background: Splicing Factor 1

Alternate Names

Mammalian branch point-binding protein, mBBP, splicing factor 1, Transcription factor ZFM1, ZFM1BBP, Zinc finger gene in MEN1 locus, Zinc finger protein 162D11S636, ZNF162MBBP

Gene Symbol

SF1

Additional Splicing Factor 1 Products

Product Documents for Splicing Factor 1 Antibody (OTI7H9)

Certificate of Analysis

To download a Certificate of Analysis, please enter a lot number in the search box below.

Product Specific Notices for Splicing Factor 1 Antibody (OTI7H9)

This product is for research use only and is not approved for use in humans or in clinical diagnosis. Primary Antibodies are guaranteed for 1 year from date of receipt.

Loading...
Loading...
Loading...
Loading...